Revision 4

#2652

Store at -20C

CST Logo
Orders:

877-616-CELL (2355)

[email protected]

Support:

877-678-TECH (8324)

3 Trask Lane | Danvers | Massachusetts | 01923 | USA

For Research Use Only. Not for Use in Diagnostic Procedures.

Applications:
W, IP, IHC-P, IF-IC

Reactivity:
H Mk

Sensitivity:
Endogenous

MW (kDa):
48

Source/Isotype:
Rabbit IgG

UniProt ID:
#Q13309

Entrez-Gene Id:
6502

Product Usage Information

Application Dilution
Western Blotting 1:1000
Immunoprecipitation 1:50
Immunohistochemistry (Paraffin) 1:100 - 1:400
Immunofluorescence (Immunocytochemistry) 1:400 - 1:1600

Storage

Supplied in 10 mM sodium HEPES (pH 7.5), 150 mM NaCl, 100 µg/ml BSA, 50% glycerol and less than 0.02% sodium azide. Store at –20°C. Do not aliquot the antibody.

For a carrier free (BSA and azide free) version of this product see product #95000.

Specificity/Sensitivity

Skp2 (D3G5) Rabbit Monoclonal Antibody recognizes endogenous levels of total Skp2 protein. This antibody is predicted to cross-react with Skp2α and Skp2β.

Source / Purification

Monoclonal antibody is produced by immunizing animals with a synthetic peptide corresponding to residues near the amino terminus of human Skp2 protein.

Background

Members of the F-box family of proteins are characterized by the approximate 40 amino acid F-box motif named after cyclin F (1,2). F-box proteins constitute one of the four subunits of the Skp1-Cullin-F-box (SCF) ubiquitin ligase complex. The substrate specificity of SCF complexes is determined by the interchangeable F-box proteins, which act as adaptors by associating with phosphorylated substrate proteins and recruiting them to the SCF core. F-box proteins contain two fundamental domains: the F-box motif mediates binding to Skp1 and a leucine rich repeat (LRR) domain mediates substrate interactions.
S phase kinase-associated protein 2 (Skp2) interacts with cyclin A/CDK2 and mediates G1 to S and G2 to M phase transitions by targeting the cyclin-dependent kinase (CDK) inhibitors p27, p21, and p130 for ubiquitination and subsequent proteolysis (3-6). Overexpression of Skp2 results in deregulated proliferation and genetic instabilities typical of cancer cells (7). Research studies have shown that increased Skp2/decreased p27 levels are associated with many aggressive lymphomas and human carcinomas such as colon, breast, prostate and lung cancers (7). Several recent research studies have demonstrated that Skp2 is subject to phosphorylation-dependent regulation by a network of pro-proliferative Ser/Thr kinases. It appears as though phosphorylation of Skp2 at Ser64 by CDK2 (8), Ser72 by Akt1 (9), and Thr417 by PIM1 (10) promotes stabilization of Skp2, possibly constituting an additional mechanism for Skp2 oncogenicity.

Species Reactivity

Species reactivity is determined by testing in at least one approved application (e.g., western blot).

Western Blot Buffer

IMPORTANT: For western blots, incubate membrane with diluted primary antibody in 5% w/v BSA, 1X TBS, 0.1% Tween® 20 at 4°C with gentle shaking, overnight.

Applications Key

W: Western Blotting IP: Immunoprecipitation IHC-P: Immunohistochemistry (Paraffin) IF-IC: Immunofluorescence (Immunocytochemistry)

Cross-Reactivity Key

H: Human Mk: Monkey

Trademarks and Patents

Cell Signaling Technology is a trademark of Cell Signaling Technology, Inc.

SignalStain is a registered trademark of Cell Signaling Technology, Inc.

All other trademarks are the property of their respective owners. Visit cellsignal.com/trademarks for more information.

Limited Uses

Except as otherwise expressly agreed in a writing signed by a legally authorized representative of CST, the following terms apply to Products provided by CST, its affiliates or its distributors. Any Customer's terms and conditions that are in addition to, or different from, those contained herein, unless separately accepted in writing by a legally authorized representative of CST, are rejected and are of no force or effect.

Products are labeled with For Research Use Only or a similar labeling statement and have not been approved, cleared, or licensed by the FDA or other regulatory foreign or domestic entity, for any purpose. Customer shall not use any Product for any diagnostic or therapeutic purpose, or otherwise in any manner that conflicts with its labeling statement. Products sold or licensed by CST are provided for Customer as the end-user and solely for research and development uses. Any use of Product for diagnostic, prophylactic or therapeutic purposes, or any purchase of Product for resale (alone or as a component) or other commercial purpose, requires a separate license from CST. Customer shall (a) not sell, license, loan, donate or otherwise transfer or make available any Product to any third party, whether alone or in combination with other materials, or use the Products to manufacture any commercial products, (b) not copy, modify, reverse engineer, decompile, disassemble or otherwise attempt to discover the underlying structure or technology of the Products, or use the Products for the purpose of developing any products or services that would compete with CST products or services, (c) not alter or remove from the Products any trademarks, trade names, logos, patent or copyright notices or markings, (d) use the Products solely in accordance with CST Product Terms of Sale and any applicable documentation, and (e) comply with any license, terms of service or similar agreement with respect to any third party products or services used by Customer in connection with the Products.

Orders: 877-616-CELL (2355) [email protected] Support: 877-678-TECH (8324) [email protected] Web: cellsignal.com
For Research Use Only. Not for Use in Diagnostic Procedures.

Revision 4

Cell Signaling Technology Logo
Western blot analysis of extracts from various cell lines using Skp2 (D3G5) XP® Rabbit mAb.
Western Blotting Image 1: Skp2 (D3G5) Rabbit Monoclonal Antibody
Western blot analysis of extracts from 293T cells, either mock transfected (-) or transfected with a Myc/DDK-tagged cDNA expression construct encoding full-length human Skp2 (hSkp2-Myc/DDK, +), using Skp2 (D3G5) XP® Rabbit mAb.
Western Blotting Image 2: Skp2 (D3G5) Rabbit Monoclonal Antibody
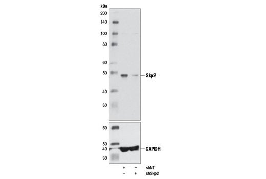
Western blot analysis of extracts from HeLa cells expressing either non-targeting shRNA (shNT) or shSkp2, using Skp2 (D3G5) XP® Rabbit mAb (upper) and GAPDH (D16H11) XP® Rabbit mAb #5174 (lower).
Western Blotting Image 3: Skp2 (D3G5) Rabbit Monoclonal Antibody
Orders: 877-616-CELL (2355) [email protected] Support: 877-678-TECH (8324) [email protected] Web: cellsignal.com
For Research Use Only. Not for Use in Diagnostic Procedures.

Revision 4

Cell Signaling Technology Logo
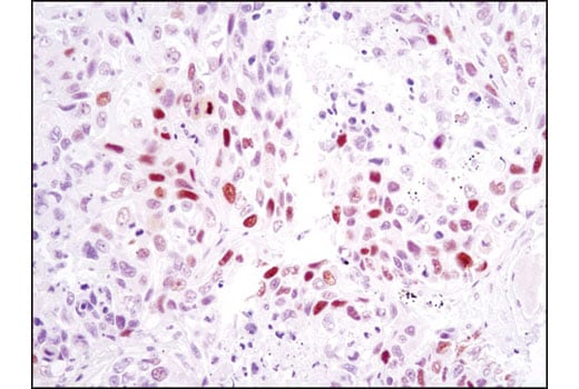
Immunohistochemical analysis of paraffin-embedded human lung carcinoma using Skp2 (D3G5) XP® Rabbit mAb.
Immunohistochemistry Image 1: Skp2 (D3G5) Rabbit Monoclonal Antibody
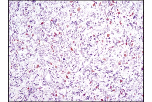
Immunohistochemical analysis of paraffin-embedded human lymphoma using Skp2 (D3G5) XP® Rabbit mAb.
Immunohistochemistry Image 2: Skp2 (D3G5) Rabbit Monoclonal Antibody
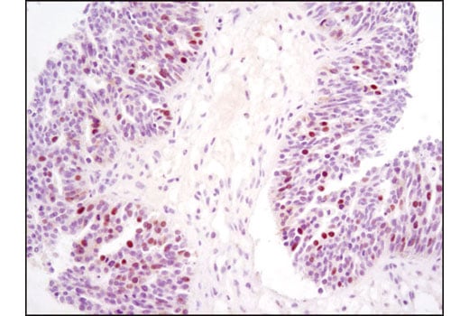
Immunohistochemical analysis of paraffin-embedded human ovarian carcinoma using Skp2 (D3G5) XP® Rabbit mAb.
Immunohistochemistry Image 3: Skp2 (D3G5) Rabbit Monoclonal Antibody
Orders: 877-616-CELL (2355) [email protected] Support: 877-678-TECH (8324) [email protected] Web: cellsignal.com
For Research Use Only. Not for Use in Diagnostic Procedures.

Revision 4

Cell Signaling Technology Logo
Confocal immunofluorescent analyis of HeLa cells expressing either a non-targeting shRNA (shNT; left) or shSkp2 (right) using Skp2 (D3G5) XP® Rabbit mAb (green). Actin filaments were labeled with DY-554 phalloidin (red) (Cell lines kindly provided by Dr. Wenyi Wei, Harvard Medical School.)
Immunofluorescence Image 1: Skp2 (D3G5) Rabbit Monoclonal Antibody
Orders: 877-616-CELL (2355) [email protected] Support: 877-678-TECH (8324) [email protected] Web: cellsignal.com
For Research Use Only. Not for Use in Diagnostic Procedures.