Skp2 (D3G5) Rabbit Monoclonal Antibody #2652
- WB
- IP
- IHC
- IF
Product Specifications
| REACTIVITY | H Mk |
| SENSITIVITY | Endogenous |
| MW (kDa) | 48 |
| Source/Isotype | Rabbit IgG |
Application Key:
- WB-Western Blotting
- IP-Immunoprecipitation
- IHC-Immunohistochemistry
- IF-Immunofluorescence
Species Cross-Reactivity Key:
- H-Human
- Mk-Monkey
Product Information
Product Usage Information
| Application | Dilution |
|---|---|
| Western Blotting | 1:1000 |
| Immunoprecipitation | 1:50 |
| Immunohistochemistry (Paraffin) | 1:100 - 1:400 |
| Immunofluorescence (Immunocytochemistry) | 1:400 - 1:1600 |
Storage
For a carrier free (BSA and azide free) version of this product see product #95000.
Protocol
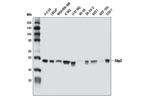
Specificity / Sensitivity
Species Reactivity:
Source / Purification
Background
S phase kinase-associated protein 2 (Skp2) interacts with cyclin A/CDK2 and mediates G1 to S and G2 to M phase transitions by targeting the cyclin-dependent kinase (CDK) inhibitors p27, p21, and p130 for ubiquitination and subsequent proteolysis (3-6). Overexpression of Skp2 results in deregulated proliferation and genetic instabilities typical of cancer cells (7). Research studies have shown that increased Skp2/decreased p27 levels are associated with many aggressive lymphomas and human carcinomas such as colon, breast, prostate and lung cancers (7). Several recent research studies have demonstrated that Skp2 is subject to phosphorylation-dependent regulation by a network of pro-proliferative Ser/Thr kinases. It appears as though phosphorylation of Skp2 at Ser64 by CDK2 (8), Ser72 by Akt1 (9), and Thr417 by PIM1 (10) promotes stabilization of Skp2, possibly constituting an additional mechanism for Skp2 oncogenicity.
- Pagano, M. (2004) Mol Cell 14, 414-6.
- Reed, S.I. (2003) Nat Rev Mol Cell Biol 4, 855-64.
- Zhang, H. et al. (1995) Cell 82, 915-25.
- Nakayama, K. et al. (2004) Dev Cell 6, 661-72.
- Bornstein, G. et al. (2003) J Biol Chem 278, 25752-7.
- Tedesco, D. et al. (2002) Genes Dev 16, 2946-57.
- Bloom, J. and Pagano, M. (2003) Semin Cancer Biol 13, 41-7.
- Rodier, G. et al. (2008) EMBO J 27, 679-91.
- Gao, D. et al. (2009) Nat Cell Biol 11, 397-408.
- Cen, B. et al. (2010) J Biol Chem 285, 29128-37.
Alternate Names
CDK2/cyclin A-associated protein p45; cyclin A/CDK2-associated protein p45; Cyclin-A/CDK2-associated protein p45; F-box protein Skp2; F-box/LRR-repeat protein 1; FBL1; FBXL1; FLB1; MGC1366; p45; p45skp2; S-phase kinase associated protein 2; S-phase kinase-associated protein 2; S-phase kinase-associated protein 2 (p45); S-phase kinase-associated protein 2, E3 ubiquitin protein ligase; SKP2
Limited Uses
Except as otherwise expressly agreed in a writing signed by a legally authorized representative of CST, the following terms apply to Products provided by CST, its affiliates or its distributors. Any Customer's terms and conditions that are in addition to, or different from, those contained herein, unless separately accepted in writing by a legally authorized representative of CST, are rejected and are of no force or effect.
Products are labeled with For Research Use Only or a similar labeling statement and have not been approved, cleared, or licensed by the FDA or other regulatory foreign or domestic entity, for any purpose. Customer shall not use any Product for any diagnostic or therapeutic purpose, or otherwise in any manner that conflicts with its labeling statement. Products sold or licensed by CST are provided for Customer as the end-user and solely for research and development uses. Any use of Product for diagnostic, prophylactic or therapeutic purposes, or any purchase of Product for resale (alone or as a component) or other commercial purpose, requires a separate license from CST. Customer shall (a) not sell, license, loan, donate or otherwise transfer or make available any Product to any third party, whether alone or in combination with other materials, or use the Products to manufacture any commercial products, (b) not copy, modify, reverse engineer, decompile, disassemble or otherwise attempt to discover the underlying structure or technology of the Products, or use the Products for the purpose of developing any products or services that would compete with CST products or services, (c) not alter or remove from the Products any trademarks, trade names, logos, patent or copyright notices or markings, (d) use the Products solely in accordance with CST Product Terms of Sale and any applicable documentation, and (e) comply with any license, terms of service or similar agreement with respect to any third party products or services used by Customer in connection with the Products.