Revision 3

#12747

Store at -20C

SMAD2/3 Antibody Sampler Kit

1 Kit

(6 x 20 microliters)

CST Logo
Orders:

877-616-CELL (2355)

[email protected]

Support:

877-678-TECH (8324)

3 Trask Lane | Danvers | Massachusetts | 01923 | USA

For Research Use Only. Not for Use in Diagnostic Procedures.

Product Includes Product # Quantity Mol. Wt Isotype/Source
Phospho-SMAD2 (Ser465/467) (138D4) Rabbit Monoclonal Antibody310820 µl60 kDaRabbit IgG
SMAD2 (D43B4) Rabbit Monoclonal Antibody533920 µl60 kDaRabbit IgG
SMAD2/3 (D7G7) Rabbit Monoclonal Antibody868520 µl52, 60 kDaRabbit IgG
Phospho-SMAD3 (Ser423/425) (C25A9) Rabbit Monoclonal Antibody952020 µl52 kDaRabbit IgG
SMAD3 (C67H9) Rabbit Monoclonal Antibody952320 µl52 kDaRabbit IgG
SMAD4 (D3M6U) Rabbit Monoclonal Antibody3845420 µl70 kDaRabbit IgG
Anti-rabbit IgG, HRP-linked Antibody7074100 µlGoat

Please visit cellsignal.com for individual component applications, species cross-reactivity, dilutions, protocols, and additional product information.

Description

The SMAD2/3 Antibody Sampler Kit provides an economical means of detecting target proteins of the TGF-β signaling pathway. The kit includes enough antibody to perform two western blots with each primary antibody.

Storage

Supplied in 10 mM sodium HEPES (pH 7.5), 150 mM NaCl, 100 µg/ml BSA, 50% glycerol and less than 0.02% sodium azide. Store at –20°C. Do not aliquot the antibody.

Background

Transforming growth factor-β (TGF-β) superfamily signaling plays a critical role in the regulation of cell growth, differentiation, and development in a wide range of biological systems. In general, signaling is initiated with ligand-induced oligomerization of serine/ threonine receptor kinases and phosphorylation of the cytoplasmic signaling molecules Smad2 and Smad3 for the TGF-β/activin pathway, or Smad1/5/8 for the bone morphogenetic protein (BMP) pathway. Carboxy-terminal phosphorylation of Smad proteins by activated receptors results in their partnering with the common signaling transducer Smad4, and translocation to the nucleus. Activated Smad proteins regulate diverse biological effects by partnering with transcription factors resulting in cell-state specific modulation of transcription (1-4).

Trademarks and Patents

Cell Signaling Technology is a trademark of Cell Signaling Technology, Inc.

U.S. Patent No. 7,429,487, foreign equivalents, and child patents deriving therefrom.

All other trademarks are the property of their respective owners. Visit cellsignal.com/trademarks for more information.

Limited Uses

Except as otherwise expressly agreed in a writing signed by a legally authorized representative of CST, the following terms apply to Products provided by CST, its affiliates or its distributors. Any Customer's terms and conditions that are in addition to, or different from, those contained herein, unless separately accepted in writing by a legally authorized representative of CST, are rejected and are of no force or effect.

Products are labeled with For Research Use Only or a similar labeling statement and have not been approved, cleared, or licensed by the FDA or other regulatory foreign or domestic entity, for any purpose. Customer shall not use any Product for any diagnostic or therapeutic purpose, or otherwise in any manner that conflicts with its labeling statement. Products sold or licensed by CST are provided for Customer as the end-user and solely for research and development uses. Any use of Product for diagnostic, prophylactic or therapeutic purposes, or any purchase of Product for resale (alone or as a component) or other commercial purpose, requires a separate license from CST. Customer shall (a) not sell, license, loan, donate or otherwise transfer or make available any Product to any third party, whether alone or in combination with other materials, or use the Products to manufacture any commercial products, (b) not copy, modify, reverse engineer, decompile, disassemble or otherwise attempt to discover the underlying structure or technology of the Products, or use the Products for the purpose of developing any products or services that would compete with CST products or services, (c) not alter or remove from the Products any trademarks, trade names, logos, patent or copyright notices or markings, (d) use the Products solely in accordance with CST Product Terms of Sale and any applicable documentation, and (e) comply with any license, terms of service or similar agreement with respect to any third party products or services used by Customer in connection with the Products.

Orders: 877-616-CELL (2355) [email protected] Support: 877-678-TECH (8324) [email protected] Web: cellsignal.com
For Research Use Only. Not for Use in Diagnostic Procedures.

Revision 3

Cell Signaling Technology Logo
Western blot analysis of extracts from untreated or TGF-beta treated HeLa and NIH/3T3 cells, using Phospho-SMAD2 (Ser465/467) (138D4) Rabbit mAb (upper), or SMAD2 Antibody #3102 (lower).
undefined Image 1: SMAD2/3 Antibody Sampler Kit
Western blot analysis of extracts from various cell lines using SMAD4 (D3M6U) Rabbit mAb (upper) and β-Actin (D6A8) Rabbit mAb #8457 (lower). HT-29 and COLO 205 are SMAD4-null mutant cell lines, confirming specificity of the antibody.
undefined Image 2: SMAD2/3 Antibody Sampler Kit
Western blot analysis of extracts from HeLa cells (lane 1) or SMAD2 knock-out cells (lane 2) using Smad2 (D43B4) XP® Rabbit mAb #5339 (upper), and α-Actinin (D6F6) XP® Rabbit mAb #6487 (lower). The absence of signal in the SMAD2 knock-out HeLa cells confirms specificity of the antibody for SMAD2.
undefined Image 3: SMAD2/3 Antibody Sampler Kit
Orders: 877-616-CELL (2355) [email protected] Support: 877-678-TECH (8324) [email protected] Web: cellsignal.com
For Research Use Only. Not for Use in Diagnostic Procedures.

Revision 3

Cell Signaling Technology Logo
After the primary antibody is bound to the target protein, a complex with HRP-linked secondary antibody is formed. The LumiGLO® is added and emits light during enzyme catalyzed decomposition.
undefined Image 4: SMAD2/3 Antibody Sampler Kit
Western blot analysis of extracts from HeLa and ACHN cells using SMAD2/3 (D7G7) XP® Rabbit mAb.
undefined Image 5: SMAD2/3 Antibody Sampler Kit
Western blot analysis of extracts from HT-1080, C2C12, or KNRK cells, untreated (-) or treated with TGF-β (10 ng/ml, 30 min; +), using Phospho-SMAD3 (Ser423/425) (C25A9) Rabbit mAb #9520 (upper) or total SMAD3 (C67H9) Rabbit mAb #9523 (lower).
undefined Image 6: SMAD2/3 Antibody Sampler Kit
Orders: 877-616-CELL (2355) [email protected] Support: 877-678-TECH (8324) [email protected] Web: cellsignal.com
For Research Use Only. Not for Use in Diagnostic Procedures.

Revision 3

Cell Signaling Technology Logo
Western blot analysis of extracts from control HeLa cells (lane 1) or HeLa cells with an apparent in-frame truncation mutation in the gene encoding SMAD3 (lane 2) using SMAD3 (C67H9) Rabbit mAb #9523 (upper) or β-actin (D6A8) Rabbit mAb #8457 (lower). The change in SMAD3 molecular weight in the mutated HeLa cells is consistent with an in-frame deletion.
undefined Image 7: SMAD2/3 Antibody Sampler Kit
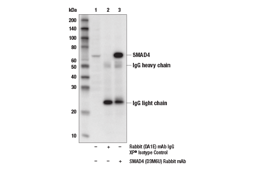
Immunoprecipitation of SMAD4 protein from HCT 116 cell extracts. Lane 1 is 10% input, lane 2 is Rabbit (DA1E) mAb IgG XP® Isotype Control #3900, and lane 3 is SMAD4 (D3M6U) Rabbit mAb. Western blot analysis was performed using SMAD4 (D3M6U) Rabbit mAb.
undefined Image 8: SMAD2/3 Antibody Sampler Kit
Western blot analysis of extracts from various cell lines using Smad2 (D43B4) XP® Rabbit mAb.
undefined Image 9: SMAD2/3 Antibody Sampler Kit
Orders: 877-616-CELL (2355) [email protected] Support: 877-678-TECH (8324) [email protected] Web: cellsignal.com
For Research Use Only. Not for Use in Diagnostic Procedures.

Revision 3

Cell Signaling Technology Logo
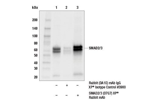
Immunoprecipitation of SMAD2/3 protein from HCT116 extracts. Lane 1 is 10% input, lane 2 is Rabbit (DA1E) mAb IgG XP® Isotype Control #3900, and lane 3 is SMAD2/3 (D7G7) XP®. Western blot analysis was performed using SMAD2/3 (D7G7) XP®. Mouse Anti-rabbit IgG (Conformation Specific) (L27A9) mAb #3678 was used as a secondary antibody.
undefined Image 10: SMAD2/3 Antibody Sampler Kit
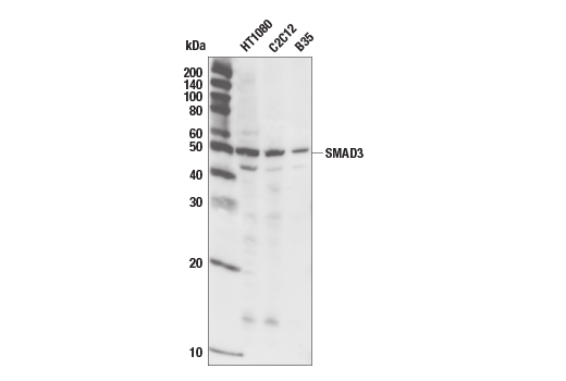
Western blot analysis of extracts from HT1080 (human), C2C12 (mouse) and B35 (rat) using SMAD3 (C67H9) Rabbit mAb.
undefined Image 11: SMAD2/3 Antibody Sampler Kit
Chromatin immunoprecipitations were performed with cross-linked chromatin from HaCaT cells treated with TGF-β1 #8915 (7 ng/mL, 1 hr) and SMAD4 (D3M6U) Rabbit mAb, using SimpleChIP® Plus Enzymatic Chromatin IP Kit (Magnetic Beads) #9005. DNA Libraries were prepared using SimpleChIP® ChIP-seq DNA Library Prep Kit for Illumina® #56795. The figure shows binding across ID1, a known target gene of SMAD4 (see additional figure containing ChIP-qPCR data).
undefined Image 12: SMAD2/3 Antibody Sampler Kit
Orders: 877-616-CELL (2355) [email protected] Support: 877-678-TECH (8324) [email protected] Web: cellsignal.com
For Research Use Only. Not for Use in Diagnostic Procedures.

Revision 3

Cell Signaling Technology Logo
Confocal immunofluorescent analysis of NIH/3T3 cells, serum-starved (left) or treated with hTGF-β3 #8425 (right), using Smad2 (D43B4) XP® Rabbit mAb (green). Actin filaments have been labeled with DY-554 phalloidin (red).
undefined Image 13: SMAD2/3 Antibody Sampler Kit
Confocal immunofluorescent analysis of HeLa cells, serum starved (left), treated with hTGF-β3 #8425 (100 ng/ml, 30 min, center), or treated with hTGF-β3 and SB43152 (10 ug/mL, 1 hr, right), using SMAD2/3 (D7G7) XP® Rabbit mAb (green). Actin filaments were labeled with DY-554 phalloidin (red).
undefined Image 14: SMAD2/3 Antibody Sampler Kit
Chromatin immunoprecipitations were performed with cross-linked chromatin from HaCaT cells treated with Human TGF-β3 #3706 (7 ng/ml) for 1 h and either Phospho-SMAD3 (Ser423/425) (C25A9) Rabbit mAb #9520 or Normal Rabbit IgG #2729 using SimpleChIP® Enzymatic Chromatin IP Kit (Magnetic Beads) #9003. The enriched DNA was quantified by real-time PCR using SimpleChIP® Human CDKN1A Intron 1 Primers #4669, SimpleChIP® Human ID1 Promoter Primers #5139, human c-Myc intron 1 primers, and SimpleChIP® Human α Satellite Repeat Primers #4486. The amount of immunoprecipitated DNA in each sample is represented as signal relative to the total amount of input chromatin, which is equivalent to one.
undefined Image 15: SMAD2/3 Antibody Sampler Kit
Orders: 877-616-CELL (2355) [email protected] Support: 877-678-TECH (8324) [email protected] Web: cellsignal.com
For Research Use Only. Not for Use in Diagnostic Procedures.

Revision 3

Cell Signaling Technology Logo
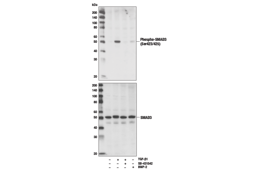
Western blot analysis of extracts from HT1080 cells, treated with TGF-β1, TGFR inhibitor SB-431542 or BMP-2, using Phospho-SMAD3 (Ser423/425) (C25A9) Rabbit mAb #9520 (upper) or total SMAD3 (C67H9) Rabbit mAb #9523 (lower).
undefined Image 16: SMAD2/3 Antibody Sampler Kit
Chromatin immunoprecipitations were performed with cross-linked chromatin from HaCaT cells treated with TGF-β1 #8915 (7 ng/mL, 1 hr) and SMAD4 (D3M6U) Rabbit mAb, using SimpleChIP® Plus Enzymatic Chromatin IP Kit (Magnetic Beads) #9005. DNA Libraries were prepared using SimpleChIP® ChIP-seq DNA Library Prep Kit for Illumina® #56795. The figure shows binding across chromosome 20 (upper), including ID1 (lower), a known target gene of SMAD4 (see additional figure containing ChIP-qPCR data).
undefined Image 17: SMAD2/3 Antibody Sampler Kit
Flow cytometric analysis of HeLa cells using SMAD2 (D43B4) XP® Rabbit mAb (solid line) compared to concentration-matched Rabbit (DA1E) mAb IgG XP® Isotype Control #3900 (dashed line). Anti-rabbit IgG (H+L), F(ab')2 Fragment (Alexa Fluor® 488 Conjugate) #4412 was used as a secondary antibody.
undefined Image 18: SMAD2/3 Antibody Sampler Kit
Orders: 877-616-CELL (2355) [email protected] Support: 877-678-TECH (8324) [email protected] Web: cellsignal.com
For Research Use Only. Not for Use in Diagnostic Procedures.

Revision 3

Cell Signaling Technology Logo
Flow cytometric analysis of HeLa cells using SMAD2/3 (D7G7) XP® Rabbit mAb (solid line) compared to concentration-matched Rabbit (DA1E) mAb IgG XP® Isotype Control #3900 (dashed line). Anti-rabbit IgG (H+L), F(ab')2 Fragment (Alexa Fluor® 488 Conjugate) #4412 was used as a secondary control.
undefined Image 19: SMAD2/3 Antibody Sampler Kit
Confocal immunofluorescent analysis of HT1080 cells, untreated (left) or TGFβ-treated (right), using SMAD3 (C67H9) Rabbit mAb (green). Actin filaments have been labeled with Alexa Fluor® 555 phalloidin (red).
undefined Image 20: SMAD2/3 Antibody Sampler Kit
Chromatin immunoprecipitations were performed with cross-linked chromatin from HaCaT cells treated with TGF-β1 #8915 (7 ng/mL, 1 hr) and either SMAD4 (D3M6U) Rabbit mAb or Normal Rabbit IgG #2729 using SimpleChIP® Enzymatic Chromatin IP Kit (Magnetic Beads) #9003. The enriched DNA was quantified by real-time PCR using SimpleChIP® Human ID1 Promoter Primers #5139, human JunB promoter primers, and SimpleChIP® Human α Satellite Repeat Primers #4486. The amount of immunoprecipitated DNA in each sample is represented as signal relative to the total amount of input chromatin (equivalent to one).
undefined Image 21: SMAD2/3 Antibody Sampler Kit
Orders: 877-616-CELL (2355) [email protected] Support: 877-678-TECH (8324) [email protected] Web: cellsignal.com
For Research Use Only. Not for Use in Diagnostic Procedures.

Revision 3

Cell Signaling Technology Logo
Flow cytometric analysis of HT-1080 cells using SMAD3 (C67H9) Rabbit mAb #9523 (blue) compared to a nonspecific negative control antibody (red).
undefined Image 22: SMAD2/3 Antibody Sampler Kit
Chromatin immunoprecipitations were performed with cross-linked chromatin from HaCaT cells treated with Human TGF-β3 #8425 (7 ng/ml) for 1 h and either Smad2 (D43B4) XP® Rabbit mAb #5339 or Normal Rabbit IgG #2729 using SimpleChIP® Plus Enzymatic Chromatin IP Kit (Magnetic Beads) #9005. The enriched DNA was quantified by real-time PCR using SimpleChIP® Human CDKN1A Intron 1 Primers #4669, SimpleChIP® Human ID1 Promoter Primers #5139, and SimpleChIP® Human α Satellite Repeat Primers #4486. The amount of immunoprecipitated DNA in each sample is represented as signal relative to the total amount of input chromatin, which is equivalent to one.
undefined Image 23: SMAD2/3 Antibody Sampler Kit
Chromatin immunoprecipitations were performed with cross-linked chromatin from HaCaT cells treated with hTGF-β3 #8425 (7 ng/ml, 1 hr) and SMAD2/3 (D7G7) XP® Rabbit mAb, using SimpleChIP® Enzymatic Chromatin IP Kit (Magnetic Beads) #9003. DNA Libraries were prepared using DNA Library Prep Kit for Illumina® (ChIP-seq, CUT&RUN) #56795. The figure shows binding across ID1, a known target gene of SMAD2/3 (see additional figure containing ChIP-qPCR data). For additional ChIP-seq tracks, please download the product datasheet.
undefined Image 24: SMAD2/3 Antibody Sampler Kit
Orders: 877-616-CELL (2355) [email protected] Support: 877-678-TECH (8324) [email protected] Web: cellsignal.com
For Research Use Only. Not for Use in Diagnostic Procedures.

Revision 3

Cell Signaling Technology Logo
Chromatin immunoprecipitations were performed with cross-linked chromatin from HaCaT cells treated with Human TGF-β3 #3706 (7 ng/ml) for 1 h and SMAD3 (C67H9) Rabbit mAb, using SimpleChIP® Plus Enzymatic Chromatin IP Kit (Magnetic Beads) #9005. DNA Libraries were prepared using DNA Library Prep Kit for Illumina® (ChIP-seq, CUT&RUN) #56795. The figure shows binding across CDKN1A, a known target gene of SMAD3 (see additional figure containing ChIP-qPCR data).
undefined Image 25: SMAD2/3 Antibody Sampler Kit
Chromatin immunoprecipitations were performed with cross-linked chromatin from HaCaT cells treated with hTGF-β3 #8425 (7 ng/ml, 1 hr) and SMAD2/3 (D7G7) XP® Rabbit mAb, using SimpleChIP® Enzymatic Chromatin IP Kit (Magnetic Beads) #9003. DNA Libraries were prepared using DNA Library Prep Kit for Illumina® (ChIP-seq, CUT&RUN) #56795. The figure shows binding across chromosome 20 (upper), including ID1 (lower), a known target gene of SMAD2/3 (see additional figure containing ChIP-qPCR data).
undefined Image 26: SMAD2/3 Antibody Sampler Kit
Chromatin immunoprecipitations were performed with cross-linked chromatin from HaCaT cells treated with Human TGF-β3 #3706 (7 ng/ml) for 1 h and SMAD3 (C67H9) Rabbit mAb, using SimpleChIP® Plus Enzymatic Chromatin IP Kit (Magnetic Beads) #9005. DNA Libraries were prepared using DNA Library Prep Kit for Illumina® (ChIP-seq, CUT&RUN) #56795. The figure shows binding across chromosome 6 (upper), including CDKN1A (lower), a known target gene of SMAD3 (see additional figure containing ChIP-qPCR data).
undefined Image 27: SMAD2/3 Antibody Sampler Kit
Orders: 877-616-CELL (2355) [email protected] Support: 877-678-TECH (8324) [email protected] Web: cellsignal.com
For Research Use Only. Not for Use in Diagnostic Procedures.

Revision 3

Cell Signaling Technology Logo
Chromatin immunoprecipitations were performed with cross-linked chromatin from HaCaT cells treated with hTGF-β3 #8425 (7 ng/ml, 1 hr) and either SMAD2/3 (D7G7) XP® Rabbit mAb or Normal Rabbit IgG #2729 using SimpleChIP® Enzymatic Chromatin IP Kit (Magnetic Beads) #9003. The enriched DNA was quantified by real-time PCR using SimpleChIP® Human CDKN1A Intron 1 Primers #4669, SimpleChIP® Human ID1 Promoter Primers #5139, and SimpleChIP® Human α Satellite Repeat Primers #4486. The amount of immunoprecipitated DNA in each sample is represented as signal relative to the total amount of input chromatin, which is equivalent to one.
undefined Image 28: SMAD2/3 Antibody Sampler Kit
Chromatin immunoprecipitations were performed with cross-linked chromatin from HaCaT cells treated with Human TGF-β3 #3706 (7 ng/ml) for 1 h and either SMAD3 (C67H9) Rabbit mAb or Normal Rabbit IgG #2729 using SimpleChIP® Plus Enzymatic Chromatin IP Kit (Magnetic Beads) #9005. The enriched DNA was quantified by real-time PCR using SimpleChIP® Human CDKN1A Intron 1 Primers #4669, SimpleChIP® Human ID1 Promoter Primers #5139, and SimpleChIP® Human α Satellite Repeat Primers #4486. The amount of immunoprecipitated DNA in each sample is represented as signal relative to the total amount of input chromatin, which is equivalent to one.
undefined Image 29: SMAD2/3 Antibody Sampler Kit
Simple Western™ analysis of lysates (1.0 mg/mL) from serum starved HT-1080 cells treated with hTGF-β3 (10 ng/mL, 30 min) using Phospho-SMAD2 (Ser465/467) (138D4) Rabbit mAb #3108. The virtual lane view (left) shows a single target band (as indicated) at 1:50 and 1:250 dilutions of primary antibody. The corresponding electropherogram view (right) plots chemiluminescence by molecular weight along the capillary at 1:50 (blue line) and 1:250 (green line) dilutions of primary antibody. This experiment was performed under reducing conditions on the Jess™ Simple Western instrument from ProteinSimple, a BioTechne brand, using the 12-230 kDa separation module.
undefined Image 30: SMAD2/3 Antibody Sampler Kit
Orders: 877-616-CELL (2355) [email protected] Support: 877-678-TECH (8324) [email protected] Web: cellsignal.com
For Research Use Only. Not for Use in Diagnostic Procedures.

Revision 3

Cell Signaling Technology Logo
Immunoprecipitation of Smad2 from HeLa cell extracts. Lane 1 is 10% input, lane 2 is Rabbit (DA1E) mAb IgG XP® Isotype Control #3900, and lane 3 is SMAD2 (D43B4) XP® Rabbit mAb. Western blot analysis was performed using SMAD2 (L16D3) Mouse mAb #3103. Anti-mouse IgG, HRP-linked Antibody #7076 was used as a secondary antibody.
undefined Image 31: SMAD2/3 Antibody Sampler Kit
Simple Western™ analysis of lysates (1 mg/mL) from serum-starved HT1080 cells treated with hTGF-beta3 (10 ng/mL, 30 min) using Phospho-SMAD3 (Ser423/425) (C25A9) Rabbit mAb #9520. The virtual lane view (left) shows the target band (as indicated) at a 1:250 dilution of primary antibody. The corresponding electropherogram view (right) plots chemiluminescence by molecular weight along the capillary at a 1:250 dilution (gray line) of primary antibody. This experiment was performed under reducing conditions on the Jess™ Simple Western instrument from ProteinSimple, a BioTechne brand, using the 12-230 kDa separation module.
undefined Image 32: SMAD2/3 Antibody Sampler Kit
Orders: 877-616-CELL (2355) [email protected] Support: 877-678-TECH (8324) [email protected] Web: cellsignal.com
For Research Use Only. Not for Use in Diagnostic Procedures.