Revision 1

#86791

Store at -20C

CST Logo
Orders:

877-616-CELL (2355)

[email protected]

Support:

877-678-TECH (8324)

3 Trask Lane | Danvers | Massachusetts | 01923 | USA

For Research Use Only. Not for Use in Diagnostic Procedures.

Product Includes Product # Quantity Mol. Wt Isotype/Source
CD14 (D7A2T) Rabbit Monoclonal Antibody (IHC Formulated)7518120 µlRabbit IgG
CD11b/ITGAM (D6X1N) Rabbit Monoclonal Antibody4942020 µl170 kDaRabbit IgG
CD68 (D4B9C) Rabbit Monoclonal Antibody7643720 µlRabbit IgG
CD163 (D6U1J) Rabbit Monoclonal Antibody9349820 µl160, 170 kDaRabbit IgG
CD206/MRC1 (E2L9N) Rabbit Monoclonal Antibody9199220 µl190-250 kDaRabbit IgG
CSF-1R/M-CSF-R (E4T8Z) Rabbit Monoclonal Antibody2891720 µl140-200 kDaRabbit IgG
Arginase-1 (D4E3M) Rabbit Monoclonal Antibody9366820 µl40 kDaRabbit IgG
MHC Class II (LGII-612.14) Mouse Monoclonal Antibody6825820 µl25-35, 50-65 kDaMouse IgG1
CD15/SSEA1 (MC480) Mouse Monoclonal Antibody474420 µlN/A kDaMouse IgM

Please visit cellsignal.com for individual component applications, species cross-reactivity, dilutions, protocols, and additional product information.

Description

The Suppressive Myeloid Cell Phenotyping IHC Antibody Sampler Kit provides an economical means of detecting the accumulation of immune cell types in formalin-fixed, paraffin-embedded tissue samples.

Storage

Supplied in 10 mM sodium HEPES (pH 7.5), 150 mM NaCl, 100 µg/ml BSA, 50% glycerol and less than 0.02% sodium azide. Store at –20°C. Do not aliquot the antibodies.

Background

A combination of multiple biomarkers are required to characterize the phenotype of myeloid cell lineages. Cluster of differentiation molecule 14 (CD14) is a leucine-rich repeat-containing pattern recognition receptor with expression largely restricted to the monocyte/macrophage cell lineage (1), but can be unregulated on polymorphonuclear as well as nonmyeloid cells such as B cells and gingival fibroblasts (2,3). CD11b (Integrin alpha M or ITGAM) is a transmembrane protein forming heterodimers that are composed of α and β subunits (4). CD11b is expressed by, and commonly used as a marker for myeloid lineage cells, including neutrophils, monocytes, macrophages, dendritic cells, and microglia (5), but has also been detected on a subset of B cells (6-8). CD68 (macrosialin) is a heavily glycosylated transmembrane protein that is expressed by and commonly used as a marker for monocytes and macrophages (9,10), but there is also evidence of non-myeloid cell expression (11). The CD15 carbohydrate epitope is preferentially expressed in mature human neutrophils, monocytes, and all myeloid cells from the promyelocyte stage onwards, making it a useful cell surface marker (12-14). It is also expressed in some tissues, such as epithelial cells of intestinal tissues (15,16), and in certain neurons and glial cells in the central nervous system (17).  

CD163 is a transmembrane scavenger receptor expressed on the macrophage surface. It has 9 B-type SRCR extracellular domains mediating serum haptoglobin clearing/endocytosis, pathogen binding and signal transduction, and calcium binding (18,19). The mannose receptor (CD206/MR/CLEC13D/MMR/MRC1/Macrophage mannose receptor 1) is an endocytic receptor expressed by populations of dendritic cells, macrophages, and nonvascular endothelium (20). CD206/MRC1 receptor functions include a role in antigen cross-presentation, clearance of endogenous proteins, pathogen detection and trafficking through lymphatic vessels (21-24). Macrophage-colony stimulating factor (M-CSF, CSF-1) receptor is an integral membrane tyrosine kinase encoded by the c-fms proto-oncogene. M-CSF receptor is expressed in monocytes (macrophages and their progenitors) and drives growth and development of this blood cell lineage (25,26). CD163, CD206, and M-CSF receptors are used as surface markers of M2 type macrophages, including M2 type tumor associated macrophages (TAMs), which facilitate cancer progression by secreting cytokines to promote angiogenesis, immunosuppression, and metastasis (20,27,28). Arginase-1 catalyzes the final step of the urea cycle converting L-arginine to L-ornithine and urea (29). Myeloid-derived suppressor cells express high levels of arginase-1, increasing the catabolism of L-arginine resulting in L-arginine depletion in the inflammatory microenvironment of cancer. The reduced availability of L-arginine suppresses T cell proliferation and function and thus contributes to tumor progression (30,31).

Major histocompatibility complex class II (MHC class II) molecules are heterodimeric, transmembrane glycoproteins expressed on the surface of antigen-presenting cells such as macrophages, dendritic cells, and B cells. Expression can also be induced through interferon-γ signaling (32). Prior to being displayed on the cell membrane, MHC class II molecules are loaded with exogenous peptide antigens approximately 15-24 amino acids in length that were derived from endocytosed extracellular proteins digested in the lysosome. Antigen-presentation through MHC class II is required for T cell activation during the immune response to extracellular pathogens (33). High expression of MHC class II on myeloid cell lineages is used as a surface marker of M1 type macrophages, including M1 type TAMs, which can assist in tumor eradication by secreting cytokines to activate anti-tumor immune responses, and inhibit angiogenesis and metastasis (27,28).

Background References

  1. Wright, S.D. et al. (1991) J Exp Med 173, 1281-6.
  2. Schumann, R.R. et al. (1994) Med Microbiol Immunol 183, 279-97.
  3. Ziegler-Heitbrock, H.W. and Ulevitch, R.J. (1993) Immunol Today 14, 121-5.
  4. Solovjov, D.A. et al. (2005) J Biol Chem 280, 1336-45.
  5. Murray, P.J. and Wynn, T.A. (2011) Nat Rev Immunol 11, 723-37.
  6. Kawai, K. et al. (2005) J Allergy Clin Immunol 116, 192-7.
  7. Payne, D. Nurs Times 92, 18.
  8. Merad, M. et al. (2013) Annu Rev Immunol 31, 563-604.
  9. Rabinowitz, S.S. and Gordon, S. (1991) J Exp Med 174, 827-36.
  10. Ramprasad, M.P. et al. (1995) Proc Natl Acad Sci U S A 92, 9580-4.
  11. Gottfried, E. et al. (2008) Scand J Immunol 67, 453-63.
  12. Oriol, R. et al. (1986) Vox Sang 51, 161-71.
  13. Hanjan, S.N. et al. (1982) Clin Immunol Immunopathol 23, 172-88.
  14. Civin, C.I. et al. (1981) Blood 57, 842-5.
  15. Hakomori, S. et al. (1984) J Biol Chem 259, 4672-80.
  16. Itzkowitz, S.H. et al. (1986) Cancer Res 46, 2627-32.
  17. Streit, A. et al. (1996) J Neurochem 66, 834-44.
  18. Graversen, J.H. and Moestrup, S.K. (2015) Membranes (Basel) 5, 228-52.
  19. Etzerodt, A. and Moestrup, S.K. (2013) Antioxid Redox Signal 18, 2352-63.
  20. Martinez-Pomares, L. (2012) J Leukoc Biol 92, 1177-86.
  21. Burgdorf, S. et al. (2006) J Immunol 176, 6770-6.
  22. Lee, S.J. et al. (2002) Science 295, 1898-901.
  23. Milone, M.C. and Fitzgerald-Bocarsly, P. (1998) J Immunol 161, 2391-9.
  24. Marttila-Ichihara, F. et al. (2008) Blood 112, 64-72.
  25. Stanley, E.R. et al. (1978) Nature 274, 168-70.
  26. Bourette, R.P. and Rohrschneider, L.R. (2000) Growth Factors 17, 155-66.
  27. Komohara, Y. et al. (2014) Cancer Sci 105, 1-8.
  28. Mills, C.D. et al. (2000) J Immunol 164, 6166-73.
  29. Wu, G. and Morris, S.M. (1998) Biochem J 336 ( Pt 1), 1-17.
  30. Gabrilovich, D.I. and Nagaraj, S. (2009) Nat Rev Immunol 9, 162-74.
  31. Raber, P. et al. (2012) Immunol Invest 41, 614-34.
  32. Ting, J.P. and Trowsdale, J. (2002) Cell 109 Suppl, S21-33.
  33. Cresswell, P. (1994) Annu Rev Immunol 12, 259-93.

Trademarks and Patents

Cell Signaling Technology is a trademark of Cell Signaling Technology, Inc.

Alexa Fluor is a registered trademark of Life Technologies Corporation.

All other trademarks are the property of their respective owners. Visit cellsignal.com/trademarks for more information.

Limited Uses

Except as otherwise expressly agreed in a writing signed by a legally authorized representative of CST, the following terms apply to Products provided by CST, its affiliates or its distributors. Any Customer's terms and conditions that are in addition to, or different from, those contained herein, unless separately accepted in writing by a legally authorized representative of CST, are rejected and are of no force or effect.

Products are labeled with For Research Use Only or a similar labeling statement and have not been approved, cleared, or licensed by the FDA or other regulatory foreign or domestic entity, for any purpose. Customer shall not use any Product for any diagnostic or therapeutic purpose, or otherwise in any manner that conflicts with its labeling statement. Products sold or licensed by CST are provided for Customer as the end-user and solely for research and development uses. Any use of Product for diagnostic, prophylactic or therapeutic purposes, or any purchase of Product for resale (alone or as a component) or other commercial purpose, requires a separate license from CST. Customer shall (a) not sell, license, loan, donate or otherwise transfer or make available any Product to any third party, whether alone or in combination with other materials, or use the Products to manufacture any commercial products, (b) not copy, modify, reverse engineer, decompile, disassemble or otherwise attempt to discover the underlying structure or technology of the Products, or use the Products for the purpose of developing any products or services that would compete with CST products or services, (c) not alter or remove from the Products any trademarks, trade names, logos, patent or copyright notices or markings, (d) use the Products solely in accordance with CST Product Terms of Sale and any applicable documentation, and (e) comply with any license, terms of service or similar agreement with respect to any third party products or services used by Customer in connection with the Products.

Orders: 877-616-CELL (2355) [email protected] Support: 877-678-TECH (8324) [email protected] Web: cellsignal.com
For Research Use Only. Not for Use in Diagnostic Procedures.

Revision 1

Cell Signaling Technology Logo
Western blot analysis of extracts from various human cells using CSF-1R/M-CSF-R (E4T8Z) Rabbit mAb (upper) and β-Actin (D6A8) Rabbit mAb #8457 (lower).
undefined Image 1: Suppressive Myeloid Cell Phenotyping IHC Antibody Sampler Kit
Western blot analysis of extracts from various cells using CD11b/ITGAM (D6X1N) Rabbit mAb (upper) or β-Actin (D6A8) Rabbit mAb #8457 (lower).
undefined Image 2: Suppressive Myeloid Cell Phenotyping IHC Antibody Sampler Kit
Western blot analysis of extracts from various cell lines using MHC Class II (LGII-612.14) Mouse mAb (upper) or β-Actin (D6A8) Rabbit mAb #8457 (lower).
undefined Image 3: Suppressive Myeloid Cell Phenotyping IHC Antibody Sampler Kit
Orders: 877-616-CELL (2355) [email protected] Support: 877-678-TECH (8324) [email protected] Web: cellsignal.com
For Research Use Only. Not for Use in Diagnostic Procedures.

Revision 1

Cell Signaling Technology Logo
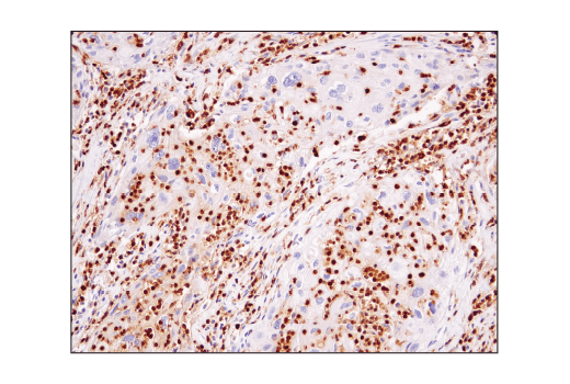
Immunohistochemical analysis of paraffin-embedded human Non-Hodgkin lymphoma using CD14 (D7A2T) Rabbit mAb (IHC Formulated) performed on the Leica® Bond™ Rx.
undefined Image 4: Suppressive Myeloid Cell Phenotyping IHC Antibody Sampler Kit
Immunohistochemical analysis of paraffin-embedded human tonsil using CD68 (D4B9C) XP® Rabbit mAb.
undefined Image 5: Suppressive Myeloid Cell Phenotyping IHC Antibody Sampler Kit
Western blot analysis of extracts from various cell lines using CD206/MRC1 (E2L9N) Rabbit mAb (upper) or β-Actin (D6A8) Rabbit mAb #8457 (lower).
undefined Image 6: Suppressive Myeloid Cell Phenotyping IHC Antibody Sampler Kit
Orders: 877-616-CELL (2355) [email protected] Support: 877-678-TECH (8324) [email protected] Web: cellsignal.com
For Research Use Only. Not for Use in Diagnostic Procedures.

Revision 1

Cell Signaling Technology Logo
Western blot analysis of extracts from SU-DHL-1 and A-375 cells using CD163 (D6U1J) Rabbit mAb (upper) and β-Actin (D6A8) Rabbit mAb #8457 (lower)
undefined Image 7: Suppressive Myeloid Cell Phenotyping IHC Antibody Sampler Kit
Western blot analysis of extracts from mouse and rat liver using Arginase-1 (D4E3M) Rabbit mAb.
undefined Image 8: Suppressive Myeloid Cell Phenotyping IHC Antibody Sampler Kit
Immunohistochemical analysis of paraffin-embedded human colon adenocarcinoma using CSF-1R/M-CSF-R (E4T8Z) Rabbit mAb performed on the Leica® BOND™ Rx.
undefined Image 9: Suppressive Myeloid Cell Phenotyping IHC Antibody Sampler Kit
Orders: 877-616-CELL (2355) [email protected] Support: 877-678-TECH (8324) [email protected] Web: cellsignal.com
For Research Use Only. Not for Use in Diagnostic Procedures.

Revision 1

Cell Signaling Technology Logo
Immunohistochemical analysis of paraffin-embedded human endometrioid carcinoma using CD11b/ITGAM (D6X1N) Rabbit mAb performed on the Leica® Bond™ Rx.
undefined Image 10: Suppressive Myeloid Cell Phenotyping IHC Antibody Sampler Kit
Immunoprecipitation of MHC Class II from Raji cell extracts. Lane 1 is 10% input, lane 2 is Mouse (G3A1) mAb IgG1 Isotype Control #5415, and lane 3 is MHC Class II (LGII-612.14) Mouse mAb. Western blot analysis was performed using MHC Class II (LGII-612.14) Mouse mAb. Anti-mouse IgG, HRP-linked Antibody #7076 was used as the secondary antibody.
undefined Image 11: Suppressive Myeloid Cell Phenotyping IHC Antibody Sampler Kit
Immunohistochemical analysis of paraffin-embedded human colon carcinoma using CD14 (D7A2T) Rabbit mAb (IHC Formulated).
undefined Image 12: Suppressive Myeloid Cell Phenotyping IHC Antibody Sampler Kit
Orders: 877-616-CELL (2355) [email protected] Support: 877-678-TECH (8324) [email protected] Web: cellsignal.com
For Research Use Only. Not for Use in Diagnostic Procedures.

Revision 1

Cell Signaling Technology Logo
Immunohistochemical analysis of paraffin-embedded human serous papillary carcinoma of the ovary using CD68 (D4B9C) XP® Rabbit mAb.
undefined Image 13: Suppressive Myeloid Cell Phenotyping IHC Antibody Sampler Kit
Immunohistochemical analysis of paraffin-embedded human non-small cell lung carcinoma using CD206/MRC1 (E2L9N) Rabbit mAb performed on the Leica® BOND™ Rx.
undefined Image 14: Suppressive Myeloid Cell Phenotyping IHC Antibody Sampler Kit
Immunohistochemical analysis of paraffin-embedded human non-small cell lung carcinoma using CD163 (D6U1J) Rabbit mAb performed on the Leica® Bond™ Rx.
undefined Image 15: Suppressive Myeloid Cell Phenotyping IHC Antibody Sampler Kit
Orders: 877-616-CELL (2355) [email protected] Support: 877-678-TECH (8324) [email protected] Web: cellsignal.com
For Research Use Only. Not for Use in Diagnostic Procedures.

Revision 1

Cell Signaling Technology Logo
Western blot analysis of extracts from mouse liver and mouse small intestine using Arginase-1 (D4E3M) Rabbit mAb (upper) or β-Actin (D6A8) Rabbit mAb #8457 (lower).
undefined Image 16: Suppressive Myeloid Cell Phenotyping IHC Antibody Sampler Kit
Immunohistochemical analysis of paraffin-embedded human ductal breast carcinoma using CSF-1R/M-CSF-R (E4T8Z) Rabbit mAb.
undefined Image 17: Suppressive Myeloid Cell Phenotyping IHC Antibody Sampler Kit
Immunohistochemical analysis of paraffin-embedded human clear cell adenocarcinoma of the ovary using CD11b/ITGAM (D6X1N) Rabbit mAb.
undefined Image 18: Suppressive Myeloid Cell Phenotyping IHC Antibody Sampler Kit
Orders: 877-616-CELL (2355) [email protected] Support: 877-678-TECH (8324) [email protected] Web: cellsignal.com
For Research Use Only. Not for Use in Diagnostic Procedures.

Revision 1

Cell Signaling Technology Logo
Immunohistochemical analysis of paraffin-embedded human prostate adenocarcinoma using MHC Class II (LGII-612.14) Mouse mAb performed on the Leica® BOND™ Rx.
undefined Image 19: Suppressive Myeloid Cell Phenotyping IHC Antibody Sampler Kit
Immunohistochemical analysis of paraffin-embedded human non-small cell lung carcinoma using CD14 (D7A2T) Rabbit mAb (IHC Formulated).
undefined Image 20: Suppressive Myeloid Cell Phenotyping IHC Antibody Sampler Kit
Immunohistochemical analysis of paraffin-embedded human lung carcinoma using CD68 (D4B9C) XP® Rabbit mAb.
undefined Image 21: Suppressive Myeloid Cell Phenotyping IHC Antibody Sampler Kit
Orders: 877-616-CELL (2355) [email protected] Support: 877-678-TECH (8324) [email protected] Web: cellsignal.com
For Research Use Only. Not for Use in Diagnostic Procedures.

Revision 1

Cell Signaling Technology Logo
Immunohistochemical analysis of paraffin-embedded MUTZ-3 cell pellet (left, positive) or THP-1 cell pellet (right, negative) using CD206/MRC1 (E2L9N) Rabbit mAb.
undefined Image 22: Suppressive Myeloid Cell Phenotyping IHC Antibody Sampler Kit
Immunohistochemical analysis of paraffin-embedded human clear cell adenocarcinoma of the ovary using CD163 (D6U1J) Rabbit mAb performed on the Leica® Bond™ Rx.
undefined Image 23: Suppressive Myeloid Cell Phenotyping IHC Antibody Sampler Kit
Immunohistochemical analysis of paraffin-embedded human colon adenocarcinoma using Arginase-1 (D4E3M) Rabbit mAb performed on the Leica® BOND™ Rx.
undefined Image 24: Suppressive Myeloid Cell Phenotyping IHC Antibody Sampler Kit
Orders: 877-616-CELL (2355) [email protected] Support: 877-678-TECH (8324) [email protected] Web: cellsignal.com
For Research Use Only. Not for Use in Diagnostic Procedures.

Revision 1

Cell Signaling Technology Logo
Immunohistochemical analysis of paraffin-embedded human squamous cell lung carcinoma using CSF-1R/M-CSF-R (E4T8Z) Rabbit mAb (left) compared to concentration matched Rabbit (DA1E) mAb IgG XP® Isotype Control #3900 (right).
undefined Image 25: Suppressive Myeloid Cell Phenotyping IHC Antibody Sampler Kit
Immunohistochemical analysis of paraffin-embedded human colon carcinoma using CD11b/ITGAM (D6X1N) Rabbit mAb.
undefined Image 26: Suppressive Myeloid Cell Phenotyping IHC Antibody Sampler Kit
Immunohistochemical analysis of paraffin-embedded human gastric carcinoma using MHC Class II (LGII-612.14) Mouse mAb performed on the Leica® BOND™ Rx.
undefined Image 27: Suppressive Myeloid Cell Phenotyping IHC Antibody Sampler Kit
Orders: 877-616-CELL (2355) [email protected] Support: 877-678-TECH (8324) [email protected] Web: cellsignal.com
For Research Use Only. Not for Use in Diagnostic Procedures.

Revision 1

Cell Signaling Technology Logo
Immunohistochemical analysis of paraffin-embedded human endometrioid adenocarcinoma using CD14 (D7A2T) Rabbit mAb (IHC Formulated).
undefined Image 28: Suppressive Myeloid Cell Phenotyping IHC Antibody Sampler Kit
Immunohistochemical analysis of paraffin-embedded human colon carcinoma using CD206/MRC1 (E2L9N) Rabbit mAb.
undefined Image 29: Suppressive Myeloid Cell Phenotyping IHC Antibody Sampler Kit
Immunohistochemical analysis of paraffin-embedded human colon carcinoma using CD163 (D6U1J) Rabbit mAb.
undefined Image 30: Suppressive Myeloid Cell Phenotyping IHC Antibody Sampler Kit
Orders: 877-616-CELL (2355) [email protected] Support: 877-678-TECH (8324) [email protected] Web: cellsignal.com
For Research Use Only. Not for Use in Diagnostic Procedures.

Revision 1

Cell Signaling Technology Logo
Immunohistochemical analysis of paraffin-embedded human hepatocellular carcinoma using Arginase-1 (D4E3M) Rabbit mAb.
undefined Image 31: Suppressive Myeloid Cell Phenotyping IHC Antibody Sampler Kit
Immunohistochemical analysis of paraffin-embedded GDM-1 cell pellet (left, positive) or HeLa cell pellet (right, negative) using CSF-1R/M-CSF-R (E4T8Z) Rabbit mAb.
undefined Image 32: Suppressive Myeloid Cell Phenotyping IHC Antibody Sampler Kit
Immunohistochemical analysis of paraffin-embedded normal cynomolgus monkey spleen using CD11b/ITGAM (D6X1N) Rabbit mAb.
undefined Image 33: Suppressive Myeloid Cell Phenotyping IHC Antibody Sampler Kit
Orders: 877-616-CELL (2355) [email protected] Support: 877-678-TECH (8324) [email protected] Web: cellsignal.com
For Research Use Only. Not for Use in Diagnostic Procedures.

Revision 1

Cell Signaling Technology Logo
Immunohistochemical analysis of paraffin-embedded human ductal breast carcinoma using MHC Class II (LGII-612.14) Mouse mAb.
undefined Image 34: Suppressive Myeloid Cell Phenotyping IHC Antibody Sampler Kit
Immunohistochemical analysis of paraffin-embedded normal cynomolgus monkey spleen using CD14 (D7A2T) Rabbit mAb (IHC Formulated).
undefined Image 35: Suppressive Myeloid Cell Phenotyping IHC Antibody Sampler Kit
Multiplex immunohistochemical analysis of paraffin-embedded human lung adenocarcinoma using CD68 (D4B9C) XP® rabbit mAb (red), PD-1 (EH33) mouse mAb #43248 (green), CD8α (C8/144B) mouse mAb #70306 (magenta), Pan-keratin (C11) mouse mAb #4545 (cyan), LAG3 (D2G4O™) XP® rabbit mAb #15372 (orange), and TIM-3 (D5D5R™) XP® rabbit mAb #45208 (yellow).
undefined Image 36: Suppressive Myeloid Cell Phenotyping IHC Antibody Sampler Kit
Orders: 877-616-CELL (2355) [email protected] Support: 877-678-TECH (8324) [email protected] Web: cellsignal.com
For Research Use Only. Not for Use in Diagnostic Procedures.

Revision 1

Cell Signaling Technology Logo
Immunohistochemical analysis of paraffin-embedded human non-small cell lung carcinoma using CD206/MRC1 (E2L9N) Rabbit mAb.
undefined Image 37: Suppressive Myeloid Cell Phenotyping IHC Antibody Sampler Kit
Immunohistochemical analysis of paraffin-embedded human squamous cell lung carcinoma using CD163 (D6U1J) Rabbit mAb.
undefined Image 38: Suppressive Myeloid Cell Phenotyping IHC Antibody Sampler Kit
Immunohistochemical analysis of paraffin-embedded normal human liver using Arginase-1 (D4E3M) Rabbit mAb.
undefined Image 39: Suppressive Myeloid Cell Phenotyping IHC Antibody Sampler Kit
Orders: 877-616-CELL (2355) [email protected] Support: 877-678-TECH (8324) [email protected] Web: cellsignal.com
For Research Use Only. Not for Use in Diagnostic Procedures.

Revision 1

Cell Signaling Technology Logo
Immunohistochemical analysis of paraffin-embedded human prostate carcinoma using CSF-1R/M-CSF-R (E4T8Z) Rabbit mAb.
undefined Image 40: Suppressive Myeloid Cell Phenotyping IHC Antibody Sampler Kit
Immunohistochemical analysis of paraffin-embedded THP-1 cell pellet (left, positive) or Jurkat cell pellet (right, negative) using CD11b/ITGAM (D6X1N) Rabbit mAb.
undefined Image 41: Suppressive Myeloid Cell Phenotyping IHC Antibody Sampler Kit
Immunohistochemical analysis of paraffin-embedded human colon carcinoma using MHC Class II (LGII-612.14) Mouse mAb (left) compared to concentration-matched Mouse (G3A1) mAb IgG1 Isotype Control #5415 (right).
undefined Image 42: Suppressive Myeloid Cell Phenotyping IHC Antibody Sampler Kit
Orders: 877-616-CELL (2355) [email protected] Support: 877-678-TECH (8324) [email protected] Web: cellsignal.com
For Research Use Only. Not for Use in Diagnostic Procedures.

Revision 1

Cell Signaling Technology Logo
Immunohistochemical analysis of paraffin-embedded THP-1 cell pellet (left, positive) or Raji cell pellet (right, negative) using CD14 (D7A2T) Rabbit mAb (IHC Formulated).
undefined Image 43: Suppressive Myeloid Cell Phenotyping IHC Antibody Sampler Kit
Multiplex immunohistochemical analysis of paraffin-embedded human ovarian carcinoma using CD68 (D4B9C) XP® rabbit mAb (orange), PD-L1 (E1L3N®) XP® rabbit mAb #13684 (red), PD-L2 (D7U8C™) XP® rabbit mAb (magenta) #82723, Arginase-1 (D4E3M™) XP® rabbit mAb #93668 (green), IDO (D5J4E™) rabbit mAb #86630 (yellow), and Pan-keratin (C11) mouse mAb #4545 (cyan).
undefined Image 44: Suppressive Myeloid Cell Phenotyping IHC Antibody Sampler Kit
Immunohistochemical analysis of paraffin-embedded human non-Hodgkin lymphoma using CD206/MRC1 (E2L9N) Rabbit mAb.
undefined Image 45: Suppressive Myeloid Cell Phenotyping IHC Antibody Sampler Kit
Orders: 877-616-CELL (2355) [email protected] Support: 877-678-TECH (8324) [email protected] Web: cellsignal.com
For Research Use Only. Not for Use in Diagnostic Procedures.

Revision 1

Cell Signaling Technology Logo
Immunohistochemical analysis of paraffin-embedded human non-Hodgkin lymphoma using CD163 (D6U1J) Rabbit mAb.
undefined Image 46: Suppressive Myeloid Cell Phenotyping IHC Antibody Sampler Kit
Immunohistochemical analysis of paraffin-embedded human lung carcinoma using Arginase-1 (D4E3M) Rabbit mAb.
undefined Image 47: Suppressive Myeloid Cell Phenotyping IHC Antibody Sampler Kit
Immunohistochemical analysis of paraffin-embedded human colon adenocarcinoma using MHC Class II (LGII-612.14) Mouse mAb.
undefined Image 48: Suppressive Myeloid Cell Phenotyping IHC Antibody Sampler Kit
Orders: 877-616-CELL (2355) [email protected] Support: 877-678-TECH (8324) [email protected] Web: cellsignal.com
For Research Use Only. Not for Use in Diagnostic Procedures.

Revision 1

Cell Signaling Technology Logo
Immunohistochemical analysis of paraffin-embedded THP-1 (left) and Jurkat (right) cell pellets using CD68 (D4B9C) XP® Rabbit mAb.
undefined Image 49: Suppressive Myeloid Cell Phenotyping IHC Antibody Sampler Kit
Confocal immunofluorescent analysis of human MUTZ-3 cells (left, positive) and Jurkat cells (right, negative) using CD206/MRC1 (E2L9N) Rabbit mAb #91992 (green). Samples were mounted in ProLong® Gold Antifade Reagent with DAPI #8961 (blue).
undefined Image 50: Suppressive Myeloid Cell Phenotyping IHC Antibody Sampler Kit
Immunohistochemical analysis of paraffin-embedded human serous carcinoma of the ovary using CD163 (D6U1J) Rabbit mAb.
undefined Image 51: Suppressive Myeloid Cell Phenotyping IHC Antibody Sampler Kit
Orders: 877-616-CELL (2355) [email protected] Support: 877-678-TECH (8324) [email protected] Web: cellsignal.com
For Research Use Only. Not for Use in Diagnostic Procedures.

Revision 1

Cell Signaling Technology Logo
Immunohistochemical analysis of paraffin-embedded mouse liver using Arginase-1 (D4E3M) Rabbit mAb.
undefined Image 52: Suppressive Myeloid Cell Phenotyping IHC Antibody Sampler Kit
Immunohistochemical analysis of paraffin-embedded human non-Hodgkin lymphoma using MHC Class II (LGII-612.14) Mouse mAb.
undefined Image 53: Suppressive Myeloid Cell Phenotyping IHC Antibody Sampler Kit
Confocal immunofluorescent analysis of THP-1 (left) and Jurkat (right) cells using CD68 (D4B9C) XP® Rabbit mAb (green). Blue pseudocolor = DRAQ5® #4084 (fluorescent DNA dye). Projected images from a z-stack series are shown.
undefined Image 54: Suppressive Myeloid Cell Phenotyping IHC Antibody Sampler Kit
Orders: 877-616-CELL (2355) [email protected] Support: 877-678-TECH (8324) [email protected] Web: cellsignal.com
For Research Use Only. Not for Use in Diagnostic Procedures.

Revision 1

Cell Signaling Technology Logo
Immunohistochemical analysis of paraffin-embedded normal rhesus monkey spleen using CD163 (D6U1J) Rabbit mAb.
undefined Image 55: Suppressive Myeloid Cell Phenotyping IHC Antibody Sampler Kit
Immunohistochemical analysis of paraffin-embedded human serous papillary carcinoma of the ovary using MHC Class II (LGII-612.14) Mouse mAb.
undefined Image 56: Suppressive Myeloid Cell Phenotyping IHC Antibody Sampler Kit
Flow cytometric analysis of live human peripheral blood mononuclear cells co-stained with anti-human CD14 using CD68 (D4B9C) XP® Rabbit mAb (right) compared to a concentration-matched Rabbit (DA1E) mAb IgG XP® Isotype Control #3900 (left). Anti-rabbit IgG (H+L), F(ab')2 Fragment (Alexa Fluor® 488 Conjugate) #4412 was used as a secondary antibody.
undefined Image 57: Suppressive Myeloid Cell Phenotyping IHC Antibody Sampler Kit
Orders: 877-616-CELL (2355) [email protected] Support: 877-678-TECH (8324) [email protected] Web: cellsignal.com
For Research Use Only. Not for Use in Diagnostic Procedures.

Revision 1

Cell Signaling Technology Logo
Immunohistochemical analysis of paraffin-embedded SU-DHL-1 cell pellet (left, positive) or A-375 cell pellet (right, negative) using CD163 (D6U1J) Rabbit mAb.
undefined Image 58: Suppressive Myeloid Cell Phenotyping IHC Antibody Sampler Kit
Confocal immunofluorescent analysis of mouse liver (positive; left) or small intestine (negative; right) using Arginase-1 (D4E3M) Rabbit mAb (green). Blue pseudocolor = DRAQ5 #4084 (fluorescent DNA dye).
undefined Image 59: Suppressive Myeloid Cell Phenotyping IHC Antibody Sampler Kit
Immunohistochemical analysis of paraffin-embedded Raji cell pellet (left, positive) or Jurkat cell pellet (right, negative) using MHC Class II (LGII-612.14) Mouse mAb.
undefined Image 60: Suppressive Myeloid Cell Phenotyping IHC Antibody Sampler Kit
Orders: 877-616-CELL (2355) [email protected] Support: 877-678-TECH (8324) [email protected] Web: cellsignal.com
For Research Use Only. Not for Use in Diagnostic Procedures.

Revision 1

Cell Signaling Technology Logo
Flow cytometric analysis of fixed and permeabilized human peripheral blood mononuclear cells co-stained with anti-human CD14 using CD68 (D4B9C) XP® Rabbit mAb (right) compared to a concentration-matched Rabbit (DA1E) mAb IgG XP® Isotype Control #3900 (left). Anti-rabbit IgG (H+L), F(ab')2 Fragment (Alexa Fluor® 488 Conjugate) #4412 was used as a secondary antibody.
undefined Image 61: Suppressive Myeloid Cell Phenotyping IHC Antibody Sampler Kit
Confocal immunofluorescent analysis of mouse primary bone marrow-derived macrophages (BMDMs) using Arginase-1 (D4E3M) Rabbit mAb (green). BMDMs were differentiated with M-CSF (20 ng/ml, 7 days) and activated with either IL-4/cAMP (20 ng/ml, 0.5 mM, 24 hours; left) or LPS/IFNγ (50 ng/ml, 20 ng/ml, 24 hours; right). Red = Propidium Iodide (PI)/RNase Staining Solution #4087.
undefined Image 62: Suppressive Myeloid Cell Phenotyping IHC Antibody Sampler Kit
Flow cytometric analysis of Jurkat cells (blue) and Raji cells (green) using MHC Class II (LGII-612.14) Mouse mAb (solid lines) or a concentration-matched Mouse (G3A1) mAb IgG1 Isotype Control #5415 (dashed lines). Anti-mouse IgG (H+L), F(ab')2 Fragment (Alexa Fluor® 488 Conjugate) #4408 was used as a secondary antibody.
undefined Image 63: Suppressive Myeloid Cell Phenotyping IHC Antibody Sampler Kit
Orders: 877-616-CELL (2355) [email protected] Support: 877-678-TECH (8324) [email protected] Web: cellsignal.com
For Research Use Only. Not for Use in Diagnostic Procedures.

Revision 1

Cell Signaling Technology Logo
Flow cytometric analysis of fixed and permeabilized Jurkat cells (blue, negative) and THP-1 cells (green, positive) using CD68 (D4B9C) Rabbit mAb (solid lines) or a concentration-matched Rabbit (DA1E) mAb IgG XP® Isotype Control #3900 (dashed lines). Anti-rabbit IgG (H+L), F(ab')2 Fragment (Alexa Fluor® 488 Conjugate) #4412 was used as a secondary antibody.
undefined Image 64: Suppressive Myeloid Cell Phenotyping IHC Antibody Sampler Kit
Flow cytometric analysis of human whole blood using Arginase-1 (D4E3M) Rabbit mAb (solid line) compared to concentration-matched Rabbit (DA1E) mAb IgG Isotype Control #3900 (dashed line). Anti-rabbit IgG (H+L), F(ab')2 Fragment (Alexa Fluor® 488 Conjugate) #4412 was used as a secondary antibody. Analysis was performed on cells in the granulocyte gate.
undefined Image 65: Suppressive Myeloid Cell Phenotyping IHC Antibody Sampler Kit
Simple Western™ analysis of lysates (0.1 mg/mL) from GDM1 cells using CSF-1R/M-CSF-R (E4T8Z) Rabbit mAb #28917. The virtual lane view (left) shows the target band (as indicated) at 1:50 and 1:250 dilutions of primary antibody. The corresponding electropherogram view (right) plots chemiluminescence by molecular weight along the capillary at 1:50 (blue line) and 1:250 (green line) dilutions of primary antibody. This experiment was performed under reducing conditions on the Jess™ Simple Western instrument from ProteinSimple, a BioTechne brand, using the 12-230 kDa separation module.
undefined Image 66: Suppressive Myeloid Cell Phenotyping IHC Antibody Sampler Kit
Orders: 877-616-CELL (2355) [email protected] Support: 877-678-TECH (8324) [email protected] Web: cellsignal.com
For Research Use Only. Not for Use in Diagnostic Procedures.

Revision 1

Cell Signaling Technology Logo
Immunohistochemical analysis of paraffin-embedded human colon carcinoma using CD15/SSEA1 (MC480) Mouse mAb.
undefined Image 67: Suppressive Myeloid Cell Phenotyping IHC Antibody Sampler Kit
Immunohistochemical analysis of paraffin-embedded human squamous cell lung carcinoma using CD15/SSEA1 (MC480) Mouse mAb.
undefined Image 68: Suppressive Myeloid Cell Phenotyping IHC Antibody Sampler Kit
Immunohistochemical analysis of paraffin-embedded human non-Hodgkin lymphoma using CD15/SSEA1 (MC480) Mouse mAb.
undefined Image 69: Suppressive Myeloid Cell Phenotyping IHC Antibody Sampler Kit
Orders: 877-616-CELL (2355) [email protected] Support: 877-678-TECH (8324) [email protected] Web: cellsignal.com
For Research Use Only. Not for Use in Diagnostic Procedures.

Revision 1

Cell Signaling Technology Logo
IHC analysis of paraffin-embedded mouse embryo, showing staining of hair follicles, using CD15/SSEA1 (MC480) Mouse mAb.
undefined Image 70: Suppressive Myeloid Cell Phenotyping IHC Antibody Sampler Kit
Immunohistochemical analysis of paraffin-embedded human prostate carcinoma using CD15/SSEA1 (MC480) Mouse mAb.
undefined Image 71: Suppressive Myeloid Cell Phenotyping IHC Antibody Sampler Kit
Confocal immunofluorescent analysis of mouse embryonic stem cells growing on mouse embryonic fibroblast (MEF) feeder cells using CD15/SSEA1 (MC480) Mouse mAb (green). Actin filaments have been labeled with DY-554 phalloidin (red). Blue pseudocolor = DRAQ5™ (fluorescent DNA dye).
undefined Image 72: Suppressive Myeloid Cell Phenotyping IHC Antibody Sampler Kit
Orders: 877-616-CELL (2355) [email protected] Support: 877-678-TECH (8324) [email protected] Web: cellsignal.com
For Research Use Only. Not for Use in Diagnostic Procedures.

Revision 1

Cell Signaling Technology Logo
Flow cytometric analysis of live NIH/3T3 cells (blue, negative) and F9 cells (green, positive) using CD15/SSEA1 (MC480) Mouse mAb (solid lines) or cells with no primary antibody (dashed lines). Anti-mouse IgG (H+L), F(ab')2 Fragment (Alexa Fluor® 488 Conjugate) #4408 was used as a secondary antibody.
undefined Image 73: Suppressive Myeloid Cell Phenotyping IHC Antibody Sampler Kit
Confocal immunofluorescent analysis of mES cells (left, positive) and NIH/3T3 cells (right, negative) using CD15/SSEA1 (MC480) Mouse mAb (green), DyLight 554 Phalloidin #13054 (red), and DAPI #4083 (blue).
undefined Image 74: Suppressive Myeloid Cell Phenotyping IHC Antibody Sampler Kit
Flow cytometric analysis of fixed and permeabilized NIH/3T3 cells (blue, negative) and F9 cells (green, positive) using CD15/SSEA1 (MC480) Mouse mAb (solid lines) or a concentration matched Mouse IgM Isotype Control (dashed lines). Anti-mouse IgG (H+L), F(ab')2 Fragment (Alexa Fluor® 488 Conjugate) #4408 was used as a secondary antibody.
undefined Image 75: Suppressive Myeloid Cell Phenotyping IHC Antibody Sampler Kit
Orders: 877-616-CELL (2355) [email protected] Support: 877-678-TECH (8324) [email protected] Web: cellsignal.com
For Research Use Only. Not for Use in Diagnostic Procedures.

Revision 1

Cell Signaling Technology Logo
Simple Western™ analysis of lysates (1.0 mg/mL) from THP-1 cells using CD11b/ITGAM (D6X1N) Rabbit mAb #49420. The virtual lane view (left) shows the target (as indicated) at 1:10 and 1:50 dilutions of primary antibody. The corresponding electropherogram view (right) plots chemiluminescence by molecular weight along the capillary at 1:10 (blue line) and 1:50 (green line) dilutions of primary antibody. This experiment was performed under reducing conditions on the Jess™ Simple Western instrument from ProteinSimple, a BioTechne brand, using the 12-280 kDa separation module.
undefined Image 76: Suppressive Myeloid Cell Phenotyping IHC Antibody Sampler Kit
Simple Western™ analysis of lysates (0.001 mg/mL) from Karpas299 cells using MHC Class II (LGII-612.14) Mouse mAb #68258. The virtual lane view (left) shows the target (as indicated) at 1:10 and 1:50 dilutions of primary antibody. The corresponding electropherogram view (right) plots chemiluminescence by molecular weight along the capillary at 1:10 (blue line) and 1:50 (green line) dilutions of primary antibody. This experiment was performed under reducing conditions on the Jess™ Simple Western instrument from ProteinSimple, a BioTechne brand, using the 12-230 kDa separation module.
undefined Image 77: Suppressive Myeloid Cell Phenotyping IHC Antibody Sampler Kit
Immunohistochemical analysis of paraffin-embedded normal cynomolgus monkey spleen using CD68 (D4B9C) XP® Rabbit mAb.
undefined Image 78: Suppressive Myeloid Cell Phenotyping IHC Antibody Sampler Kit
Orders: 877-616-CELL (2355) [email protected] Support: 877-678-TECH (8324) [email protected] Web: cellsignal.com
For Research Use Only. Not for Use in Diagnostic Procedures.

Revision 1

Cell Signaling Technology Logo
Simple Western™ analysis of extracts (0.1 mg/mL) from mouse liver tissue using Arginase-1 (D4E3M) Rabbit mAb #93668. The virtual lane view (left) shows the target band (as indicated) at 1:10 and 1:50 dilutions of primary antibody. The corresponding electropherogram view (right) plots chemiluminescence by molecular weight along the capillary at 1:10 (blue line) and 1:50 (green line) dilutions of primary antibody. This experiment was performed under reducing conditions on the Jess™ Simple Western instrument from ProteinSimple, a BioTechne brand, using the 12-230 kDa separation module.
undefined Image 79: Suppressive Myeloid Cell Phenotyping IHC Antibody Sampler Kit
Flow cytometric analysis of mouse bone marrow-derived macrophage cells, untreated (blue) or treated with hIL-4 (20 ng/mL, 48 hr; green), using Arginase-1 (D4E3M) Rabbit mAb (solid lines) or a concentration-matched Rabbit (DA1E) mAb IgG Isotype Control #3900 (dashed lines). Anti-rabbit IgG (H+L), F(ab')2 fragment (Alexa Fluor® 488 conjugate) #4412 was used as a secondary antibody.
undefined Image 80: Suppressive Myeloid Cell Phenotyping IHC Antibody Sampler Kit
Orders: 877-616-CELL (2355) [email protected] Support: 877-678-TECH (8324) [email protected] Web: cellsignal.com
For Research Use Only. Not for Use in Diagnostic Procedures.