Revision 3

#70358

Store at -20C

CST Logo
Orders:

877-616-CELL (2355)

[email protected]

Support:

877-678-TECH (8324)

3 Trask Lane | Danvers | Massachusetts | 01923 | USA

For Research Use Only. Not for Use in Diagnostic Procedures.

Applications:
W, IP, IHC-P, IF-IC

Reactivity:
H

Sensitivity:
Endogenous

MW (kDa):
18

Source/Isotype:
Rabbit IgG

UniProt ID:
#P30536

Entrez-Gene Id:
706

Product Usage Information

Application Dilution
Western Blotting 1:1000
Immunoprecipitation 1:100
Immunohistochemistry (Paraffin) 1:50 - 1:200
Immunofluorescence (Immunocytochemistry) 1:200

Storage

Supplied in 10 mM sodium HEPES (pH 7.5), 150 mM NaCl, 100 µg/ml BSA, 50% glycerol and less than 0.02% sodium azide. Store at –20°C. Do not aliquot the antibody.

Specificity/Sensitivity

TSPO (D1N7Z) Rabbit Monoclonal Antibody recognizes endogenous levels of total TSPO protein.

Source / Purification

Monoclonal antibody is produced by immunizing animals with a synthetic peptide corresponding to residues surrounding Gly160 of human TSPO protein.

Background

Translocator protein (TSPO) is an 18 kDa mitochondrial drug- and cholesterol-transporting protein involved in steroid hormone synthesis and mitochondrial homeostasis in various cell types (1,2). Originally thought to play a role exclusively in steroid synthesis in steroidogenic cells, subsequent research studies have implicated TSPO in a variety of pathologies in a broad range of tissues, including progression of breast cancer, neuroinflammation, and neurological disorders (1,3-5). TSPO was first identified by its ability to bind benzodiazepines in peripheral tissues and glial cells, hence its alternate name, Peripheral Benzodiazepine Receptor (PBR).

TSPO has been shown to modulate an array of cellular functions; it is critical for steroidogenesis, modulates mitochondrial function and metabolism, and plays a role in both cell proliferation and apoptosis (2,6,7). TSPO is found in the outer mitochondrial membrane where it coordinates with Steroidogenic Acute Regulatory Factor (StAR) to transport cholesterol into the mitochondria and is critical for steroidogenesis and tumor progression (8,9). This is illustrated by studies that show the non-aggressive, hormone-dependent cell line, MCF7, expresses low levels of TSPO whereas the more aggressive, metastatic, and hormone-independent cell line, MDA-MB-231, expresses high levels of TSPO (9). This study, and others, suggest that TSPO may be an important regulator of hormone-dependent tumor progression. Numerous investigations have concluded that due to its high affinity for pharmacological compounds and upregulation in disease, TSPO is an attractive target for diagnosis and treatment of tumor progression, neuroinflammation, neurodegeneration, and neurological/psychiatric disorders (10-14).

Species Reactivity

Species reactivity is determined by testing in at least one approved application (e.g., western blot).

Western Blot Buffer

IMPORTANT: For western blots, incubate membrane with diluted primary antibody in 5% w/v BSA, 1X TBS, 0.1% Tween® 20 at 4°C with gentle shaking, overnight.

Applications Key

W: Western Blotting IP: Immunoprecipitation IHC-P: Immunohistochemistry (Paraffin) IF-IC: Immunofluorescence (Immunocytochemistry)

Cross-Reactivity Key

H: Human

Trademarks and Patents

Cell Signaling Technology is a trademark of Cell Signaling Technology, Inc.

All other trademarks are the property of their respective owners. Visit cellsignal.com/trademarks for more information.

Limited Uses

Except as otherwise expressly agreed in a writing signed by a legally authorized representative of CST, the following terms apply to Products provided by CST, its affiliates or its distributors. Any Customer's terms and conditions that are in addition to, or different from, those contained herein, unless separately accepted in writing by a legally authorized representative of CST, are rejected and are of no force or effect.

Products are labeled with For Research Use Only or a similar labeling statement and have not been approved, cleared, or licensed by the FDA or other regulatory foreign or domestic entity, for any purpose. Customer shall not use any Product for any diagnostic or therapeutic purpose, or otherwise in any manner that conflicts with its labeling statement. Products sold or licensed by CST are provided for Customer as the end-user and solely for research and development uses. Any use of Product for diagnostic, prophylactic or therapeutic purposes, or any purchase of Product for resale (alone or as a component) or other commercial purpose, requires a separate license from CST. Customer shall (a) not sell, license, loan, donate or otherwise transfer or make available any Product to any third party, whether alone or in combination with other materials, or use the Products to manufacture any commercial products, (b) not copy, modify, reverse engineer, decompile, disassemble or otherwise attempt to discover the underlying structure or technology of the Products, or use the Products for the purpose of developing any products or services that would compete with CST products or services, (c) not alter or remove from the Products any trademarks, trade names, logos, patent or copyright notices or markings, (d) use the Products solely in accordance with CST Product Terms of Sale and any applicable documentation, and (e) comply with any license, terms of service or similar agreement with respect to any third party products or services used by Customer in connection with the Products.

Orders: 877-616-CELL (2355) [email protected] Support: 877-678-TECH (8324) [email protected] Web: cellsignal.com
For Research Use Only. Not for Use in Diagnostic Procedures.

Revision 3

Cell Signaling Technology Logo
Western blot analysis of extracts from various cell lines using TSPO (D1N7Z) Rabbit mAb (upper) or β-Tubulin (9F3) Rabbit mAb #2128 (lower).
Western Blotting Image 1: TSPO (D1N7Z) Rabbit Monoclonal Antibody
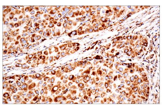
Immunohistochemical analysis of paraffin-embedded human squamous cell lung carcinoma using TSPO (D1N7Z) Rabbit mAb.
Immunohistochemistry Image 1: TSPO (D1N7Z) Rabbit Monoclonal Antibody
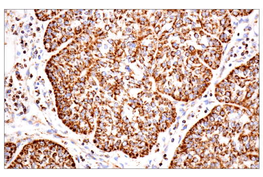
Immunohistochemical analysis of paraffin-embedded human hepatocellular carcinoma using TSPO (D1N7Z) Rabbit mAb.
Immunohistochemistry Image 2: TSPO (D1N7Z) Rabbit Monoclonal Antibody
Orders: 877-616-CELL (2355) [email protected] Support: 877-678-TECH (8324) [email protected] Web: cellsignal.com
For Research Use Only. Not for Use in Diagnostic Procedures.

Revision 3

Cell Signaling Technology Logo
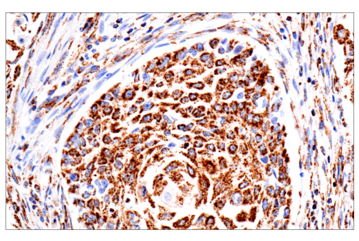
Immunohistochemical analysis of paraffin-embedded human squamous cell carcinoma of the cervix using TSPO (D1N7Z) Rabbit mAb.
Immunohistochemistry Image 3: TSPO (D1N7Z) Rabbit Monoclonal Antibody
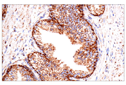
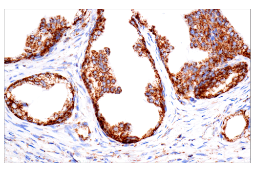
Immunohistochemical analysis of paraffin-embedded human prostate carcinoma using TSPO (D1N7Z) Rabbit mAb.
Immunohistochemistry Image 4: TSPO (D1N7Z) Rabbit Monoclonal Antibody
Immunohistochemical analysis of paraffin-embedded normal human prostate using TSPO (D1N7Z) Rabbit mAb.
Immunohistochemistry Image 5: TSPO (D1N7Z) Rabbit Monoclonal Antibody
Orders: 877-616-CELL (2355) [email protected] Support: 877-678-TECH (8324) [email protected] Web: cellsignal.com
For Research Use Only. Not for Use in Diagnostic Procedures.

Revision 3

Cell Signaling Technology Logo
Immunohistochemical analysis of paraffin-embedded normal human stomach using TSPO (D1N7Z) Rabbit mAb.
Immunohistochemistry Image 6: TSPO (D1N7Z) Rabbit Monoclonal Antibody
Immunohistochemical analysis of paraffin-embedded normal human pancreas using TSPO (D1N7Z) Rabbit mAb.
Immunohistochemistry Image 7: TSPO (D1N7Z) Rabbit Monoclonal Antibody
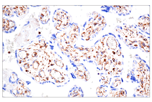
Immunohistochemical analysis of paraffin-embedded normal human placenta using TSPO (D1N7Z) Rabbit mAb.
Immunohistochemistry Image 8: TSPO (D1N7Z) Rabbit Monoclonal Antibody
Orders: 877-616-CELL (2355) [email protected] Support: 877-678-TECH (8324) [email protected] Web: cellsignal.com
For Research Use Only. Not for Use in Diagnostic Procedures.

Revision 3

Cell Signaling Technology Logo
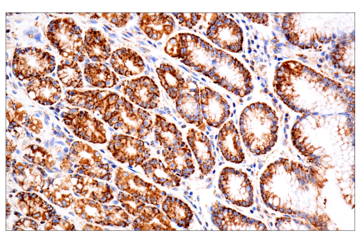
Immunohistochemical analysis of paraffin-embedded normal human colon using TSPO (D1N7Z) Rabbit mAb.
Immunohistochemistry Image 9: TSPO (D1N7Z) Rabbit Monoclonal Antibody
Immunohistochemical analysis of paraffin-embedded human squamous cell carcinoma of the skin using TSPO (D1N7Z) Rabbit mAb (left) compared to concentration-matched Rabbit (DA1E) mAb IgG XP® Isotype Control #3900 (right).
Immunohistochemistry Image 10: TSPO (D1N7Z) Rabbit Monoclonal Antibody
Immunohistochemical analysis of paraffin-embedded HT-1080 cell pellet (left, positive) or MOLT-4 cell pellet (right, negative) using TSPO (D1N7Z) Rabbit mAb.
Immunohistochemistry Image 11: TSPO (D1N7Z) Rabbit Monoclonal Antibody
Orders: 877-616-CELL (2355) [email protected] Support: 877-678-TECH (8324) [email protected] Web: cellsignal.com
For Research Use Only. Not for Use in Diagnostic Procedures.

Revision 3

Cell Signaling Technology Logo
Confocal immunofluorescent analysis of HT-1080 (left) and Hep G2 (right) cells using TSPO (D1N7Z) Rabbit mAb (green). Blue pseudocolor = DRAQ5® #4084 (fluorescent DNA dye).
Immunofluorescence Image 1: TSPO (D1N7Z) Rabbit Monoclonal Antibody
Orders: 877-616-CELL (2355) [email protected] Support: 877-678-TECH (8324) [email protected] Web: cellsignal.com
For Research Use Only. Not for Use in Diagnostic Procedures.