TSPO (D1N7Z) Rabbit Monoclonal Antibody #70358
- WB
- IP
- IHC
- IF
Product Specifications
| REACTIVITY | H |
| SENSITIVITY | Endogenous |
| MW (kDa) | 18 |
| Source/Isotype | Rabbit IgG |
Application Key:
- WB-Western Blotting
- IP-Immunoprecipitation
- IHC-Immunohistochemistry
- IF-Immunofluorescence
Species Cross-Reactivity Key:
- H-Human
Product Information
Product Usage Information
| Application | Dilution |
|---|---|
| Western Blotting | 1:1000 |
| Immunoprecipitation | 1:100 |
| Immunohistochemistry (Paraffin) | 1:50 - 1:200 |
| Immunofluorescence (Immunocytochemistry) | 1:200 |
Storage
Protocol
Specificity / Sensitivity
Species Reactivity:
Source / Purification
Background
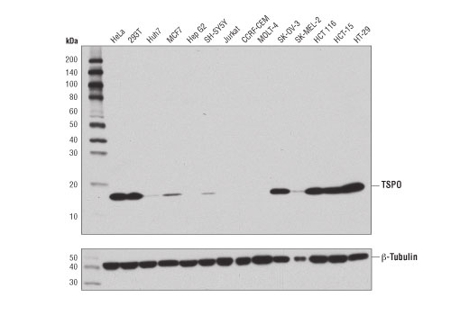
TSPO has been shown to modulate an array of cellular functions; it is critical for steroidogenesis, modulates mitochondrial function and metabolism, and plays a role in both cell proliferation and apoptosis (2,6,7). TSPO is found in the outer mitochondrial membrane where it coordinates with Steroidogenic Acute Regulatory Factor (StAR) to transport cholesterol into the mitochondria and is critical for steroidogenesis and tumor progression (8,9). This is illustrated by studies that show the non-aggressive, hormone-dependent cell line, MCF7, expresses low levels of TSPO whereas the more aggressive, metastatic, and hormone-independent cell line, MDA-MB-231, expresses high levels of TSPO (9). This study, and others, suggest that TSPO may be an important regulator of hormone-dependent tumor progression. Numerous investigations have concluded that due to its high affinity for pharmacological compounds and upregulation in disease, TSPO is an attractive target for diagnosis and treatment of tumor progression, neuroinflammation, neurodegeneration, and neurological/psychiatric disorders (10-14).
- Batarseh, A. and Papadopoulos, V. (2010) Mol Cell Endocrinol 327, 1-12.
- Gatliff, J. and Campanella, M. (2012) Curr Mol Med 12, 356-68.
- Sileikyte, J. et al. (2011) J Biol Chem 286, 1046-53.
- Mukherjee, S. and Das, S.K. (2012) Curr Mol Med 12, 443-57.
- Da Pozzo, E. et al. (2012) Curr Mol Med 12, 426-42.
- Riond, J. et al. (1991) Eur J Biochem 195, 305-11.
- Veenman, L. and Gavish, M. (2012) Curr Mol Med 12, 398-412.
- Papadopoulos, V. et al. (1997) Steroids 62, 21-8.
- Batarseh, A. et al. (2012) Biochim Biophys Acta 1819, 38-56.
- Scarf, A.M. and Kassiou, M. (2011) J Nucl Med 52, 677-80.
- Rupprecht, R. et al. (2010) Nat Rev Drug Discov 9, 971-88.
- Venneti, S. et al. (2013) Glia 61, 10-23.
- Politis, M. et al. (2012) Front Pharmacol 3, 96.
- Calabresi, P.A. and Bohnen, N.I. (2012) Neurology 79, 496-7.
Alternate Names
benzodiazepine peripheral binding site; BPBS; BZRP; DBI; IBP; MBR; mDRC; Mitochondrial benzodiazepine receptor; PBR; PBS; peripheral benzodiazepine receptor; Peripheral-type benzodiazepine receptor; pk18; PKBS; PTBR; RP3-526I14.4; Translocator protein; translocator protein (18kDa); TSPO; TSPOA
Limited Uses
Except as otherwise expressly agreed in a writing signed by a legally authorized representative of CST, the following terms apply to Products provided by CST, its affiliates or its distributors. Any Customer's terms and conditions that are in addition to, or different from, those contained herein, unless separately accepted in writing by a legally authorized representative of CST, are rejected and are of no force or effect.
Products are labeled with For Research Use Only or a similar labeling statement and have not been approved, cleared, or licensed by the FDA or other regulatory foreign or domestic entity, for any purpose. Customer shall not use any Product for any diagnostic or therapeutic purpose, or otherwise in any manner that conflicts with its labeling statement. Products sold or licensed by CST are provided for Customer as the end-user and solely for research and development uses. Any use of Product for diagnostic, prophylactic or therapeutic purposes, or any purchase of Product for resale (alone or as a component) or other commercial purpose, requires a separate license from CST. Customer shall (a) not sell, license, loan, donate or otherwise transfer or make available any Product to any third party, whether alone or in combination with other materials, or use the Products to manufacture any commercial products, (b) not copy, modify, reverse engineer, decompile, disassemble or otherwise attempt to discover the underlying structure or technology of the Products, or use the Products for the purpose of developing any products or services that would compete with CST products or services, (c) not alter or remove from the Products any trademarks, trade names, logos, patent or copyright notices or markings, (d) use the Products solely in accordance with CST Product Terms of Sale and any applicable documentation, and (e) comply with any license, terms of service or similar agreement with respect to any third party products or services used by Customer in connection with the Products.