Revision 3

#43573

Store at -20C

CST Logo
Orders:

877-616-CELL (2355)

[email protected]

Support:

877-678-TECH (8324)

3 Trask Lane | Danvers | Massachusetts | 01923 | USA

For Research Use Only. Not for Use in Diagnostic Procedures.

Product Includes Product # Quantity Mol. Wt Isotype/Source
Phospho-IRF-3 (Ser386) (E7J8G) Rabbit Monoclonal Antibody3782920 µl50-55 kDaRabbit IgG
IRF-3 (D6I4C) Rabbit Monoclonal Antibody1190420 µl50-55 kDaRabbit IgG
Phospho-IRF-7 (Ser477) (D7E1W) Rabbit Monoclonal Antibody1239020 µl65 kDaRabbit IgG
IRF-7 (D2A1J) Rabbit Monoclonal Antibody1301420 µl65 kDaRabbit IgG
IFN-beta1 (D1D7G) Rabbit Monoclonal Antibody7367120 µl19, 21 kDaRabbit IgG
Phospho-Stat1 (Ser727) (D3B7) Rabbit Monoclonal Antibody882620 µl91 kDaRabbit IgG
Stat1 (D1K9Y) Rabbit Monoclonal Antibody1499420 µl84, 91 kDaRabbit IgG
IRF-9 (D2T8M) Rabbit Monoclonal Antibody7668420 µl48 kDaRabbit IgG
MX1 (D3W7I) Rabbit Monoclonal Antibody3784920 µl76 kDaRabbit IgG
Anti-rabbit IgG, HRP-linked Antibody7074100 µlGoat

Please visit cellsignal.com for individual component applications, species cross-reactivity, dilutions, protocols, and additional product information.

Description

The Type I Interferon Induction and Signaling Antibody Sampler Kit provides an economical means of detecting the activation of pathways leading to upregulation of type I interferon (IFN), expression of IFN-β1, activation of signaling downstream of type I IFN, and expression of the MX1 interferon response gene, using phospho-specific and control antibodies. The kit includes enough antibodies to perform at least two western blot experiments.

Storage

Supplied in 10 mM sodium HEPES (pH 7.5), 150 mM NaCl, 100 µg/ml BSA, 50% glycerol and less than 0.02% sodium azide. Store at –20°C. Do not aliquot the antibodies.

Background

The innate immune system uses pattern recognition receptors (PRRs) that detect conserved pathogen-associated molecular patterns (PAMPs), such as cytoplasmic double-stranded RNA, to detect and initiate an immune response to viral infection. Detection of virus by PRRs leads to phosphorylation and nuclear translocation of IRF-3 and IRF-7, resulting in upregulation of type I interferons, which include IFN-α and IFN-β (1-3). Type I interferons signal through the interferon α/β receptor (IFNAR), leading to phosphorylation and activation of Stat1 and Stat2, which form a complex with IRF-9 (4,5). This complex translocates to the nucleus where it induces transcription of interferon response genes including viral restriction factors, such as MX1, that limit viral replication and propagation (4-7).

Trademarks and Patents

Cell Signaling Technology is a trademark of Cell Signaling Technology, Inc.

All other trademarks are the property of their respective owners. Visit cellsignal.com/trademarks for more information.

Limited Uses

Except as otherwise expressly agreed in a writing signed by a legally authorized representative of CST, the following terms apply to Products provided by CST, its affiliates or its distributors. Any Customer's terms and conditions that are in addition to, or different from, those contained herein, unless separately accepted in writing by a legally authorized representative of CST, are rejected and are of no force or effect.

Products are labeled with For Research Use Only or a similar labeling statement and have not been approved, cleared, or licensed by the FDA or other regulatory foreign or domestic entity, for any purpose. Customer shall not use any Product for any diagnostic or therapeutic purpose, or otherwise in any manner that conflicts with its labeling statement. Products sold or licensed by CST are provided for Customer as the end-user and solely for research and development uses. Any use of Product for diagnostic, prophylactic or therapeutic purposes, or any purchase of Product for resale (alone or as a component) or other commercial purpose, requires a separate license from CST. Customer shall (a) not sell, license, loan, donate or otherwise transfer or make available any Product to any third party, whether alone or in combination with other materials, or use the Products to manufacture any commercial products, (b) not copy, modify, reverse engineer, decompile, disassemble or otherwise attempt to discover the underlying structure or technology of the Products, or use the Products for the purpose of developing any products or services that would compete with CST products or services, (c) not alter or remove from the Products any trademarks, trade names, logos, patent or copyright notices or markings, (d) use the Products solely in accordance with CST Product Terms of Sale and any applicable documentation, and (e) comply with any license, terms of service or similar agreement with respect to any third party products or services used by Customer in connection with the Products.

Orders: 877-616-CELL (2355) [email protected] Support: 877-678-TECH (8324) [email protected] Web: cellsignal.com
For Research Use Only. Not for Use in Diagnostic Procedures.

Revision 3

Cell Signaling Technology Logo
Western blot analysis of extracts from control HeLa cells (lane 1) or IRF-3 knockout HeLa cells (lane 2) using IRF-3 (D6I4C) XP® Rabbit mAb, #11904 (upper) or β-actin (13E5) Rabbit mAb, #4970 (lower). The absence of signal in the IRF-3 knockout HeLa cells confirms specificity of the antibody for IRF-3.
undefined Image 1: Type I Interferon Induction and Signaling Antibody Sampler Kit
Western blot analysis of extracts from HT-29 cells, untreated or treated with Human Interferon-α1 (hIFN-α1) #8927 (10 ng/ml, overnight) followed by transfection with poly(I:C) (2.5 μg/ml, 7 hr), as indicated, using Phospho-IRF-7 (Ser477) (D7E1W) Rabbit mAb (upper), IRF-7 Antibody #4920 (middle), or β-Actin (D6A8) Rabbit mAb #8457 (lower).
undefined Image 2: Type I Interferon Induction and Signaling Antibody Sampler Kit
Western blot analysis of extracts from HT-29 and G-361 cells, untreated (-) or treated with Human Interferon-α1 (hIFN-α1) #8927 (10 ng/ml, overnight; +), using IRF-7 (D2A1J) Rabbit mAb (upper) or β-Actin (D6A8) Rabbit mAb #8457 (lower).
undefined Image 3: Type I Interferon Induction and Signaling Antibody Sampler Kit
Orders: 877-616-CELL (2355) [email protected] Support: 877-678-TECH (8324) [email protected] Web: cellsignal.com
For Research Use Only. Not for Use in Diagnostic Procedures.

Revision 3

Cell Signaling Technology Logo
Western blot analysis of extracts from A549 cells (lane 1) or STAT1 knock-out cells (lane 2) using Stat1 (D1K9Y) Rabbit mAb #14994 (upper), and β-actin (D6A8) Rabbit mAb #8457 (lower). The absence of signal in the STAT1 knock-out A549 cells confirms specificity of the antibody for STAT1.
undefined Image 4: Type I Interferon Induction and Signaling Antibody Sampler Kit
Western blot analysis of extracts from A549 cells, untreated (-) or treated with Poly (I:C) (+), using Phospho-IRF-3 (Ser386) (E7J8G) XP® Rabbit mAb (upper) or IRF-3 (D6I4C) XP® Rabbit mAb #11904 (lower).
undefined Image 5: Type I Interferon Induction and Signaling Antibody Sampler Kit
Western blot analysis of extracts from HeLa cells, untreated (-) or treated with Human Interferon-α1 (hIFN-α1) (10 ng/ml, 16 hr; +), using MX1 (D3W7I) Rabbit mAb (upper) and β-Actin (D6A8) Rabbit mAb #8457 (lower).
undefined Image 6: Type I Interferon Induction and Signaling Antibody Sampler Kit
Orders: 877-616-CELL (2355) [email protected] Support: 877-678-TECH (8324) [email protected] Web: cellsignal.com
For Research Use Only. Not for Use in Diagnostic Procedures.

Revision 3

Cell Signaling Technology Logo
After the primary antibody is bound to the target protein, a complex with HRP-linked secondary antibody is formed. The LumiGLO® is added and emits light during enzyme catalyzed decomposition.
undefined Image 7: Type I Interferon Induction and Signaling Antibody Sampler Kit
Western blot analysis of extracts from THP-1 cells, differentiated with TPA (12-O-Tetradecanoylphorbol-13-Acetate) #4174 (80 nM, 16 hr) and then left untransfected (-) or transfected with poly(dA:dT) (5 μg/ml, 16 hr; +), using IFN-β1 (D1D7G) Rabbit mAb (upper) or β-Actin (D6A8) Rabbit mAb #8457 (lower). Brefeldin A #9972 (300 ng/ml) was added to cells 4 hr after the start of the transfection.
undefined Image 8: Type I Interferon Induction and Signaling Antibody Sampler Kit
Western blot analysis of extracts from HeLa cells, untreated (-) or treated with Human Interferon-α1 (hIFN-α1) (10 ng/ml, 16 hr; +), using IRF-9 (D2T8M) Rabbit mAb (upper) and β-Actin (D6A8) Rabbit mAb #8457 (lower).
undefined Image 9: Type I Interferon Induction and Signaling Antibody Sampler Kit
Orders: 877-616-CELL (2355) [email protected] Support: 877-678-TECH (8324) [email protected] Web: cellsignal.com
For Research Use Only. Not for Use in Diagnostic Procedures.

Revision 3

Cell Signaling Technology Logo
Western blot analysis of extracts from various cell lines using IRF-3 (D6I4C) XP® Rabbit mAb.
undefined Image 10: Type I Interferon Induction and Signaling Antibody Sampler Kit
Western blot analysis of extracts from HT-29 cells transfected with 100 nM SignalSilence® Control siRNA (Unconjugated) #6568 (-), SignalSilence® IRF-7 siRNA I #13139 (+) or SignalSilence® IRF-7 siRNA II #13291 (+). Twenty-four hours after transfection, cells were treated with Human Interferon-α1 (hIFN-α1) #8927 (10 ng/ml, overnight; +) and analyzed by western blot using IRF-7 (D2A1J) Rabbit mAb #13014 (upper) or β-Actin (D6A8) Rabbit mAb #8457 (lower). The IRF-7 (D2A1J) Rabbit mAb confirms silencing of IRF-7 expression, while the β-Actin (D6A8) Rabbit mAb is used as a loading control.
undefined Image 11: Type I Interferon Induction and Signaling Antibody Sampler Kit
Western blot analysis of extracts from various cell lines using Stat1 (D1K9Y) Rabbit mAb.
undefined Image 12: Type I Interferon Induction and Signaling Antibody Sampler Kit
Orders: 877-616-CELL (2355) [email protected] Support: 877-678-TECH (8324) [email protected] Web: cellsignal.com
For Research Use Only. Not for Use in Diagnostic Procedures.

Revision 3

Cell Signaling Technology Logo
Confocal immunofluorescent analysis of THP-1 cells, untransfected (left) or transfected with Poly (I:C) (2.5 μg/ml, 6 hr; right), using Phospho-IRF-3 (Ser386) (E7J8G) XP® Rabbit mAb (green) and β-Actin (13E5) Rabbit mAb (Alexa Fluor® 647 Conjugate) #8584 (red). Blue = Hoechst 33342 #4082 (fluorescent DNA dye).
undefined Image 13: Type I Interferon Induction and Signaling Antibody Sampler Kit
Immunoprecipitation of MX1 from extracts of HeLa cells treated with Human Interferon-α1 (10 ng/ml, 16 hr). Lane 1 is 10% input, lane 2 is Rabbit (DA1E) mAb IgG XP® Isotype Control #3900, and lane 3 is MX1 (D3W7I) Rabbit mAb. Western blot analysis was performed using MX1 (D3W7I) Rabbit mAb.
undefined Image 14: Type I Interferon Induction and Signaling Antibody Sampler Kit
Western blot analysis of extracts from various cell lines using IRF-9 (D2T8M) Rabbit mAb.
undefined Image 15: Type I Interferon Induction and Signaling Antibody Sampler Kit
Orders: 877-616-CELL (2355) [email protected] Support: 877-678-TECH (8324) [email protected] Web: cellsignal.com
For Research Use Only. Not for Use in Diagnostic Procedures.

Revision 3

Cell Signaling Technology Logo
Immunoprecipitation of IRF-3 from THP-1 cell extracts using Rabbit (DA1E) mAb IgG XP® Isotype Control #3900 (lane 2) or IRF-3 (D6I4C) XP® Rabbit mAb (lane 3). Lane 1 is 10% input. Western blot analysis was performed using IRF-3 (D6I4C) XP® Rabbit mAb. Mouse Anti-rabbit IgG (Conformation Specific) (L27A9) mAb #3678 and Anti-mouse IgG, HRP-linked Antibody #7076 were used as secondary antibodies.
undefined Image 16: Type I Interferon Induction and Signaling Antibody Sampler Kit
Immunoprecipitation of Stat1 from MCF7 cell extracts using Rabbit (DA1E) mAb IgG XP® Isotype Control #3900 (lane 2) or Stat1 (D1K9Y) Rabbit mAb (lane 3). Lane 1 is 10% input. Western blot was performed using Stat1 (9H2) Mouse mAb #9176.
undefined Image 17: Type I Interferon Induction and Signaling Antibody Sampler Kit
Flow cytometric analysis of THP-1 cells differentiated with TPA #4174 (80 nM, 24 hr), and then untransfected (blue) or transfected with poly(dA:dT) (5 ug/mL, 3 hr; green), using Phospho-IRF-3 (Ser 386) (E7J8G) XP® Rabbit mAb (solid lines) or concentration-matched Rabbit (DA1E) mAb IgG XP® Isotype Control #3900 (dashed lines). Anti-rabbit IgG (H+L), F(ab')2 Fragment (Alexa Fluor® 488 Conjugate) #4412 was used as a secondary antibody.
undefined Image 18: Type I Interferon Induction and Signaling Antibody Sampler Kit
Orders: 877-616-CELL (2355) [email protected] Support: 877-678-TECH (8324) [email protected] Web: cellsignal.com
For Research Use Only. Not for Use in Diagnostic Procedures.

Revision 3

Cell Signaling Technology Logo
Immunohistochemical analysis of paraffin-embedded human ductal carcinoma of the breast using MX1 (D3W7I) Rabbit mAb performed on the Leica® Bond™ Rx.
undefined Image 19: Type I Interferon Induction and Signaling Antibody Sampler Kit
Immunoprecipitation of IRF-9 from THP-1 cell extracts. Lane 1 is 10% input, lane 2 is with Rabbit (DA1E) mAb IgG XP® Isotype Control #3900, and lane 3 is with IRF-9 (D2T8M) Rabbit mAb. Western blot analysis was performed using IRF-9 (D2T8M) Rabbit mAb.
undefined Image 20: Type I Interferon Induction and Signaling Antibody Sampler Kit
Confocal immunofluorescent analysis of HT-29 cells, untransfected (left) or transfected with Poly(I:C) (2.5 μg/ml, 6 hr; right), using IRF-3 (D6I4C) XP® Rabbit mAb (green). Blue pseudocolor = DRAQ5® #4084 (fluorescent DNA dye).
undefined Image 21: Type I Interferon Induction and Signaling Antibody Sampler Kit
Orders: 877-616-CELL (2355) [email protected] Support: 877-678-TECH (8324) [email protected] Web: cellsignal.com
For Research Use Only. Not for Use in Diagnostic Procedures.

Revision 3

Cell Signaling Technology Logo
Immunohistochemical analysis of paraffin-embedded human breast carcinoma using Stat1 (D1K9Y) Rabbit mAb.
undefined Image 22: Type I Interferon Induction and Signaling Antibody Sampler Kit
Immunohistochemical analysis of paraffin-embedded T84 (left, positive) and HCT116 (right, negative) cell pellets using MX1 (D3W7I) Rabbit mAb.
undefined Image 23: Type I Interferon Induction and Signaling Antibody Sampler Kit
Confocal immunofluorescent analysis of HeLa cells, untreated (left) or treated with Human Interferon-α1 (hIFN-α1) (10 ng/ml, 16 hr; right), using IRF-9 (D2T8M) Rabbit mAb (green). Actin filaments were labeled with DyLight™ 554 Phalloidin #13054 (red).
undefined Image 24: Type I Interferon Induction and Signaling Antibody Sampler Kit
Orders: 877-616-CELL (2355) [email protected] Support: 877-678-TECH (8324) [email protected] Web: cellsignal.com
For Research Use Only. Not for Use in Diagnostic Procedures.

Revision 3

Cell Signaling Technology Logo
Immunohistochemical analysis of paraffin-embedded human lymphoma using Stat1 (D1K9Y) Rabbit mAb.
undefined Image 25: Type I Interferon Induction and Signaling Antibody Sampler Kit
Immunohistochemical analysis of paraffin-embedded HeLa cell pellets, untreated (left) or treated with Human Interferon-alpha1 (hIFN-alpha1) (right) using MX1 (D3W7I) Rabbit mAb.
undefined Image 26: Type I Interferon Induction and Signaling Antibody Sampler Kit
Chromatin immunoprecipitations were performed with cross-linked chromatin from U266 cells treated with Human Interferon-α1 (hIFN-α1) (10 nM, 30 min) and either IRF-9 (D2T8M) Rabbit mAb or Normal Rabbit IgG #2729 using SimpleChIP® Enzymatic Chromatin IP Kit (Magnetic Beads) #9003. The enriched DNA was quantified by real-time PCR using SimpleChIP® Human MX1 Promoter Primers #57949, human WARS intron 1 primers, and SimpleChIP® Human α Satellite Repeat Primers #4486. The amount of immunoprecipitated DNA in each sample is represented as signal relative to the total amount of input chromatin, which is equivalent to one.
undefined Image 27: Type I Interferon Induction and Signaling Antibody Sampler Kit
Orders: 877-616-CELL (2355) [email protected] Support: 877-678-TECH (8324) [email protected] Web: cellsignal.com
For Research Use Only. Not for Use in Diagnostic Procedures.

Revision 3

Cell Signaling Technology Logo
Confocal immunofluorescent analysis of HeLa cells, serum-starved overnight (left) or treated with Human Interferon-α1 (hIFN-α1) #8927 (1,000 units/ml, 30 min; right), using Stat1 (D1K9Y) Rabbit mAb (green) and β-Actin (8H10D10) Mouse mAb #3700 (red).
undefined Image 28: Type I Interferon Induction and Signaling Antibody Sampler Kit
Immunohistochemical analysis of paraffin-embedded human non-small cell lung carcinoma using MX1 (D3W7I) Rabbit mAb.
undefined Image 29: Type I Interferon Induction and Signaling Antibody Sampler Kit
Flow cytometric analysis of ACHN cells using Stat1 (D1K9Y) Rabbit mAb (solid line) compared to concentration-matched Rabbit (DA1E) mAb IgG XP® Isotype Control #3900 (dashed line). Anti-rabbit IgG (H+L), F(ab')2 Fragment (Alexa Fluor® 488 Conjugate) #4412 was used as a secondary antibody.
undefined Image 30: Type I Interferon Induction and Signaling Antibody Sampler Kit
Orders: 877-616-CELL (2355) [email protected] Support: 877-678-TECH (8324) [email protected] Web: cellsignal.com
For Research Use Only. Not for Use in Diagnostic Procedures.

Revision 3

Cell Signaling Technology Logo
Immunohistochemical analysis of paraffin-embedded human endometrioid adenocarcinoma using MX1 (D3W7I) Rabbit mAb in the presence of control peptide (left) or antigen-specific peptide (right).
undefined Image 31: Type I Interferon Induction and Signaling Antibody Sampler Kit
Immunohistochemical analysis of paraffin-embedded normal human spleen using MX1 (D3W7I) Rabbit mAb.
undefined Image 32: Type I Interferon Induction and Signaling Antibody Sampler Kit
Chromatin immunoprecipitations were performed with cross-linked chromatin from HT-1080 cells treated with Human Interferon-γ (hIFN-γ) (50 ng/ml, 30 min) and either Stat1 (D1K9Y) Rabbit mAb or Normal Rabbit IgG #2729 using SimpleChIP® Enzymatic Chromatin IP Kit (Magnetic Beads) #9003. The enriched DNA was quantified by real-time PCR using human IRF-1 promoter primers, SimpleChIP® Human TAP1 Promoter Primers #5148, and SimpleChIP® Human α Satellite Repeat Primers #4486. The amount of immunoprecipitated DNA in each sample is represented as signal relative to the total amount of input chromatin, which is equivalent to one.
undefined Image 33: Type I Interferon Induction and Signaling Antibody Sampler Kit
Orders: 877-616-CELL (2355) [email protected] Support: 877-678-TECH (8324) [email protected] Web: cellsignal.com
For Research Use Only. Not for Use in Diagnostic Procedures.

Revision 3

Cell Signaling Technology Logo
Simple Western™ analysis of lysates (1 mg/mL) from HeLa cells using IRF-3 (D6I4C) XP ® Rabbit mAb #11904. The virtual lane view (left) shows the target band (as indicated) at 1:50 and 1:250 dilutions of primary antibody. The corresponding electropherogram view (right) plots chemiluminescence by molecular weight along the capillary at 1:50 (blue line) and 1:250 (green line) dilutions of primary antibody. This experiment was performed under reducing conditions on the Jess™ Simple Western instrument from ProteinSimple, a BioTechne brand, using the 12-230 kDa separation module.
undefined Image 34: Type I Interferon Induction and Signaling Antibody Sampler Kit
Simple Western™ analysis of lysates (0.1 mg/mL) from HT-29 cells using IRF-7 (D2A1J) Rabbit mAb #13014. The virtual lane view (left) shows the target band (as indicated) at 1:10 and 1:50 dilutions of primary antibody. The corresponding electropherogram view (right) plots chemiluminescence by molecular weight along the capillary at 1:10 (blue line) and 1:50 (green line) dilutions of primary antibody. This experiment was performed under reducing conditions on the Jess™ Simple Western instrument from ProteinSimple, a BioTechne brand, using the 12-230 kDa separation module.
undefined Image 35: Type I Interferon Induction and Signaling Antibody Sampler Kit
Simple Western™ analysis of lysates (0.1 mg/mL) from MCF-7 cells using Stat1 (D1K9Y) Rabbit mAb #14994. The virtual lane view (left) shows the target band (as indicated) at 1:10 and 1:50 dilutions of primary antibody. The corresponding electropherogram view (right) plots chemiluminescence by molecular weight along the capillary at 1:10 (blue line) and 1:50 (green line) dilutions of primary antibody. This experiment was performed under reducing conditions on the Jess™ ​​​​​​​ Simple Western instrument from ProteinSimple, a BioTechne brand, using the 12-230 kDa separation module.
undefined Image 36: Type I Interferon Induction and Signaling Antibody Sampler Kit
Orders: 877-616-CELL (2355) [email protected] Support: 877-678-TECH (8324) [email protected] Web: cellsignal.com
For Research Use Only. Not for Use in Diagnostic Procedures.

Revision 3

Cell Signaling Technology Logo
CUT&RUN was performed with HT-1080 cells treated with (hIFN-γ) (50 ng/ml, 30 min) and Stat1 (D1K9Y) Rabbit mAb or Rabbit (DA1E) mAb IgG XP® Isotype Control (CUT&RUN) #66362, using CUT&RUN Assay Kit #86652. The enriched DNA was quantified by real-time PCR using human AIM2 promoter primers, human FZD5 promoter primers, and SimpleChIP® Human α Satellite Repeat Primers #4486. The amount of immunoprecipitated DNA in each sample is represented as signal relative to the total amount of input chromatin, which is equivalent to one.
undefined Image 37: Type I Interferon Induction and Signaling Antibody Sampler Kit
CUT&RUN was performed with HT-1080 cells and Stat1 (D1K9Y) Rabbit mAb, using CUT&RUN Assay Kit #86652. DNA library was prepared using DNA Library Prep Kit for Illumina (ChIP-seq, CUT&RUN) #56795. The figure shows binding across FZD5 gene, a known target gene of Stat1 (see additional figure containing CUT&RUN-qPCR data).
undefined Image 38: Type I Interferon Induction and Signaling Antibody Sampler Kit
CUT&RUN was performed with HT-1080 cells and Stat1 (D1K9Y) Rabbit mAb, using CUT&RUN Assay Kit #86652. DNA Libraries were prepared using DNA Library Prep Kit for Illumina (ChIP-seq, CUT&RUN) #56795. The figures show binding across chromosome 2 (upper), including FZD5 gene (lower), a known target gene of Stat1 (see additional figure containing CUT&RUN-qPCR data).
undefined Image 39: Type I Interferon Induction and Signaling Antibody Sampler Kit
Orders: 877-616-CELL (2355) [email protected] Support: 877-678-TECH (8324) [email protected] Web: cellsignal.com
For Research Use Only. Not for Use in Diagnostic Procedures.

Revision 3

Cell Signaling Technology Logo
Western blot analysis of extracts from HT-29 cells, untreated or treated with h-IFNa (10 ng/mL, 16 hr), followed by poly(I:C) (2.5 mg/mL, 7 hr) and MG-132 (#2194, 10mM, 7 hr) using Phospho-IRF-3 (Ser386) (E7J8G) XP® Rabbit mAb #37829 (upper), IRF-3 (D6I4C) XP® Rabbit mAb #11904 (middle), and GAPDH (D16H11) XP® Rabbit mAb #5174 (lower).
undefined Image 40: Type I Interferon Induction and Signaling Antibody Sampler Kit
Western blot analysis of extracts from various cell lines, untreated (-) or UV-treated (2 hr recovery; +), using Phospho-Stat1 (Ser727) (D3B7) Rabbit mAb.
undefined Image 41: Type I Interferon Induction and Signaling Antibody Sampler Kit
Western blot analysis of extracts from UV-treated HeLa cells, untreated (-) or CIP and λ phosphatase-treated (+), using Phospho-Stat1 (Ser727) (D3B7) Rabbit mAb (upper) or Stat1 (42H3) Rabbit mAb #9175 (lower).
undefined Image 42: Type I Interferon Induction and Signaling Antibody Sampler Kit
Orders: 877-616-CELL (2355) [email protected] Support: 877-678-TECH (8324) [email protected] Web: cellsignal.com
For Research Use Only. Not for Use in Diagnostic Procedures.

Revision 3

Cell Signaling Technology Logo
Western blot analysis of extracts from HeLa cells, untreated (-) or treated with Human Interferon-γ (hIFN-γ) #8901 (100 ng/ml, 30 min; +), using Phospho-Stat1 (Ser727) (D3B7) Rabbit mAb (upper) or Stat1 (42H3) Rabbit mAb #9175 (lower).
undefined Image 43: Type I Interferon Induction and Signaling Antibody Sampler Kit
Immunohistochemical analysis of paraffin-embedded human breast carcinoma using Phospho-Stat1 (Ser727) (D3B7) Rabbit mAb.
undefined Image 44: Type I Interferon Induction and Signaling Antibody Sampler Kit
Immunohistochemical analysis of paraffin-embedded human lymphoma, control (left) or λ phosphatase-treated (right) using Phospho-Stat1 (Ser727) (D3B7) Rabbit mAb.
undefined Image 45: Type I Interferon Induction and Signaling Antibody Sampler Kit
Orders: 877-616-CELL (2355) [email protected] Support: 877-678-TECH (8324) [email protected] Web: cellsignal.com
For Research Use Only. Not for Use in Diagnostic Procedures.

Revision 3

Cell Signaling Technology Logo
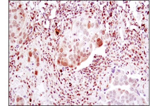
Immunohistochemical analysis of paraffin-embedded human ovarian carcinoma using Phospho-Stat1 (Ser727) (D3B7) Rabbit mAb.
undefined Image 46: Type I Interferon Induction and Signaling Antibody Sampler Kit
Chromatin immunoprecipitations were performed with cross-linked chromatin from HT-1080 cells treated with IFN-γ (50 ng/ml) for 30 minutes and either Phospho-Stat1 (Ser727) (D3B7) Rabbit mAb or Normal Rabbit IgG #2729 using SimpleChIP® Enzymatic Chromatin IP Kit (Magnetic Beads) #9003. The enriched DNA was quantified by real-time PCR using human IRF-1 promoter primers, SimpleChIP® Human TAP1 Promoter Primers #5148, and SimpleChIP® Human α Satellite Repeat Primers #4486. The amount of immunoprecipitated DNA in each sample is represented as signal relative to the total amount of input chromatin, which is equivalent to one.
undefined Image 47: Type I Interferon Induction and Signaling Antibody Sampler Kit
CUT&RUN was performed with HT-1080 cells IFN-γ (50 ng/ml, 30m) and Phospho-Stat1 (Ser727) (D3B7) Rabbit Monoclonal Antibody, using CUT&RUN Assay Kit #86652. DNA Library was prepared using DNA Library Prep Kit for Illumina® (ChIP-seq, CUT&RUN) #56795. The figure shows binding across the AIM2 gene.
undefined Image 48: Type I Interferon Induction and Signaling Antibody Sampler Kit
Orders: 877-616-CELL (2355) [email protected] Support: 877-678-TECH (8324) [email protected] Web: cellsignal.com
For Research Use Only. Not for Use in Diagnostic Procedures.

Revision 3

Cell Signaling Technology Logo
CUT&RUN was performed with HT-1080 cells IFN-γ (50 ng/ml, 30m) and Phospho-Stat1 (Ser727) (D3B7) Rabbit Monoclonal Antibody, using CUT&RUN Assay Kit #86652. DNA Library was prepared using DNA Library Prep Kit for Illumina® (ChIP-seq, CUT&RUN) #56795. The figures show binding across chromosome chr1 (upper), including the AIM2 gene (lower).
undefined Image 49: Type I Interferon Induction and Signaling Antibody Sampler Kit
Orders: 877-616-CELL (2355) [email protected] Support: 877-678-TECH (8324) [email protected] Web: cellsignal.com
For Research Use Only. Not for Use in Diagnostic Procedures.