Revision 1

#9926

Store at -20C

MAPK Family Antibody Sampler Kit

1 Kit

(3 x 20 microliters)

CST Logo
Orders:

877-616-CELL (2355)

[email protected]

Support:

877-678-TECH (8324)

3 Trask Lane | Danvers | Massachusetts | 01923 | USA

For Research Use Only. Not for Use in Diagnostic Procedures.

Product Includes Product # Quantity Mol. Wt Isotype/Source
p44/42 MAPK (Erk1/2) (137F5) Rabbit mAb469520 µl42, 44 kDaRabbit IgG
SAPK/JNK Antibody925220 µl46, 54 kDaRabbit
p38 MAPK (D13E1) XP® Rabbit mAb869020 µl40 kDaRabbit IgG
Anti-rabbit IgG, HRP-linked Antibody7074100 µlGoat

Please visit cellsignal.com for individual component applications, species cross-reactivity, dilutions, protocols, and additional product information.

Description

The MAPK Family Antibody Sampler Kit provides an economical means of evaluating total levels of p38, p44/42, and SAPK/JNK mitogen-activated protein kinases. The kit contains enough primary and secondary antibody to perform two western blot experiments.

Storage

Supplied in 10 mM sodium HEPES (pH 7.5), 150 mM NaCl, 100 µg/ml BSA, 50% glycerol and less than 0.02% sodium azide. Store at –20°C. Do not aliquot the antibody.

Background

p44/42 MAPK (Erk1/2), SAPK/JNK, and p38 MAPK function in protein kinase cascades that play a critical role in the regulation of cell growth, differentiation, and control of cellular responses to cytokines and stress. p44/42 MAPK is activated by growth and neurotrophic factors. Activation occurs through phosphorylation of threonine and tyrosine residues (Thr202 and Tyr204 in human Erk1) at the sequence T*EY* by a single upstream MAP kinase kinase (MEK). SAPK/JNK and p38 MAPK are activated by inflammatory cytokines and by a wide variety of cellular stresses. Activation of SAPK/JNK occurs via phosphorylation at Thr183 and Tyr185 by the dual specificity enzyme SEK/MKK4. Both MKK3 and SEK phosphorylate p38 MAPK on tyrosine and threonine at the sequence T*GY* to activate p38 MAP kinase (1-5).

Trademarks and Patents

Cell Signaling Technology is a trademark of Cell Signaling Technology, Inc.

All other trademarks are the property of their respective owners. Visit cellsignal.com/trademarks for more information.

Limited Uses

Except as otherwise expressly agreed in a writing signed by a legally authorized representative of CST, the following terms apply to Products provided by CST, its affiliates or its distributors. Any Customer's terms and conditions that are in addition to, or different from, those contained herein, unless separately accepted in writing by a legally authorized representative of CST, are rejected and are of no force or effect.

Products are labeled with For Research Use Only or a similar labeling statement and have not been approved, cleared, or licensed by the FDA or other regulatory foreign or domestic entity, for any purpose. Customer shall not use any Product for any diagnostic or therapeutic purpose, or otherwise in any manner that conflicts with its labeling statement. Products sold or licensed by CST are provided for Customer as the end-user and solely for research and development uses. Any use of Product for diagnostic, prophylactic or therapeutic purposes, or any purchase of Product for resale (alone or as a component) or other commercial purpose, requires a separate license from CST. Customer shall (a) not sell, license, loan, donate or otherwise transfer or make available any Product to any third party, whether alone or in combination with other materials, or use the Products to manufacture any commercial products, (b) not copy, modify, reverse engineer, decompile, disassemble or otherwise attempt to discover the underlying structure or technology of the Products, or use the Products for the purpose of developing any products or services that would compete with CST products or services, (c) not alter or remove from the Products any trademarks, trade names, logos, patent or copyright notices or markings, (d) use the Products solely in accordance with CST Product Terms of Sale and any applicable documentation, and (e) comply with any license, terms of service or similar agreement with respect to any third party products or services used by Customer in connection with the Products.

Orders: 877-616-CELL (2355) [email protected] Support: 877-678-TECH (8324) [email protected] Web: cellsignal.com
For Research Use Only. Not for Use in Diagnostic Procedures.

Revision 1

Cell Signaling Technology Logo
Western blot analysis of extracts from various cell lines using p44/42 MAPK (Erk1/2) (137F5) Rabbit mAb.
undefined Image 1: MAPK Family Antibody Sampler Kit
After the primary antibody is bound to the target protein, a complex with HRP-linked secondary antibody is formed. The LumiGLO® is added and emits light during enzyme catalyzed decomposition.
undefined Image 2: MAPK Family Antibody Sampler Kit
Western blot analysis of extracts from various cell lines using p38 MAPK (D13E1) XP® Rabbit mAb.
undefined Image 3: MAPK Family Antibody Sampler Kit
Orders: 877-616-CELL (2355) [email protected] Support: 877-678-TECH (8324) [email protected] Web: cellsignal.com
For Research Use Only. Not for Use in Diagnostic Procedures.

Revision 1

Cell Signaling Technology Logo
Western blot analysis of extracts from 293 and SK-N-MC cells, untreated or UV-treated (40 J/m2), using Phospho-SAPK/JNK Antibody #9251 (upper) or SAPK/JNK Antibody (lower).
undefined Image 4: MAPK Family Antibody Sampler Kit
Western blot analysis of extracts from Hek 293 cells, transfected with 100 nM SignalSilence® Control siRNA (Fluorescein Conjugate) #6201 (-) or SignalSilence® p44/42 MAPK (Erk1/2) siRNA (+), using p44/42 MAPK (Erk1/2) (137F5) Rabbit mAb #4695 and α-Tubulin (11H10) Rabbit mAb #2125. The p44/42 MAPK (Erk1/2) (137F5) Rabbit mAb confirms silencing of p44/42 expression and α-Tubulin (11H10) Rabbit mAb is used to control for loading and specificity of p44/42 MAPK (Erk1/2) siRNA.
undefined Image 5: MAPK Family Antibody Sampler Kit
Immunohistochemical analysis of paraffin-embedded human breast carcinoma using p38 MAPK (D13E1) XP® Rabbit mAb.
undefined Image 6: MAPK Family Antibody Sampler Kit
Orders: 877-616-CELL (2355) [email protected] Support: 877-678-TECH (8324) [email protected] Web: cellsignal.com
For Research Use Only. Not for Use in Diagnostic Procedures.

Revision 1

Cell Signaling Technology Logo
Immunohistochemical analysis of paraffin-embedded human breast carcinoma, showing cytoplasmic and nuclear localization, using p44/42 MAPK (Erk1/2) (137F5) Rabbit mAb.
undefined Image 7: MAPK Family Antibody Sampler Kit
Immunohistochemical analysis of paraffin-embedded human colon carcinoma using p38 MAPK (D13E1) XP® Rabbit mAb.
undefined Image 8: MAPK Family Antibody Sampler Kit
Immunohistochemical analysis of paraffin-embedded human colon carcinoma, using p44/42 MAPK (Erk1/2) (137F5) Rabbit mAb.
undefined Image 9: MAPK Family Antibody Sampler Kit
Orders: 877-616-CELL (2355) [email protected] Support: 877-678-TECH (8324) [email protected] Web: cellsignal.com
For Research Use Only. Not for Use in Diagnostic Procedures.

Revision 1

Cell Signaling Technology Logo
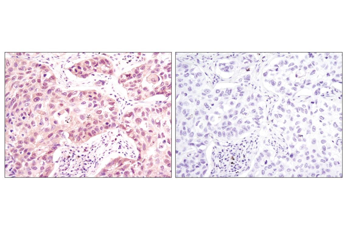
Immunohistochemical analysis of paraffin-embedded human lung carcinoma using p38 MAPK (D13E1) XP® Rabbit mAb in the presence of control peptide (left) or antigen-specific peptide (right).
undefined Image 10: MAPK Family Antibody Sampler Kit
Immunohistochemical analysis of paraffin-embedded human breast carcinoma, using p44/42 MAPK (Erk1/2) (137F5) Rabbit mAb in the presence of control peptide (left) or #1240 p44/42 MAPK (Erk1/2) Blocking Peptide (#4695 Specific) (right).
undefined Image 11: MAPK Family Antibody Sampler Kit
Confocal immunofluorescent analysis of NIH/3T3 cells, treated with either U0126 (MEK1/2 Inhibitor) #9903 (left) or PDGF (right), using p44/42 MAPK (Erk1/2) (137F5) Rabbit mAb (green). Actin filaments have been labeled with DY-554 phalloidin (red).
undefined Image 12: MAPK Family Antibody Sampler Kit
Orders: 877-616-CELL (2355) [email protected] Support: 877-678-TECH (8324) [email protected] Web: cellsignal.com
For Research Use Only. Not for Use in Diagnostic Procedures.

Revision 1

Cell Signaling Technology Logo
Confocal immunofluorescent analysis of HeLa cells, untreated (left) or treated with UV (100 mJ/cm2 with 30 min recovery; right), using p38 MAPK (D13E1) XP® Rabbit mAb (green). Actin filaments were labeled with DY-554 phalloidin (red).
undefined Image 13: MAPK Family Antibody Sampler Kit
Flow cytometric analysis of HeLa cells using p38 MAPK (D13E1) XP® Rabbit mAb (solid line) compared to concentration-matched Rabbit (DA1E) mAb IgG XP® Isotype control #3900 (dashed line). Anti-rabbit IgG (H+L), F(ab')2 Fragment (Alexa Fluor® 488 Conjugate) #4412 was used as a secondary antibody.
undefined Image 14: MAPK Family Antibody Sampler Kit
Flow cytometric analysis of Jurkat cells using p44/42 MAPK (Erk1/2) (137F5) Rabbit mAb (solid line) compared to concentration-matched Rabbit (DA1E) mAb IgG XP® Isotype Control #3900 (dashed line). Anti-rabbit IgG (H+L), F(ab')₂ Fragment (Alexa Fluor® 488 Conjugate) #4412 was used as a secondary antibody.
undefined Image 15: MAPK Family Antibody Sampler Kit
Orders: 877-616-CELL (2355) [email protected] Support: 877-678-TECH (8324) [email protected] Web: cellsignal.com
For Research Use Only. Not for Use in Diagnostic Procedures.

Revision 1

Cell Signaling Technology Logo
Immunoprecipitation of Jurkat cell extracts. Lane 1 is 10% input, lane 2 is Rabbit (DA1E) mAb IgG XP® Isotype Control #3900, and lane 3 is p44/42 MAPK (Erk1/2) (137F5) Rabbit mAb. Western blot analysis was performed using p44/42 MAPK (Erk1/2) (137F5) Rabbit mAb. Mouse Anti-Rabbit IgG (Light-Chain Specific) (D4W3E) mAb (HRP Conjugate) #93702 was used as a secondary antibody.
undefined Image 16: MAPK Family Antibody Sampler Kit
Simple Western™ analysis of lysates (0.1 mg/mL) from HeLa cells using p44/42 MAPK (Erk1/2) (137F5) Rabbit mAb #4695. The virtual lane view (left) shows the target band (as indicated) at 1:10 and 1:50 dilutions of primary antibody. The corresponding electropherogram view (right) plots chemiluminescence by molecular weight along the capillary at 1:10 (blue line) and 1:50 (green line) dilutions of primary antibody. This experiment was performed under reducing conditions on the Jess™ ​​​​​​​ Simple Western instrument from ProteinSimple, a BioTechne brand, using the 12-230 kDa separation module.
undefined Image 17: MAPK Family Antibody Sampler Kit
Confocal immunofluorescent analysis of fixed frozen mouse hippocampus using p44/42 MAPK (Erk1/2) (137F5) Rabbit mAb (green) and ProLong Gold Antifade Reagent with DAPI #8961 (blue).
undefined Image 18: MAPK Family Antibody Sampler Kit
Orders: 877-616-CELL (2355) [email protected] Support: 877-678-TECH (8324) [email protected] Web: cellsignal.com
For Research Use Only. Not for Use in Diagnostic Procedures.

Revision 1

Cell Signaling Technology Logo
Simple Western™ analysis of lysates (0.1 mg/mL) from H4IIE cells using p38 MAPK (D13E1) XP® Rabbit mAb #8690. The virtual lane view (left) shows the target band (as indicated) at 1:50 and 1:250 dilutions of primary antibody. The corresponding electropherogram view (right) plots chemiluminescence by molecular weight along the capillary at 1:50 (blue line) and 1:250 (green line) dilutions of primary antibody. This experiment was performed under reducing conditions on the Jess™ Simple Western instrument from ProteinSimple, a BioTechne brand, using the 12-230 kDa separation module.
undefined Image 19: MAPK Family Antibody Sampler Kit
Simple Western™ analysis of lysates (1 mg/mL) from 293 cells using SAPK/JNK Antibody #9252. The virtual lane view (left) shows two target bands (as indicated) at 1:10 and 1:50 dilutions of primary antibody. The corresponding electropherogram view (right) plots chemiluminescence by molecular weight along the capillary at 1:10 (blue line) and 1:50 (green line) dilutions of primary antibody. This experiment was performed under reducing conditions on the Jess™ Simple Western instrument from ProteinSimple, a BioTechne brand, using the 12-230 kDa separation module.
undefined Image 20: MAPK Family Antibody Sampler Kit
Orders: 877-616-CELL (2355) [email protected] Support: 877-678-TECH (8324) [email protected] Web: cellsignal.com
For Research Use Only. Not for Use in Diagnostic Procedures.