Cell Signaling Technology Logo - Extra Large

ITD-1 #28992

    Product Information

    Product Usage Information

    ITD-1 is supplied as a lyophilized powder. For a 10 mM stock, reconstitute 5 mg of powder in 1.2 ml of DMSO. Working concentrations and length of treatment can vary depending on the desired effect.

    Storage

    Store lyophilized at -20ºC, desiccated. In lyophilized form, the chemical is stable for 24 months. Once in solution, store at -20ºC and use within 3 months to prevent loss of potency. Aliquot to avoid multiple freeze/thaw cycles.

    Product Description

    Molecular Weight 415.5 g/mol
    Purity >98%
    Molecular Formula C27H29NO3
    CAS 1099644-42-4
    Solubility Soluble in DMSO at 8 mg/ml or ethanol at 4 mg/ml with slight warming.

    Background

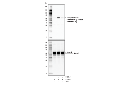
    ITD-1 is a potent and selective inhibitor of Transforming Growth Factor-β (TGF-β) signaling. This small molecule targets TGF-β receptor II by increasing proteasomal degradation, eliminating the receptor from the cell surface, inhibiting downstream intracellular signaling with an IC50 of 0.85 μM (1). Activation of the TGF-β receptor II leads to phosphorylation of Smad2/3 proteins, transmitting TGF-β signals from the cell surface into the nucleus. ITD-1 inhibits the phosphorylation of Smad2/3 proteins but does not block kinase activity of TGF-β receptors (type I and type II), demonstrating that ITD-1 disrupts TGF-β signaling more selectively than other kinase inhibitors (2).

    Alternate Names

    ITD 1; ITD1

    For Research Use Only. Not for Use in Diagnostic Procedures.
    Cell Signaling Technology is a trademark of Cell Signaling Technology, Inc.
    All other trademarks are the property of their respective owners. Visit our Trademark Information page.