Cell Signaling Technology Logo - Extra Large
Recombinant Flag
Recombinant: Superior lot-to-lot consistency, continuous supply, and animal-free manufacturing.

Phospho-YAP (Ser127) (D9W2I) Rabbit Monoclonal Antibody (Biotinylated) #57706

Filter:
  • WB

    Product Specifications

    REACTIVITY H M R
    SENSITIVITY Endogenous
    MW (kDa) 65-78
    Source/Isotype Rabbit IgG
    Application Key:
    • WB-Western Blotting 
    Species Cross-Reactivity Key:
    • H-Human 
    • M-Mouse 
    • R-Rat 

    Product Information

    Product Description

    This Cell Signaling Technology® antibody is the biotinylated version of the unconjugated Phospho-YAP (Ser127) (D9W2I) Rabbit Monoclonal Antibody

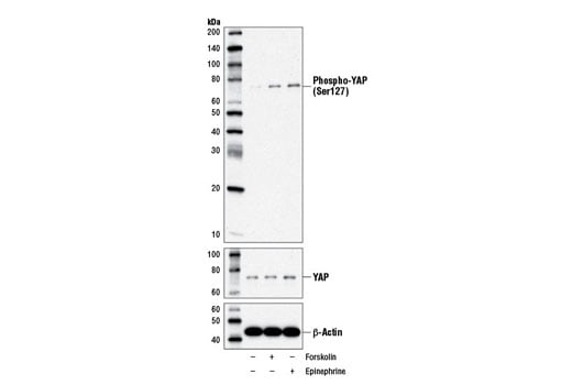
    #13008 and is expected to exhibit the same species cross-reactivity. The concentration of the biotinylated antibody is 500 ug/ml. Peptide ELISA data were generated using the biotinylated antibody. Western blot data were generated using the unconjugated antibody.

    MW (kDa) 65-78

    Product Usage Information

    Biotinylated antibodies are ideal for immunoassay technologies and high-throughput ELISA platforms that require antibody pairs where both antibodies are from the same host. Platforms utilizing biotinylated antibodies include, but are not limited to, MSD, xMAP, Quanterix Simoa, AlphaLISA, AlphaScreen, HTRF, LANCE, and TR-FRET.

    Optimal dilutions/working concentrations should be determined by the end user. Please contact us if you require the antibody clone biotinylated at a different concentration, a carrier-free formulation, or a more customized packaging solution.

    Storage

    Supplied in 140 mM NaCl, 3 mM KCl, 10 mM sodium phosphate (pH 7.4) dibasic, 2 mM potassium phosphate monobasic, 2 mg/mL BSA, and 50% glycerol. Store at –20°C. Do not aliquot the antibody.

    Protocol

    Specificity / Sensitivity

    Phospho-YAP (Ser127) (D9W2I) Rabbit Monoclonal Antibody (Biotinylated) recognizes endogenous levels of YAP protein only when phosphorylated at Ser127.

    Species Reactivity:

    Human, Mouse, Rat

    Source / Purification

    Monoclonal antibody is produced by immunizing animals with a synthetic phosphopeptide corresponding to residues surrounding Ser127 of human YAP protein.

    Background

    YAP (Yes-associated protein, YAP65) was first identified based on its ability to associate with the SH3 domain of Yes. It also binds to other SH3 domain-containing proteins such as Nck, Crk, Src, and Abl (1). In addition to the SH3 binding motif, YAP contains a PDZ interaction motif, a coiled-coil domain, and WW domains (2-4). While initial studies of YAP all pointed towards a role in anchoring and targeting to specific subcellular compartments, subsequent studies showed that YAP is a transcriptional co-activator by virtue of its WW domain interacting with the PY motif (PPxY) of the transcription factor PEBP2 and other transcription factors (5). In its capacity as a transcriptional co-activator, YAP is now widely recognized as a central mediator of the Hippo Pathway, which plays a fundamental and widely conserved role in regulating tissue growth and organ size (6-8). Phosphorylation at multiple sites (e.g., Ser109, Ser127) by LATS kinases promotes YAP translocation from the nucleus to the cytoplasm, where it is sequestered through association with 14-3-3 proteins (7-9). These LATS-driven phosphorylation events serve to prime YAP for subsequent phosphorylation by CK1δ/ε in an adjacent phosphodegron, triggering proteasomal degradation of YAP (10).

    Alternate Names

    65 kDa Yes-associated protein; COB1; Protein yorkie homolog; Transcriptional coactivator YAP1; YAP; YAP1; YAP2; YAP65; Yes associated protein 1; Yes-associated protein 1; Yes-associated protein 1, 65kDa; yes-associated protein 2; Yes-associated protein YAP65 homolog; Yes1 associated transcriptional regulator; YKI; Yorkie homolog

    For Research Use Only. Not for Use in Diagnostic Procedures.
    Cell Signaling Technology is a trademark of Cell Signaling Technology, Inc.
    All other trademarks are the property of their respective owners. Visit our Trademark Information page.