Interleukin-2 (IL-2) #2166
Inquiry Info. # 2166
Please see our recommended alternatives.
Product Information
Product Usage Information
Storage
Product Description
| MW (kDa) | 16 |
| Purity | >95% |
| Activity | 1 x 10 (7) IU/mg |
Source / Purification
Background
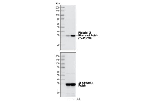
Interleukin-2 (IL-2) is a type of lymphokine which Morgan et al. found in 1976 to be a specific growth factor of T lymphocytes. Interleukin 2 (IL-2) is predominantly produced by T-helper cells (TH1) having the phenotype CD4+, and by subpopulations of thymocytes after antigenic or mitogenic stimulation (1). IL-2 causes proliferation of T-cells, and its function depends on binding to IL-2 receptors (IL-2R alpha and IL-2R beta) which mediate downstream signaling including the activation of p70 S6 kinase (2). Thus, the immune response of T cells is controlled through the expression of IL-2 receptors and IL-2 binding. IL-2 receptors are expressed not only by T-cells but also by B-cells, NK cells, monocytes, thymocytes, thymic stroma cells, oligodendrocytes and endothelial cells (3). This explains the various functions of IL-2, such as immunoglobulin production, growth of certain B-cell subpopulations, macrophage-dependent cytotoxicity, growth and differentiation of oligodendrocytes and proliferation of lymphokine activated killer (LAK) cells. Abnormal production of IL-2 may lead to autoimmune diseases, immunodeficiencies and, under certain circumstances, to T-cell leukemia (4). IL-2 also shares many of these functions with other cytokines such as IL-15 (1).
- Ma, A. et al. (2006) Annu Rev Immunol 24, 657-79.
- Gaffen, S.L. and Liu, K.D. (2004) Cytokine 28, 109-23.
- Fehérvari, Z. et al. (2006) Trends Immunol 27, 109-11.
- Antony, P.A. et al. (2006) J Immunol 176, 5255-66.
- Jaleco, S. et al. (2003) J Immunol 171, 61-8.
- Nelson, B.H. (2002) Curr. Dir. Autoimmun. 5, 92-112.
- Tuhácková, Z. et al. (2004) Int. J. Mol. Med. 13, 601-605.
- Ruscetti, F.W. (1985) Year Immunol. , 100-106.
- Paetkau, V. (1985) Can. J. Biochem. Cell Biol. 63, 691-699.
Limited Uses
Except as otherwise expressly agreed in a writing signed by a legally authorized representative of CST, the following terms apply to Products provided by CST, its affiliates or its distributors. Any Customer's terms and conditions that are in addition to, or different from, those contained herein, unless separately accepted in writing by a legally authorized representative of CST, are rejected and are of no force or effect.
Products are labeled with For Research Use Only or a similar labeling statement and have not been approved, cleared, or licensed by the FDA or other regulatory foreign or domestic entity, for any purpose. Customer shall not use any Product for any diagnostic or therapeutic purpose, or otherwise in any manner that conflicts with its labeling statement. Products sold or licensed by CST are provided for Customer as the end-user and solely for research and development uses. Any use of Product for diagnostic, prophylactic or therapeutic purposes, or any purchase of Product for resale (alone or as a component) or other commercial purpose, requires a separate license from CST. Customer shall (a) not sell, license, loan, donate or otherwise transfer or make available any Product to any third party, whether alone or in combination with other materials, or use the Products to manufacture any commercial products, (b) not copy, modify, reverse engineer, decompile, disassemble or otherwise attempt to discover the underlying structure or technology of the Products, or use the Products for the purpose of developing any products or services that would compete with CST products or services, (c) not alter or remove from the Products any trademarks, trade names, logos, patent or copyright notices or markings, (d) use the Products solely in accordance with CST Product Terms of Sale and any applicable documentation, and (e) comply with any license, terms of service or similar agreement with respect to any third party products or services used by Customer in connection with the Products.