Blue Prestained Protein Marker, Broad Range (11-250 kDa) #59329
Product Information
Product Usage Information
Important: Do Not Boil Protein Marker
1. Thaw the protein ladder on ice.
2. Gently vortex solution to ensure the mixture is homogeneous.
3. Load the appropriate volume of the protein marker per lane, as specified below:
Mini-Gel:
0.75-1.0 mm thick: load 5 μl
1.5 mm thick: load 10 μl
Large Gel:
0.75-1.0 mm thick: load 10μl
1.5 mm thick: load 20 μl
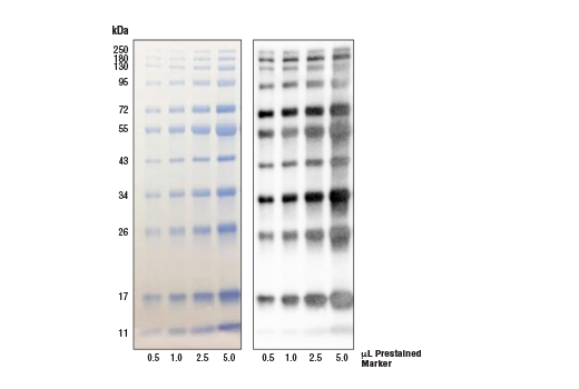
Please note, when using #59329 Blue Prestained Protein Marker, Broad Range (11-250 kDa) with #46387 Anti-Blue (2D2F11) Mouse Monoclonal Antibody (HRP Conjugate), it is recommended to load between 0.5 μl-2.5 μl of #59329 to better visualize the separation of proteins while minimizing excess background due to an overabundance of protein.
4. Unused ladder may be returned to -20ºC for long-term storage.
Note on Apparent Molecular Weights:
The relative sizes of these protein markers may depend on the type of gel used and may appear different than expected. The coupling of a charged dye molecule to a protein marker alters the overall charge of the protein and will likely alter its mobility in an SDS polyacrylamide gel. The extent of this effect can vary with the properties of the gel type (e.g., Tris-glycine, Tris-Tricine, etc.) used in the analysis. For this reason, the sizes of these marker proteins are expressed here as apparent molecular weights. For best results, we recommend using these prestained protein markers on a Tris-glycine SDS gel.
Storage
Product Description
Limited Uses
Except as otherwise expressly agreed in a writing signed by a legally authorized representative of CST, the following terms apply to Products provided by CST, its affiliates or its distributors. Any Customer's terms and conditions that are in addition to, or different from, those contained herein, unless separately accepted in writing by a legally authorized representative of CST, are rejected and are of no force or effect.
Products are labeled with For Research Use Only or a similar labeling statement and have not been approved, cleared, or licensed by the FDA or other regulatory foreign or domestic entity, for any purpose. Customer shall not use any Product for any diagnostic or therapeutic purpose, or otherwise in any manner that conflicts with its labeling statement. Products sold or licensed by CST are provided for Customer as the end-user and solely for research and development uses. Any use of Product for diagnostic, prophylactic or therapeutic purposes, or any purchase of Product for resale (alone or as a component) or other commercial purpose, requires a separate license from CST. Customer shall (a) not sell, license, loan, donate or otherwise transfer or make available any Product to any third party, whether alone or in combination with other materials, or use the Products to manufacture any commercial products, (b) not copy, modify, reverse engineer, decompile, disassemble or otherwise attempt to discover the underlying structure or technology of the Products, or use the Products for the purpose of developing any products or services that would compete with CST products or services, (c) not alter or remove from the Products any trademarks, trade names, logos, patent or copyright notices or markings, (d) use the Products solely in accordance with CST Product Terms of Sale and any applicable documentation, and (e) comply with any license, terms of service or similar agreement with respect to any third party products or services used by Customer in connection with the Products.