Cell Signaling Technology Logo - Extra Large

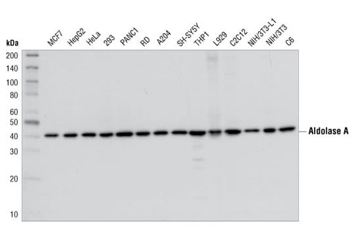
Aldolase A Antibody #3188

Filter:
  • WB

    Product Specifications

    REACTIVITY H M R Hm Mk
    SENSITIVITY Endogenous
    MW (kDa) 40
    SOURCE Rabbit
    Application Key:
    • WB-Western Blotting 
    Species Cross-Reactivity Key:
    • H-Human 
    • M-Mouse 
    • R-Rat 
    • Hm-Hamster 
    • Mk-Monkey 

    Product Information

    Product Usage Information

    Application Dilution
    Western Blotting 1:1000

    Storage

    Supplied in 10 mM sodium HEPES (pH 7.5), 150 mM NaCl, 100 µg/ml BSA and 50% glycerol. Store at –20°C. Do not aliquot the antibody.

    Protocol

    Specificity / Sensitivity

    Aldolase A Antibody detects endogenous levels of total fructose bisphosphate aldolase A protein. This antibody may detect total fructose bisphosphate aldolase B and fructose bisphosphate aldolase C proteins.

    Species Reactivity:

    Human, Mouse, Rat, Hamster, Monkey

    Source / Purification

    Polyclonal antibodies are produced by immunizing animals with a synthetic peptide corresponding to residues surrounding Pro189 of human fructose-bisphosphate aldolase A protein. Antibodies are purified by protein A and peptide affinity chromatography.

    Background

    Aldolase (fructose bisphosphate aldolase), a glycolytic enzyme, catalyzes the conversion of fructose 1, 6-bisphosphate to 3-phosphoglyceraldehyde. This ubiquitous enzyme is present as three different isozymes: aldolase A, aldolase B, and aldolase C. Research studies suggest that aldolase A expression potentially differentiates between nonneoplastic liver diseases and hepatocarcinoma (1). Furthermore, investigators have shown that changes in aldolase B gene expression levels have been observed in certain patients with this primary tumor (2,3).

    Alternate Names

    ALDA; ALDOA; aldolase A, fructose-bisphosphate; aldolase, fructose-bisphosphate A; epididymis secretory sperm binding protein Li 87p; fructose-1,6-bisphosphate triosephosphate-lyase; Fructose-bisphosphate aldolase A; GSD12; HEL-S-87p; Lung cancer antigen NY-LU-1; MGC10942; MGC17716; MGC17767; Muscle-type aldolase

    For Research Use Only. Not for Use in Diagnostic Procedures.
    Cell Signaling Technology is a trademark of Cell Signaling Technology, Inc.
    All other trademarks are the property of their respective owners. Visit our Trademark Information page.