Cell Signaling Technology Logo - Extra Large
Trial Size Available Flag
Recombinant Flag
Recombinant: Superior lot-to-lot consistency, continuous supply, and animal-free manufacturing.

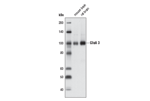
AMPA Receptor 3 (GluA 3) (D47E3) Rabbit Monoclonal Antibody #4676

Filter:
  • WB
  • IP

    Product Specifications

    REACTIVITY H M R
    SENSITIVITY Endogenous
    MW (kDa) 100
    Source/Isotype Rabbit IgG
    Application Key:
    • WB-Western Blotting 
    • IP-Immunoprecipitation 
    Species Cross-Reactivity Key:
    • H-Human 
    • M-Mouse 
    • R-Rat 

    Product Information

    Product Usage Information

    Application Dilution
    Western Blotting 1:2000
    Simple Western™ 1:50 - 1:250
    Immunoprecipitation 1:50

    Storage

    Supplied in 10 mM sodium HEPES (pH 7.5), 150 mM NaCl, 100 µg/ml BSA, 50% glycerol and less than 0.02% sodium azide. Store at –20°C. Do not aliquot the antibody.

    Protocol

    Specificity / Sensitivity

    AMPA Receptor 3 (GluA 3) (D47E3) Rabbit Monoclonal Antibody detects endogenous levels of total GluA 3 protein. This antibody is not predicted to detect other AMPA receptor subunits (e.g. GluA 1, GluA 2 or GluA 4) based on sequence homology of the antigen.

    Species Reactivity:

    Human, Mouse, Rat

    Source / Purification

    Monoclonal antibody is produced by immunizing animals with a synthetic peptide corresponding to residues surrounding Pro590 of human GluA 3 protein.

    Background

    AMPA- (α-amino-3-hydroxy-5-methyl-4-isoxazolepropionic acid), kainite- and NMDA- (N-methyl-D-aspartate) receptors are the three main families of ionotropic glutamate-gated ion channels. AMPA receptors (AMPARs) are comprised of four subunits (GluR 1-4) that assemble as homo- or hetero-tetramers and mediate the majority of fast excitatory transmissions in the CNS. AMPARs are implicated in synapse formation, stabilization and plasticity. Post-transcriptional modifications (alternative splicing and nuclear RNA editing) and post-translational modifications (glycosylation, phoshorylation) result in a very large number of permutations, fine-tuning the kinetic properties of AMPARs (1). GluR 3 knockout mice exhibited normal basal synaptic transmission and long-term depression (LTD) but enhanced long-term potentiation (LTP). In contrast, GluR 2/3 double knockout mice are impaired in basal synaptic transmission (2). Aberrant GluR 3 expression or activity is implicated in a number of diseases, including autoimmune epilepsy, X-linked mental retardation, Rett's syndrome, amyotrophic lateral sclerosis and Alzheimer disease (3).

    Alternate Names

    AMPA-selective glutamate receptor 3; dJ1171F9.1; GluA3; GluR-3; GluR-C; GluR-K3; GLUR3; GLURC; glutamate ionotropic receptor AMPA type subunit 3; Glutamate receptor 3; glutamate receptor C; Glutamate receptor ionotropic, AMPA 3; glutamate receptor subunit 3; glutamate receptor, ionotrophic, AMPA 3; glutamate receptor, ionotropic, AMPA 3; GRIA3; MRX94; MRXSW

    For Research Use Only. Not for Use in Diagnostic Procedures.
    Cell Signaling Technology is a trademark of Cell Signaling Technology, Inc.
    All other trademarks are the property of their respective owners. Visit our Trademark Information page.