Cell Signaling Technology Logo - Extra Large
Trial Size Available Flag
Recombinant Flag
Recombinant: Superior lot-to-lot consistency, continuous supply, and animal-free manufacturing.

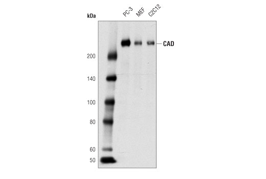
CAD (D2T8H) Rabbit Monoclonal Antibody #93925

Filter:
  • WB
  • IP

    Product Specifications

    REACTIVITY H M R
    SENSITIVITY Endogenous
    MW (kDa) 240
    Source/Isotype Rabbit IgG
    Application Key:
    • WB-Western Blotting 
    • IP-Immunoprecipitation 
    Species Cross-Reactivity Key:
    • H-Human 
    • M-Mouse 
    • R-Rat 

    Product Information

    Product Usage Information

    Application Dilution
    Western Blotting 1:1000
    Immunoprecipitation 1:50

    Storage

    Supplied in 10 mM sodium HEPES (pH 7.5), 150 mM NaCl, 100 µg/ml BSA, 50% glycerol and less than 0.02% sodium azide. Store at –20°C. Do not aliquot the antibody.

    Protocol

    Specificity / Sensitivity

    CAD (D2T8H) Rabbit Monoclonal Antibody recognizes endogenous levels of total CAD protein.

    Species Reactivity:

    Human, Mouse, Rat

    Source / Purification

    Monoclonal antibody is produced by immunizing animals with a synthetic peptide corresponding to residues near the carboxy terminus of human CAD protein.

    Background

    CAD is essential for the de novo synthesis of pyrimidine nucleotides and possesses the following enzymatic activities: glutamine amidotransferase, carbamoyl-phosphate synthetase, aspartate transcarbamoylase, and dihydroorotase. Thus, the enzyme converts glutamine to uridine monophosphate, a common precursor of all pyrimidine bases, and it is necessary for nucleic acid synthesis (1). In resting cells, CAD is localized mainly in the cytoplasm where it carries out pyrimidine synthesis. As proliferating cells enter S phase, MAP Kinase (Erk1/2) phosphorlyates CAD at Thr456, resulting in CAD translocation to the nucleus. As cells exit S phase, CAD is dephosphorylated at Thr456 and phosphorylated at Ser1406 by PKA, returning the pathway to basal activity (2). Various research studies have shown increased expression of CAD in several types of cancer, prompting the development of pharmacological inhibitors such as PALA. Further studies have identified CAD as a potential predictive early marker of prostate cancer relapse (3).

    Alternate Names

    Aspartate carbamoyltransferase; CAD; CAD protein; CAD trifunctional protein; carbamoyl-phosphate synthetase 2, aspartate transcarbamylase, and dihydroorotase; CDG1Z; Dihydroorotase; EIEE50; GATD4; Glutamine-dependent carbamoyl-phosphate synthase; multifunctional protein CAD; PYR1

    For Research Use Only. Not for Use in Diagnostic Procedures.
    Cell Signaling Technology is a trademark of Cell Signaling Technology, Inc.
    All other trademarks are the property of their respective owners. Visit our Trademark Information page.