Cadherin-17 Antibody #42919
- WB
Product Specifications
| REACTIVITY | H |
| SENSITIVITY | Endogenous |
| MW (kDa) | 120 |
| SOURCE | Rabbit |
Application Key:
- WB-Western Blotting
Species Cross-Reactivity Key:
- H-Human
Product Information
Product Usage Information
| Application | Dilution |
|---|---|
| Western Blotting | 1:1000 |
Storage
Protocol
Specificity / Sensitivity
Species Reactivity:
Source / Purification
Background
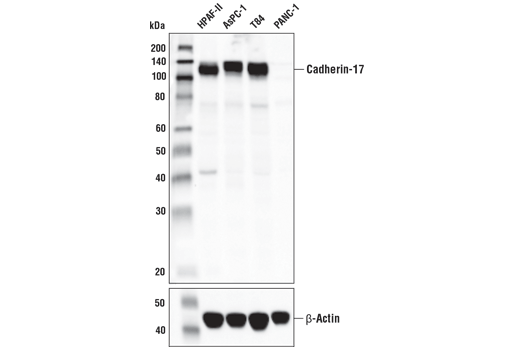
Cadherin-17/Liver-Intestine-cadherin (CDH17/LI-cadherin) is a type-I transmembrane glycoprotein that belongs to the 7D-cadherin superfamily. Unlike classical cadherins, CDH17 is characterized by an extracellular domain with seven cadherin repeats and a short cytoplasmic domain that does not display any homology to the cytoplasmic domain of classical cadherins (9). CDH17 is a calcium-dependent homotypic cell-cell adhesion molecule that is selectively expressed on the basolateral surface of polarized epithelia lining the small intestine and colon of humans under normal physiological conditions (10). Research studies have demonstrated that CDH17 is aberrantly overexpressed in human gastric cancer and may serve as a novel oncogenic biomarker for this disease (11,12). At the molecular level, research studies have suggested that CDH17 exerts its oncogenicity in the context of gastric cancer through its ability to engage both NF-κB and MAPK signaling cascades (13,14).
- Wheelock, M.J. and Johnson, K.R. (2003) Annu Rev Cell Dev Biol 19, 207-35.
- Christofori, G. (2003) EMBO J 22, 2318-23.
- Hazan, R.B. et al. (2004) Ann N Y Acad Sci 1014, 155-63.
- Bryant, D.M. and Stow, J.L. (2004) Trends Cell Biol 14, 427-34.
- Rabascio, C. et al. (2004) Cancer Res 64, 4373-7.
- Yamaoka-Tojo, M. et al. (2006) Arterioscler Thromb Vasc Biol 26, 1991-7.
- Patel, I.S. et al. (2003) Int J Cancer 106, 172-7.
- Sanders, D.S. et al. (2000) J Pathol 190, 526-30.
- Berndorff, D. et al. (1994) J Cell Biol 125, 1353-69.
- Gessner, R. and Tauber, R. (2000) Ann N Y Acad Sci 915, 136-43.
- Grötzinger, C. et al. (2001) Gut 49, 73-81.
- Dong, W. et al. (2007) Dig Dis Sci 52, 536-42.
- Lin, Z. et al. (2014) PLoS One 9, e85296.
- Wang, J. et al. (2013) Cancer Biol Ther 14, 262-70.
Alternate Names
CAD17; cadherin 17; cadherin 17, LI cadherin (liver-intestine); cadherin-16; Cadherin-17; CDH16; CDH17; FLJ26931; HPT-1; HPT-1 cadherin; HPT1; human intestinal peptide-associated transporter HPT-1; human peptide transporter 1; Intestinal peptide-associated transporter HPT-1; LI cadherin; LI-cadherin; Liver-intestine cadherin; MGC138218; MGC142024
Limited Uses
Except as otherwise expressly agreed in a writing signed by a legally authorized representative of CST, the following terms apply to Products provided by CST, its affiliates or its distributors. Any Customer's terms and conditions that are in addition to, or different from, those contained herein, unless separately accepted in writing by a legally authorized representative of CST, are rejected and are of no force or effect.
Products are labeled with For Research Use Only or a similar labeling statement and have not been approved, cleared, or licensed by the FDA or other regulatory foreign or domestic entity, for any purpose. Customer shall not use any Product for any diagnostic or therapeutic purpose, or otherwise in any manner that conflicts with its labeling statement. Products sold or licensed by CST are provided for Customer as the end-user and solely for research and development uses. Any use of Product for diagnostic, prophylactic or therapeutic purposes, or any purchase of Product for resale (alone or as a component) or other commercial purpose, requires a separate license from CST. Customer shall (a) not sell, license, loan, donate or otherwise transfer or make available any Product to any third party, whether alone or in combination with other materials, or use the Products to manufacture any commercial products, (b) not copy, modify, reverse engineer, decompile, disassemble or otherwise attempt to discover the underlying structure or technology of the Products, or use the Products for the purpose of developing any products or services that would compete with CST products or services, (c) not alter or remove from the Products any trademarks, trade names, logos, patent or copyright notices or markings, (d) use the Products solely in accordance with CST Product Terms of Sale and any applicable documentation, and (e) comply with any license, terms of service or similar agreement with respect to any third party products or services used by Customer in connection with the Products.