Cell Signaling Technology Logo - Extra Large
Trial Size Available Flag
Recombinant Flag
Recombinant: Superior lot-to-lot consistency, continuous supply, and animal-free manufacturing.

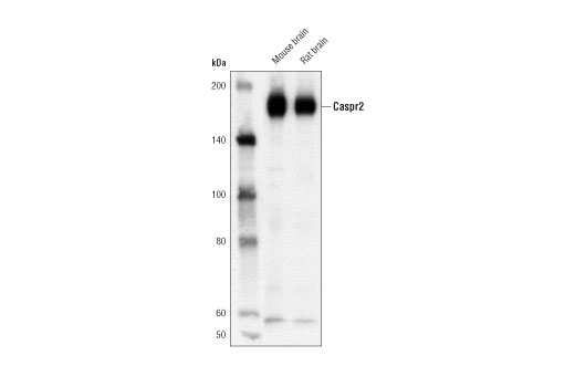
Caspr2 (D6S1O) Rabbit Monoclonal Antibody #61962

Filter:
  • WB

    Product Specifications

    REACTIVITY H M R
    SENSITIVITY Endogenous
    MW (kDa) 150
    Source/Isotype Rabbit IgG
    Application Key:
    • WB-Western Blotting 
    Species Cross-Reactivity Key:
    • H-Human 
    • M-Mouse 
    • R-Rat 

    Product Information

    Product Usage Information

    Application Dilution
    Western Blotting 1:1000

    Storage

    Supplied in 10 mM sodium HEPES (pH 7.5), 150 mM NaCl, 100 µg/ml BSA, 50% glycerol and less than 0.02% sodium azide. Store at –20°C. Do not aliquot the antibody.

    Protocol

    Specificity / Sensitivity

    Caspr2 (D6S1O) Rabbit Monoclonal Antibody recognizes endogenous levels of total Caspr2 protein.

    Species Reactivity:

    Human, Mouse, Rat

    Source / Purification

    Monoclonal antibody is produced by immunizing animals with a synthetic peptide corresponding to residues surrounding Gln1040 of human Caspr2 protein.

    Background

    Contactin-associated protein 2 (Caspr2) is a type I transmembrane protein and member of the neurexin superfamily that mediates nervous system cell-cell interactions through the Neurexin IV-Caspr-Paranodin (NCP) complex (1). A multiprotein complex consisting of TAG-1, Caspr2, K+ channel, PSD95 and protein 4.1B mediates the molecular interactions at the juxtaparanodal region of myelinated axons, with homophilic TAG-1 interactions mediating the binding of this complex to glia (2,3).
    Caspr2 protein localizes to juxtaparanodal regions of myelinated axons where it forms a cis-complex with the immunoglobulin-like cell adhesion molecule TAG-1. Caspr2 also binds to Shaker K+ channels Kv1.1, Kv1.2, and their Kvβ2 subunit. A PDZ domain at the Caspr2 carboxy terminus mediates the Caspr2-K+ channel association. Caspr2 is required for proper K+ channel localization, as Caspr2 deletion causes the redistribution of channels along the internodes (1-3). Furthermore, Caspr2 binds to protein 4.1B and connects the protein complex to the axonal cytoskeleton (4). Mutations in the Caspr2 gene have been linked to focal epilepsy, cortical dysplasia and Gilles de la Tourette syndrome (5,6).

    Alternate Names

    AUTS15; CASPR2; CDFE; Cell recognition molecule Caspr2; CNTNAP2; CNTP2; contactin associated protein 2; contactin associated protein like 2; contactin associated protein-like 2; contactin-associated protein 2; Contactin-associated protein-like 2; DKFZp781D1846; homolog of Drosophila neurexin IV; KIAA0868; NRXN4; PTHSL1

    For Research Use Only. Not for Use in Diagnostic Procedures.
    Cell Signaling Technology is a trademark of Cell Signaling Technology, Inc.
    All other trademarks are the property of their respective owners. Visit our Trademark Information page.