Cell Signaling Technology Logo - Extra Large

CLK3 Antibody #3256

Filter:
  • WB
  • IF

    Product Specifications

    REACTIVITY H M R Mk
    SENSITIVITY Endogenous
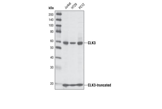
    MW (kDa) 59, 17
    SOURCE Rabbit
    Application Key:
    • WB-Western Blotting 
    • IF-Immunofluorescence 
    Species Cross-Reactivity Key:
    • H-Human 
    • M-Mouse 
    • R-Rat 
    • Mk-Monkey 

    Product Information

    Product Usage Information

    Application Dilution
    Western Blotting 1:1000
    Immunofluorescence (Immunocytochemistry) 1:25

    Storage

    Supplied in 10 mM sodium HEPES (pH 7.5), 150 mM NaCl, 100 µg/ml BSA and 50% glycerol. Store at –20°C. Do not aliquot the antibody.

    Protocol

    Specificity / Sensitivity

    CLK3 Antibody detects endogenous levels of full-length and truncated forms of CLK3 protein.

    Species Reactivity:

    Human, Mouse, Rat, Monkey

    Source / Purification

    Polyclonal antibodies are produced by immunizing animals with a synthetic peptide corresponding to residues surrounding Tyr61 of human CLK3 (P49761-1). Antibodies were purified by protein A and peptide affinity chromatography.

    Background

    The cdc2-like kinase (CLK) family contains at least four highly conserved isoforms: CLK1, CLK2, CLK3 and CLK4 (1,2). CLKs are dual specificity kinases that autophosphorylate on serine, threonine and tyrosine residues and phosphorylate exogenous substrates on serine and threonine residues (2). CLK family members exist as both a full-length catalytically active form and an alternatively-spliced, inactive truncated form (1). A family of highly phosphorylated proteins, called serine and arginine rich (SR) proteins, are phosphorylated by CLKs (3-5). SR proteins are splicing factors that regulate the assembly of the spliceosome, a macromolecular complex where RNA splicing occurs in the nucleus. They are also involved in the selection of splice sites. Thus, CLKs may play important roles in regulating RNA splicing.
    CLK3 is abundantly expressed in the testis and, similar to other family members, has been implicated in regulating RNA splicing (6-8).

    Alternate Names

    CDC like kinase 3; CDC-like kinase 3; CLK3; Dual specificity protein kinase CLK3; FLJ22858; PHCLK3; PHCLK3/152

    For Research Use Only. Not for Use in Diagnostic Procedures.
    Cell Signaling Technology is a trademark of Cell Signaling Technology, Inc.
    Alexa Fluor is a registered trademark of Life Technologies Corporation.
    All other trademarks are the property of their respective owners. Visit our Trademark Information page.