Render Target: STATIC
Render Timestamp:
5/29/2026, 6:12:40 AM EDT
5/29/2026, 10:12:40 AM UTC
Commit: 7ed46ecc04b401f23a28df741b5078df405d23e4
XML generation date: 2025-11-13 17:58:38.443
Product last modified at: 2026-03-20T08:03:21.301Z
Cell Signaling Technology Logo - Extra Large
1% for the planet logo
PDP - Template Name: Polyclonal Antibody
PDP - Template ID: *******59c6464

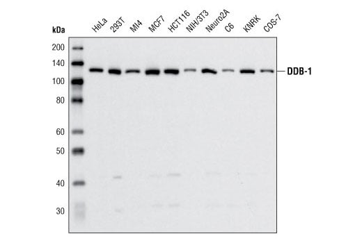
DDB-1 Antibody #5428

Filter:
  • WB

    Product Specifications

    REACTIVITY H M R Mk
    SENSITIVITY Endogenous
    MW (kDa) 127
    SOURCE Rabbit
    Application Key:
    • WB-Western Blotting 
    Species Cross-Reactivity Key:
    • H-Human 
    • M-Mouse 
    • R-Rat 
    • Mk-Monkey 

    Product Information

    Product Usage Information

    Application Dilution
    Western Blotting 1:1000

    Storage

    Supplied in 10 mM sodium HEPES (pH 7.5), 150 mM NaCl, 100 µg/ml BSA and 50% glycerol. Store at –20°C. Do not aliquot the antibody.

    Protocol

    Specificity / Sensitivity

    DDB-1 Antibody detects endogenous levels of total DDB-1 protein.

    Species Reactivity:

    Human, Mouse, Rat, Monkey

    Source / Purification

    Polyclonal antibodies are produced by immunizing animals with a synthetic peptide corresponding to residues near the carboxy terminus of human DDB-1 protein. Antibodies are purified by protein A and peptide affinity chromatography.

    Background

    Damaged DNA-Binding Protein (DDB) consists of a 127 kDa subunit (DDB-1) and a 48 kDa subunit (DDB-2) that contribute to the formation of the UV-damaged DNA-binding protein complex (UV-DDB) (1-3). In conjunction with CUL4A and ROC-1, the UV-DDB complex forms an E3 ubiquitin ligase that recognizes a broad spectrum of DNA lesions such as cyclobutane pyrimidine dimers, 6-4 photoproducts, apurinic sites and short mismatches. The complex polyubiquitinates components of the nucleotide excision repair pathway (4-6). Loss of DDB activity has been identified in a subset of xeroderma pigmentosum complementation group E (XP-E) patients and has been linked to the deficient repair of cyclobutane pyrimidine dimers in cells derived from these patients (7-10).
    DDB-1 is a relatively abundant protein that is vital for normal cell function and is evolutionarily conserved in mammals, insects, worms and plants. Unlike DDB-2, lesions in DDB-1 have yet to be indentified in XP-E patients. In association with ROC-1 and CUL4A, DDB-1 functions to recruit substrate-specific targeting subunits, generally known as DCAFs or CDWs, to CUL4-RING E3 ubiquitin-protein ligase complexes (11,12). Ubiquitination of histone H2A, histone H3 and histone H4 at sites of UV-induced DNA damage by the DDB1-DDB2-CUL4A-ROC1 E3 ubiquitin-protein ligase complex may facilitate their removal from the nucleosome in order to promote DNA repair (13-15). DDB-1, in association with other CUL4-based E3 ligase complexes, has also been found to be a regulator of mTOR signaling (16,17).
    1. Reardon, J.T. et al. (1993) J Biol Chem 268, 21301-8.
    2. Keeney, S. et al. (1993) J Biol Chem 268, 21293-300.
    3. Hwang, B.J. and Chu, G. (1993) Biochemistry 32, 1657-66.
    4. Chu, G. and Chang, E. (1990) Proc Natl Acad Sci USA 87, 3324-7.
    5. Hirschfeld, S. et al. (1990) Mol Cell Biol 10, 2041-8.
    6. Payne, A. and Chu, G. (1994) Mutat Res 310, 89-102.
    7. Chu, G. and Chang, E. (1988) Science 242, 564-7.
    8. Nichols, A.F. et al. (1996) J Biol Chem 271, 24317-20.
    9. Kataoka, H. and Fujiwara, Y. (1991) Biochem Biophys Res Commun 175, 1139-43.
    10. Keeney, S. et al. (1992) Mutat Res 273, 49-56.
    11. He, Y.J. et al. (2006) Genes Dev 20, 2949-54.
    12. Lee, J. and Zhou, P. (2007) Mol Cell 26, 775-80.
    13. Wang, H. et al. (2006) Mol Cell 22, 383-94.
    14. Kapetanaki, M.G. et al. (2006) Proc Natl Acad Sci USA 103, 2588-93.
    15. Guerrero-Santoro, J. et al. (2008) Cancer Res 68, 5014-22.
    16. Ghosh, P. et al. (2008) Cell Cycle 7, 373-81.
    17. Hu, J. et al. (2008) Genes Dev 22, 866-71.

    Alternate Names

    damage specific DNA binding protein 1; damage-specific DNA binding protein 1, 127kDa; Damage-specific DNA-binding protein 1; DDB p127 subunit; DDB1; DDBa; DNA damage-binding protein 1; DNA damage-binding protein a; HBV X-associated protein 1; UV-damaged DNA-binding factor; UV-damaged DNA-binding protein 1; UV-DDB 1; UV-DDB1; XAP-1; XAP1; Xeroderma pigmentosum group E-complementing protein; XPCe; XPE; XPE-BF; XPE-binding factor

    For Research Use Only. Not for Use in Diagnostic Procedures.
    Cell Signaling Technology is a trademark of Cell Signaling Technology, Inc.
    All other trademarks are the property of their respective owners. Visit our Trademark Information page.