Cell Signaling Technology Logo - Extra Large

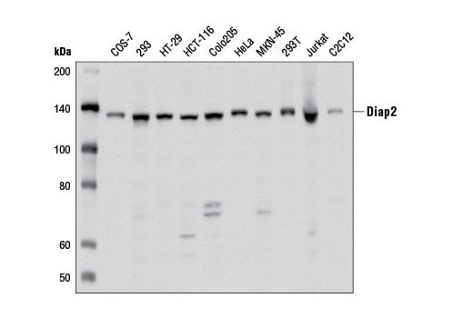
Diap2 Antibody #5474

Filter:
  • WB
  • IP

    Product Specifications

    REACTIVITY H M R Mk
    SENSITIVITY Endogenous
    MW (kDa) 130
    SOURCE Rabbit
    Application Key:
    • WB-Western Blotting 
    • IP-Immunoprecipitation 
    Species Cross-Reactivity Key:
    • H-Human 
    • M-Mouse 
    • R-Rat 
    • Mk-Monkey 

    Product Information

    Product Usage Information

    Application Dilution
    Western Blotting 1:1000
    Immunoprecipitation 1:50

    Storage

    Supplied in 10 mM sodium HEPES (pH 7.5), 150 mM NaCl, 100 µg/ml BSA and 50% glycerol. Store at –20°C. Do not aliquot the antibody.

    Protocol

    Specificity / Sensitivity

    Diap2 Antibody recognizes endogenous levels of total diap2 protein.

    Species Reactivity:

    Human, Mouse, Rat, Monkey

    Source / Purification

    Polyclonal antibodies are produced by immunizing animals with a synthetic peptide corresponding to residues near the amino terminus of human diap2 protein. Antibodies are purified by protein A and peptide affinity chromatography.

    Background

    Formins are a family of large multidomain actin nucleation/polymerization proteins characterized by their catalytic FH2 domains. The mammalian diaphanous-related formin (mDia/diap) subfamily, including mDia1/diap1, mDia2/diap3 and mDia3/diap2, are effectors of Rho family small GTPases. In response to Rho, mDia/diap proteins are involved in the regulation of multiple cell functions including cytoskeletal dynamics, migration, adhesion, polarity and cell shape (reviewed in 1,2).
    mDia1/diap1 is activated by GTP-bound Rho, leading to Rho-associated kinase (ROCK)-dependent stress fiber formation (3,4). Rho activation of mDia1 has also been shown to regulate serum response factor (SRF)-dependent transcription (5), and has been implicated in human cancer phenotypes such as ras-mediated transformation, metastasis and invasion (reviewed in 6).
    mDia3/diap2, activated by the Rho family small GTPase cdc42, regulates the attachment of microtubules to the kinetochore during mitosis in mammalian cells (7).
    Rho-dependent activation of mDia2/diap3 is important in assembly of the contractile ring during cytokinesis (8,9).

    Alternate Names

    DIA; DIA2; DIAP2; DIAPH2; diaphanous 2; diaphanous homolog 2; diaphanous homolog 2 (Drosophila); diaphanous related formin 2; Diaphanous-2; Diaphanous-related formin-2; diaphorase-2; DRF2; FLJ11167; mDia3; POF; POF2; POF2A; Protein diaphanous homolog 2

    For Research Use Only. Not for Use in Diagnostic Procedures.
    Cell Signaling Technology is a trademark of Cell Signaling Technology, Inc.
    All other trademarks are the property of their respective owners. Visit our Trademark Information page.