Cell Signaling Technology Logo - Extra Large

DUSP6/MKP3 Antibody #39441

Filter:
  • WB

Inquiry Info. # 39441

Please see our recommended alternatives.

    Product Specifications

    REACTIVITY H
    SENSITIVITY Endogenous
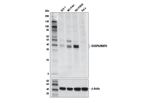
    MW (kDa) 42
    SOURCE Rabbit
    Application Key:
    • WB-Western Blotting 
    Species Cross-Reactivity Key:
    • H-Human 

    Product Information

    Product Usage Information

    Application Dilution
    Western Blotting 1:1000

    Storage

    Supplied in 10 mM sodium HEPES (pH 7.5), 150 mM NaCl, 100 µg/ml BSA and 50% glycerol. Store at –20°C. Do not aliquot the antibody.

    Protocol

    Specificity / Sensitivity

    DUSP6/MKP3 Antibody recognizes endogenous levels of total DUSP6/MKP3 protein. This antibody also cross-reacts with an unidentified protein of 50 kDa in some cell extracts.

    Species Reactivity:

    Human

    The antigen sequence used to produce this antibody shares 100% sequence homology with the species listed here, but reactivity has not been tested or confirmed to work by CST. Use of this product with these species is not covered under our Product Performance Guarantee.

    Species predicted to react based on 100% sequence homology:

    Mouse, Rat

    Source / Purification

    Polyclonal antibodies are produced by immunizing animals with a synthetic peptide corresponding to residues surrounding Val372 of human DUSP6/MKP3 protein. Antibodies are purified by protein A and peptide affinity chromatography.

    Background

    MAP kinases are inactivated by dual-specificity protein phosphatases (DUSPs) that differ in their substrate specificity, tissue distribution, inducibility by extracellular stimuli, and cellular localization. DUSPs, also known as MAPK phosphatases (MKPs), specifically dephosphorylate both threonine and tyrosine residues in MAPK P-loops and have been shown to play important roles in regulating the function of the MAPK family (1,2). At least 13 members of the family (DUSP1-10, DUSP14, DUSP16, and DUSP22) display unique substrate specificities for various MAP kinases (3). MAPK phosphatases typically contain an amino-terminal rhodanese-fold responsible for DUSP docking to MAPK family members and a carboxy-terminal catalytic domain (4). These phosphatases can play important roles in development, immune system function, stress responses, and metabolic homeostasis (5). In addition, research studies have implicated DUSPs in the development of cancer and the response of cancer cells to chemotherapy (6).

    Alternate Names

    dual specificity phosphatase 6; Dual specificity protein phosphatase 6; Dual specificity protein phosphatase PYST1; DUS6; DUSP6; HH19; MAP kinase phosphatase 3; Mitogen-activated protein kinase phosphatase 3; MKP-3; MKP3; PYST1; serine/threonine specific protein phosphatase

    For Research Use Only. Not for Use in Diagnostic Procedures.
    Cell Signaling Technology is a trademark of Cell Signaling Technology, Inc.
    All other trademarks are the property of their respective owners. Visit our Trademark Information page.