Eps15 Antibody #8855
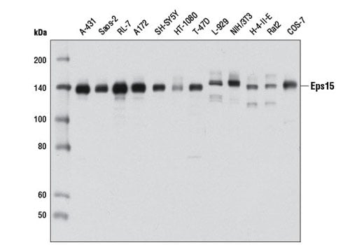
- WB
- IP
Inquiry Info. # 8855
Please see our recommended alternatives.
Product Specifications
| REACTIVITY | H M R Mk |
| SENSITIVITY | Endogenous |
| MW (kDa) | 138-140 |
| SOURCE | Rabbit |
Application Key:
- WB-Western Blotting
- IP-Immunoprecipitation
Species Cross-Reactivity Key:
- H-Human
- M-Mouse
- R-Rat
- Mk-Monkey
Product Information
Product Usage Information
| Application | Dilution |
|---|---|
| Western Blotting | 1:1000 |
| Immunoprecipitation | 1:50 |
Storage
Protocol
Specificity / Sensitivity
Species Reactivity:
The antigen sequence used to produce this antibody shares 100% sequence homology with the species listed here, but reactivity has not been tested or confirmed to work by CST. Use of this product with these species is not covered under our Product Performance Guarantee.
Species predicted to react based on 100% sequence homology:
Source / Purification
Background
The EPS15 gene yields two isoforms that are believed to reside in distinct subcellular locations and are thus implicated in different facets of endosomal trafficking (5). Human EPS15 has been mapped to chromosome 1p31-p32, a region displaying several nonrandom chromosomal abnormalities, including deletions in neuroblastoma and translocations in acute lymphoblastic and myeloid leukemias. Research has shown two translocations t(1;11)(p32;q11) are found in rare cases of myeloid leukemia where the Eps15 gene was fused to the HRX gene, resulting in two reciprocal fusion genes (6).
- Fazioli, F. et al. (1993) Mol Cell Biol 13, 5814-28.
- Tebar, F. et al. (1996) J Biol Chem 271, 28727-30.
- Parachoniak, C.A. and Park, M. (2009) J Biol Chem 284, 8382-94.
- Torrisi, M.R. et al. (1999) Mol Biol Cell 10, 417-34.
- Roxrud, I. et al. (2008) J Cell Biol 180, 1205-18.
- Bernard, O.A. et al. (1994) Oncogene 9, 1039-45.
Alternate Names
AF-1P; AF1P; ALL1 fused gene from chromosome 1; epidermal growth factor receptor pathway substrate 15; Epidermal growth factor receptor substrate 15; EPS15; MLLT5; Protein AF-1p; Protein Eps15
Limited Uses
Except as otherwise expressly agreed in a writing signed by a legally authorized representative of CST, the following terms apply to Products provided by CST, its affiliates or its distributors. Any Customer's terms and conditions that are in addition to, or different from, those contained herein, unless separately accepted in writing by a legally authorized representative of CST, are rejected and are of no force or effect.
Products are labeled with For Research Use Only or a similar labeling statement and have not been approved, cleared, or licensed by the FDA or other regulatory foreign or domestic entity, for any purpose. Customer shall not use any Product for any diagnostic or therapeutic purpose, or otherwise in any manner that conflicts with its labeling statement. Products sold or licensed by CST are provided for Customer as the end-user and solely for research and development uses. Any use of Product for diagnostic, prophylactic or therapeutic purposes, or any purchase of Product for resale (alone or as a component) or other commercial purpose, requires a separate license from CST. Customer shall (a) not sell, license, loan, donate or otherwise transfer or make available any Product to any third party, whether alone or in combination with other materials, or use the Products to manufacture any commercial products, (b) not copy, modify, reverse engineer, decompile, disassemble or otherwise attempt to discover the underlying structure or technology of the Products, or use the Products for the purpose of developing any products or services that would compete with CST products or services, (c) not alter or remove from the Products any trademarks, trade names, logos, patent or copyright notices or markings, (d) use the Products solely in accordance with CST Product Terms of Sale and any applicable documentation, and (e) comply with any license, terms of service or similar agreement with respect to any third party products or services used by Customer in connection with the Products.