Cell Signaling Technology Logo - Extra Large

FnCpf1/Cas12a (Strain U112) Antibody #59201

Filter:
  • WB

    Product Specifications

    REACTIVITY All
    SENSITIVITY Transfected Only
    MW (kDa) 152
    SOURCE Rabbit
    Application Key:
    • WB-Western Blotting 
    Species Cross-Reactivity Key:
    • All-All Species Expected 

    Product Information

    Product Usage Information

    Application Dilution
    Western Blotting 1:1000

    Storage

    Supplied in 10 mM sodium HEPES (pH 7.5), 150 mM NaCl, 100 µg/ml BSA and 50% glycerol. Store at –20°C. Do not aliquot the antibody.

    Protocol

    Specificity / Sensitivity

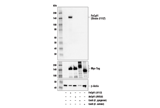
    FnCpf1/Cas12a (Strain U112) Antibody recognizes transfected levels of total FnCpf1/Cas12a (Strain U112) protein. This antibody does not cross-react with Cas9 (S. pyogenes), Cas9 (S. aureus), and AsCpf1/Cas12a (Strain BV3L6) proteins.

    Species Reactivity:

    All Species Expected

    Source / Purification

    Polyclonal antibodies are produced by immunizing animals with a synthetic peptide corresponding to residues surrounding Ala216 of Cpf1/Cas12a from Francisella tularensis subsp. novicida (Strain U112). Antibodies are purified by protein A and peptide affinity chromatography.

    Background

    CRISPR-Cas (clustered regularly interspaced short palindromic repeats and CRISPR-associated proteins) are RNA-guided nuclease effectors that are utilized for precise genome editing in mammalian systems (1). Cpf1/Cas12a (CRISPR from Prevotella and Francisella) proteins are members of the Class 2 CRISPR system (2). Class 2 CRISPR systems, such as the well characterized Cas9, rely on single-component effector proteins to mediate DNA interference (3). Cpf1/Cas12a endonucleases, compared to Cas9 systems, have several unique features that increase the utility of CRISPR-based genome editing techniques: 1) Cpf1/Cas12a-mediated cleavage relies on a single and short CRISPR RNA (crRNA) without the requirement of a trans-activating crRNA (tracrRNA), 2) Cpf1/Cas12a utilizes T-Rich protospacer-adjacent motif (PAM) sequences rather than a G-Rich PAM, and 3) Cpf1/Cas12a generates a staggered, rather than a blunt-ended, DNA double-stranded break (2). These features broaden the utility of using CRISPR-Cas systems for specific gene regulation and therapeutic applications. Several Cpf1/Cas12a bacterial orthologs have been characterized for CRISPR-mediated mammalian genome editing (2,4).~FnCpf1 (Strain U112)/Cas12a is a Cpf1/Cas12a enzyme derived from Francisella novicida U112 (5).

    Alternate Names

    CRISPR-associated endonuclease Cas12a; CRISPR-associated endonuclease Cpf1; FnCpf1; FTN_1397

    For Research Use Only. Not for Use in Diagnostic Procedures.
    Cell Signaling Technology is a trademark of Cell Signaling Technology, Inc.
    All other trademarks are the property of their respective owners. Visit our Trademark Information page.