Cell Signaling Technology Logo - Extra Large
Trial Size Available Flag

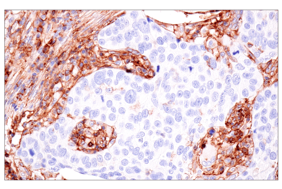
HLA-B (BC43) Mouse Monoclonal Antibody #41915

Filter:
  • IHC

    Product Specifications

    REACTIVITY H
    SENSITIVITY Endogenous
    MW (kDa)
    Source/Isotype IgG1 kappa
    Application Key:
    • IHC-Immunohistochemistry 
    Species Cross-Reactivity Key:
    • H-Human 

    Product Information

    Product Usage Information

    Application Dilution
    Immunohistochemistry (Paraffin) 1:50 - 1:200

    Storage

    Supplied in a PBS-based buffer with ~1% BSA and less than 0.1% sodium azide. Stable for 6 months when stored at 4°C. Do not aliquot the antibody.

    Note: This product is only available in the format listed above. We are unable to provide this in a carrier free, custom formulation.

    Protocol

    Specificity / Sensitivity

    HLA-B (BC43) Mouse Monoclonal Antibody recognizes endogenous levels of HLA-B protein.

    Species Reactivity:

    Human

    Source / Purification

    Monoclonal antibody is produced by immunizing animals with a synthetic peptide corresponding to specific amino acids in the N-terminal region of HLA-B protein.

    Background

    The human leukocyte antigen (HLA) system is a gene complex encoding the major histocompatibility complex (MHC) proteins in humans. These cell surface proteins are responsible for the regulation of antigen-specific immunity in humans. HLA genes are highly polymorphic, allowing them to fine-tune the adaptive immune response. HLAs corresponding to MHC class I (HLA-A, B, and C) present small peptide antigens from inside the cell, approximately 8 to 10 amino acids in length, to CD8+ T lymphocytes to activate a cytotoxic T cell response (1,2). HLA-B (major histocompatibility complex, class I, B) is a heterodimer consisting of a heavy chain and light chain (beta-2 microglobulin) and is the most polymorphic of the HLA-I genes (3). HLA-B is expressed in nearly all cells, and variations of the HLA gene have been associated with hundreds of diseases and conditions (4).

    Alternate Names

    AS; B-4901; HLA class I antigen HLA-B; HLA class I histocompatibility antigen, B alpha chain; HLA-B; HLAB; Human leukocyte antigen B; leukocyte antigen class I-B; major histocompatibility complex, class I, B; MHC class 1 antigen; MHC class I antigen HLA-B alpha chain; MHC class I antigen HLA-B heavy chain; MHC class I antigen SHCHA; MHC class I molecule; MHC HLA-B cell surface glycoprotein; MHC HLA-B transmembrane glycoprotein

    For Research Use Only. Not for Use in Diagnostic Procedures.
    Cell Signaling Technology is a trademark of Cell Signaling Technology, Inc.
    All other trademarks are the property of their respective owners. Visit our Trademark Information page.