Cell Signaling Technology Logo - Extra Large

Liprin beta1 Antibody #18409

Filter:
  • WB

    Product Specifications

    REACTIVITY H M R Mk
    SENSITIVITY Endogenous
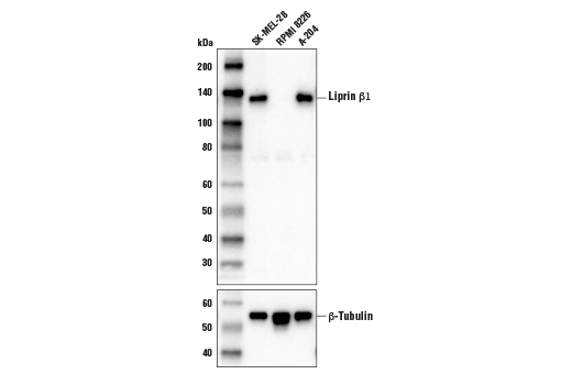
    MW (kDa) 140
    SOURCE Rabbit
    Application Key:
    • WB-Western Blotting 
    Species Cross-Reactivity Key:
    • H-Human 
    • M-Mouse 
    • R-Rat 
    • Mk-Monkey 

    Product Information

    Product Usage Information

    Application Dilution
    Western Blotting 1:1000

    Storage

    Supplied in 10 mM sodium HEPES (pH 7.5), 150 mM NaCl, 100 µg/ml BSA and 50% glycerol. Store at –20°C. Do not aliquot the antibody.

    Protocol

    Specificity / Sensitivity

    Liprin beta1 Antibody recognizes endogenous levels of total Liprin β1 protein.

    Species Reactivity:

    Human, Mouse, Rat, Monkey

    Source / Purification

    Polyclonal antibodies are produced by immunizing animals with a synthetic peptide corresponding to residues surrounding Ser510 of human Liprin β1 protein. Antibodies are purified by protein A and peptide affinity chromatography.

    Background

    Liprins are a family of proteins known to function as LAR (leukocyte common antigen-related) transmembrane protein tyrosine phosphatase-interacting proteins (1). This interaction has been studied in connection to both axon guidance and mammary gland development (1,2). Liprin β1, a member of this family, is a widely expressed, multivalent cytosolic protein. Liprin β1 has been found to homodimerize at the N terminus and to heterodimerize with Liprin α1 and the metastasis-associated protein S100A4 at the C terminus (1,2). The interaction with S100A4 is believed to both inhibit its phosphorylation and to modulate complex formation with Liprin α1, resulting in a change in LAR cell adhesion properties, thus promoting cell motility and tumor metastasis (2). Liprin β1 has also been shown to have higher expression levels and to associate with KANK proteins in melanoma and to be a potential regulator of lymphatic vessel integrity (3,4).

    Alternate Names

    hSGT2; hSgt2p; KIAA1230; L2; LIPB1; liprin beta 1; liprin related protein; liprin-beta 1; Liprin-beta-1; PPFIA binding protein 1; PPFIBP1; Protein tyrosine phosphatase receptor type f polypeptide-interacting protein-binding protein 1; protein-tyrosine phosphatase receptor-type f polypeptide-interacting protein-binding protein 1; PTPRF interacting protein, binding protein 1 (liprin beta 1); PTPRF-interacting protein-binding protein 1; SGT2

    For Research Use Only. Not for Use in Diagnostic Procedures.
    Cell Signaling Technology is a trademark of Cell Signaling Technology, Inc.
    All other trademarks are the property of their respective owners. Visit our Trademark Information page.