Cell Signaling Technology Logo - Extra Large

Methyl-NF-κB p65 (Lys310) Antibody #13188

Filter:
  • WB

Inquiry Info. # 13188

Please see our recommended alternatives.

    Product Specifications

    REACTIVITY H
    SENSITIVITY Endogenous
    MW (kDa) 65
    SOURCE Rabbit
    Application Key:
    • WB-Western Blotting 
    Species Cross-Reactivity Key:
    • H-Human 

    Product Information

    Product Usage Information

    Application Dilution
    Western Blotting 1:1000

    Storage

    Supplied in 10 mM sodium HEPES (pH 7.5), 150 mM NaCl, 100 µg/ml BSA and 50% glycerol. Store at –20°C. Do not aliquot the antibody.

    Protocol

    Specificity / Sensitivity

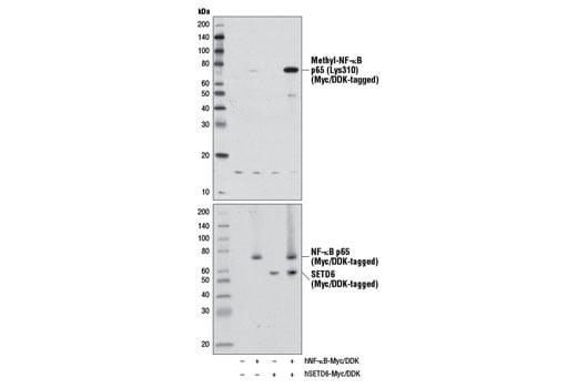
    Methyl-NF-κB p65 (Lys310) Antibody recognizes endogenous levels of NF-κB p65 protein only when methylated at Lys310.

    Species Reactivity:

    Human

    The antigen sequence used to produce this antibody shares 100% sequence homology with the species listed here, but reactivity has not been tested or confirmed to work by CST. Use of this product with these species is not covered under our Product Performance Guarantee.

    Species predicted to react based on 100% sequence homology:

    Mouse, Rat, Monkey, Bovine, Pig

    Source / Purification

    Polyclonal antibodies are produced by immunizing animals with a synthetic peptide corresponding to residues surrounding Lys310 of human NF-κB p65 protein. Antibodies are purified by protein A and peptide affinity chromatography.

    Background

    Transcription factors of the nuclear factor κB (NF-κB)/Rel family play a pivotal role in inflammatory and immune responses (1,2). There are five family members in mammals: RelA, c-Rel, RelB, NF-κB1 (p105/p50), and NF-κB2 (p100/p52). Both p105 and p100 are proteolytically processed by the proteasome to produce p50 and p52, respectively. Rel proteins bind p50 and p52 to form dimeric complexes that bind DNA and regulate transcription. In unstimulated cells, NF-κB is sequestered in the cytoplasm by IκB inhibitory proteins (3-5). NF-κB-activating agents can induce the phosphorylation of IκB proteins, targeting them for rapid degradation through the ubiquitin-proteasome pathway and releasing NF-κB to enter the nucleus where it regulates gene expression (6-8). NIK and IKKα (IKK1) regulate the phosphorylation and processing of NF-κB2 (p100) to produce p52, which translocates to the nucleus (9-11).

    Methylation of NF-κB p65 by the methyltransferase SETD6 at Lys310 results in attenuated NF-κB signaling (12).

    Alternate Names

    CMCU; MGC131774; NF-kappa-B p65delta3; NF-kappa-B transcription factor p65; NFkB-p65; NFKB3; Nuclear factor NF-kappa-B p65 subunit; Nuclear factor of kappa light polypeptide gene enhancer in B-cells 3; p65; RELA; RELA proto-oncogene, NF-kB subunit; RELA/p65; TF65; Transcription factor p65; v-rel avian reticuloendotheliosis viral oncogene homolog A; v-rel avian reticuloendotheliosis viral oncogene homolog A (nuclear factor of kappa light polypeptide gene enhancer in B-cells 3 (p65)); v-rel reticuloendotheliosis viral oncogene homolog A (avian); v-rel reticuloendotheliosis viral oncogene homolog A, nuclear factor of kappa light polypeptide gene enhancer in B-cells 3, p65

    For Research Use Only. Not for Use in Diagnostic Procedures.
    Cell Signaling Technology is a trademark of Cell Signaling Technology, Inc.
    All other trademarks are the property of their respective owners. Visit our Trademark Information page.