Cell Signaling Technology Logo - Extra Large

OTUD5 Antibody #20075

Filter:
  • WB
  • IP

Inquiry Info. # 20075

Please see our recommended alternatives.

    Product Specifications

    REACTIVITY H M R
    SENSITIVITY Endogenous
    MW (kDa) 75
    SOURCE Rabbit
    Application Key:
    • WB-Western Blotting 
    • IP-Immunoprecipitation 
    Species Cross-Reactivity Key:
    • H-Human 
    • M-Mouse 
    • R-Rat 

    Product Information

    Product Usage Information

    Application Dilution
    Western Blotting 1:1000
    Immunoprecipitation 1:100

    Storage

    Supplied in 10 mM sodium HEPES (pH 7.5), 150 mM NaCl, 100 µg/ml BSA and 50% glycerol. Store at –20°C. Do not aliquot the antibody.

    Protocol

    Specificity / Sensitivity

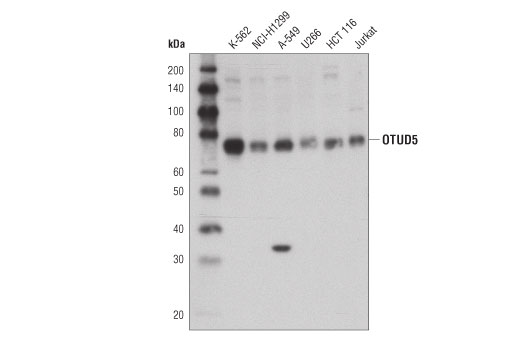
    OTUD5 Antibody recognizes endogenous levels of total OTUD5 protein.

    Species Reactivity:

    Human, Mouse, Rat

    The antigen sequence used to produce this antibody shares 100% sequence homology with the species listed here, but reactivity has not been tested or confirmed to work by CST. Use of this product with these species is not covered under our Product Performance Guarantee.

    Species predicted to react based on 100% sequence homology:

    Bovine, Dog, Pig

    Source / Purification

    Polyclonal antibodies are produced by immunizing animals with a synthetic peptide corresponding to residues near the carboxy terminus of human OTUD5 protein. Antibodies are purified by protein A and peptide affinity chromatography.

    Background

    Protein ubiquitination and deubiquitination are reversible processes catalyzed by ubiquitinating enzymes and deubiquitinating enzymes, respectively (1,2). Deubiquitinating enzymes (DUBs) are categorized into five subfamilies based on catalytic domain structure: USP, OTU, MJD, UCH, and JAMM/MPN. OTUD5, also known as DUBA, belongs to the OTU family of DUBs. Phosphorylation of OTUD5 at Ser177 is required to activate its DUB activity (3). Research studies have shown that OTUD5 plays a pivotal role in negatively regulating innate immune responses though its ability to bind and deubiquitinate K63-linked TRAF3, thereby suppressing production of IFN-I by macrophages (4). There is also evidence that OTUD5 participates in the adaptive immune response by negatively regulating the production of pro-inflammatory IL-17 by Th17 cells (5).

    Alternate Names

    deubiquinating enzyme A; Deubiquitinating enzyme A; DKFZp761A052; DUBA; MGC104871; OTU deubiquitinase 5; OTU domain containing 5; OTU domain-containing protein 5; OTUD5

    For Research Use Only. Not for Use in Diagnostic Procedures.
    Cell Signaling Technology is a trademark of Cell Signaling Technology, Inc.
    All other trademarks are the property of their respective owners. Visit our Trademark Information page.