Phospho-MST1 (Thr183)/MST2 (Thr180) Antibody #3681
- WB
Inquiry Info. # 3681
Please see our recommended alternatives.
Product Specifications
| REACTIVITY | H M GP |
| SENSITIVITY | Endogenous |
| MW (kDa) | 59 |
| SOURCE | Rabbit |
Application Key:
- WB-Western Blotting
Species Cross-Reactivity Key:
- H-Human
- M-Mouse
- GP-Guinea Pig
Product Information
Product Usage Information
| Application | Dilution |
|---|---|
| Western Blotting | 1:1000 |
Storage
Protocol
Specificity / Sensitivity
Species Reactivity:
The antigen sequence used to produce this antibody shares 100% sequence homology with the species listed here, but reactivity has not been tested or confirmed to work by CST. Use of this product with these species is not covered under our Product Performance Guarantee.
Species predicted to react based on 100% sequence homology:
Source / Purification
Background
Research studies indicate that MST1/2 are orthologous to Drosophila Hippo (Hpo), one of the core regulatory proteins in the Hippo signaling pathway. This evolutionarily conserved program controls tissue growth and organ size by regulating cell proliferation, apoptosis, and stem cell self-renewal. The mammalian Hippo signaling pathway involves a kinase cascade, where the MST1/2 kinases and the SAV1 scaffold protein form a complex that leads to phosphorylation and activation of LATS1/2. The LATS1/2 kinases phosphorylate YAP and TAZ, promoting cytoplasmic sequestration and inhibition of these transcription coactivators (5).
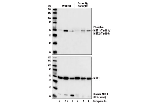
Activation of MST1 requires dimerization-mediated transphosphorylation and caspase-mediated cleavage (3). Autophosphorylation of MST1 at Thr183 (MST2 at Thr180) is critical for kinase activity (6,7).
- Dan, I. et al. (2001) Trends Cell Biol 11, 220-30.
- Creasy, C.L. et al. (1996) J Biol Chem 271, 21049-53.
- Lee, K.K. and Yonehara, S. (2002) J Biol Chem 277, 12351-8.
- Ura, S. et al. (2001) Proc Natl Acad Sci U S A 98, 10148-53.
- Zhao, B. et al. (2011) Nat Cell Biol 13, 877-83.
- Deng, Y. et al. (2003) J Biol Chem 278, 11760-7.
- Praskova, M. et al. (2004) Biochem J 381, 453-62.
Alternate Names
dJ211D12.2 (serine/threonine kinase 4 (MST1, KRS2)); DKFZp686A2068; epididymis secretory sperm binding protein; FLJ90748; hippo homolog; KB-1458E12.1; kinase responsive to stress 2; KRS1; KRS2; Mammalian STE20-like protein kinase 1; Mammalian STE20-like protein kinase 2; mammalian sterile 20-like 1; MST-1; MST-2; MST1; MST1/C; MST1/N; MST2; MST2/C; MST2/N; serine/threonine kinase 3; serine/threonine kinase 3 (STE20 homolog, yeast); serine/threonine kinase 3 (Ste20, yeast homolog); serine/threonine kinase 4; Serine/threonine-protein kinase 3; Serine/threonine-protein kinase 3 20kDa subunit; Serine/threonine-protein kinase 3 36kDa subunit; Serine/threonine-protein kinase 4; Serine/threonine-protein kinase 4 18kDa subunit; Serine/threonine-protein kinase 4 37kDa subunit; Serine/threonine-protein kinase Krs-1; Serine/threonine-protein kinase Krs-2; STE20-like kinase MST1; STE20-like kinase MST2; STK3; STK4; yeast Ste20-like; YSK3
Limited Uses
Except as otherwise expressly agreed in a writing signed by a legally authorized representative of CST, the following terms apply to Products provided by CST, its affiliates or its distributors. Any Customer's terms and conditions that are in addition to, or different from, those contained herein, unless separately accepted in writing by a legally authorized representative of CST, are rejected and are of no force or effect.
Products are labeled with For Research Use Only or a similar labeling statement and have not been approved, cleared, or licensed by the FDA or other regulatory foreign or domestic entity, for any purpose. Customer shall not use any Product for any diagnostic or therapeutic purpose, or otherwise in any manner that conflicts with its labeling statement. Products sold or licensed by CST are provided for Customer as the end-user and solely for research and development uses. Any use of Product for diagnostic, prophylactic or therapeutic purposes, or any purchase of Product for resale (alone or as a component) or other commercial purpose, requires a separate license from CST. Customer shall (a) not sell, license, loan, donate or otherwise transfer or make available any Product to any third party, whether alone or in combination with other materials, or use the Products to manufacture any commercial products, (b) not copy, modify, reverse engineer, decompile, disassemble or otherwise attempt to discover the underlying structure or technology of the Products, or use the Products for the purpose of developing any products or services that would compete with CST products or services, (c) not alter or remove from the Products any trademarks, trade names, logos, patent or copyright notices or markings, (d) use the Products solely in accordance with CST Product Terms of Sale and any applicable documentation, and (e) comply with any license, terms of service or similar agreement with respect to any third party products or services used by Customer in connection with the Products.