Cell Signaling Technology Logo - Extra Large
Trial Size Available Flag
Recombinant Flag
Recombinant: Superior lot-to-lot consistency, continuous supply, and animal-free manufacturing.

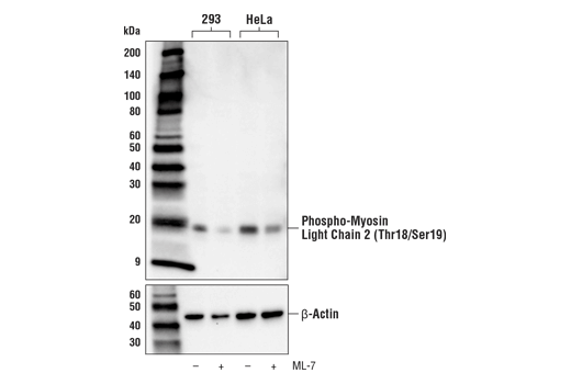
Phospho-Myosin Light Chain 2 (Thr18/Ser19) (E2J8F) Rabbit Monoclonal Antibody #95777

Filter:
  • WB
  • IF

    Product Specifications

    REACTIVITY H M R
    SENSITIVITY Endogenous
    MW (kDa) 18
    Source/Isotype Rabbit IgG
    Application Key:
    • WB-Western Blotting 
    • IF-Immunofluorescence 
    Species Cross-Reactivity Key:
    • H-Human 
    • M-Mouse 
    • R-Rat 

    Product Information

    Product Usage Information

    Application Dilution
    Western Blotting 1:1000
    Immunofluorescence (Immunocytochemistry) 1:400 - 1:800

    Storage

    Supplied in 10 mM sodium HEPES (pH 7.5), 150 mM NaCl, 100 µg/ml BSA, 50% glycerol and less than 0.02% sodium azide. Store at –20°C. Do not aliquot the antibody.

    For a carrier free (BSA and azide free) version of this product see product #72789.

    Protocol

    Specificity / Sensitivity

    Phospho-Myosin Light Chain 2 (Thr18/Ser19) (E2J8F) Rabbit Monoclonal Antibody recognizes endogenous levels of myosin light chain 2 protein only when phosphorylated at Thr18 and Ser19.

    Species Reactivity:

    Human, Mouse, Rat

    Source / Purification

    Monoclonal antibody is produced by immunizing animals with a synthetic peptide corresponding to residues surrounding Thr18/Ser19 of human myosin light chain 2 protein.

    Background

    Myosin is composed of six polypeptide chains: two identical heavy chains and two pairs of light chains. Myosin light chain 2 (MLC2), also known as myosin regulatory light chain (MRLC), RLC, or LC20, has many isoforms depending on its distribution. In smooth muscle, MLC2 is phosphorylated at Thr18 and Ser19 by myosin light chain kinase (MLCK) in a Ca2+/calmodulin-dependent manner (1). This phosphorylation is correlated with myosin ATPase activity and smooth muscle contraction (2). ROCK also phosphorylates Ser19 of smooth muscle MLC2, which regulates the assembly of stress fibers (3). Phosphorylation of smooth muscle MLC2 at Ser1/Ser2 and Ser9 by PKC and cdc2 has been reported to inhibit myosin ATPase activity (4,5). Phosphorylation by cdc2 controls the timing of cytokinesis (5). Transgenic mice lacking phosphorylation sites on the cardiac muscle isoform show morphological and functional abnormalities (6).

    Alternate Names

    20 kDa myosin light chain; epididymis secretory sperm binding protein; LC20; MGC3505; MLC-2C; MLC2; MRLC1; MYL9; myosin light chain 9; myosin regulatory light chain 1; Myosin regulatory light chain 2, smooth muscle isoform; Myosin regulatory light chain 9; Myosin regulatory light chain MRLC1; Myosin regulatory light polypeptide 9; Myosin RLC; myosin, light chain 9, regulatory; myosin, light polypeptide 9, regulatory; MYRL2

    For Research Use Only. Not for Use in Diagnostic Procedures.
    Cell Signaling Technology is a trademark of Cell Signaling Technology, Inc.
    All other trademarks are the property of their respective owners. Visit our Trademark Information page.