Cell Signaling Technology Logo - Extra Large

Phospho-SGK (Ser78) Antibody #3271

Filter:
  • WB

Inquiry Info. # 3271

Please see our recommended alternatives.

    Product Specifications

    REACTIVITY H
    SENSITIVITY Transfected Only
    MW (kDa) 54 (Transfected only)
    SOURCE Rabbit
    Application Key:
    • WB-Western Blotting 
    Species Cross-Reactivity Key:
    • H-Human 

    Product Information

    Product Usage Information

    Application Dilution
    Western Blotting 1:1000

    Storage

    Supplied in 10 mM sodium HEPES (pH 7.5), 150 mM NaCl, 100 µg/ml BSA and 50% glycerol. Store at –20°C. Do not aliquot the antibody.

    Protocol

    Specificity / Sensitivity

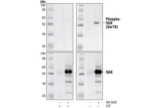
    Phospho-SGK (Ser78) Antibody detects transfected levels of SGK1 only when phosphorylated at serine 78. This antibody will not detect isoforms SGK2 or SGK3.

    Species Reactivity:

    Human

    The antigen sequence used to produce this antibody shares 100% sequence homology with the species listed here, but reactivity has not been tested or confirmed to work by CST. Use of this product with these species is not covered under our Product Performance Guarantee.

    Species predicted to react based on 100% sequence homology:

    Mouse, Rat

    Source / Purification

    Polyclonal antibodies are produced by immunizing animals with a synthetic phosphopeptide corresponding to residues surrounding Ser78 of human SGK. Antibodies are purified by protein A and peptide affinity chromatography.

    Background

    Serum and glucocorticoid-inducible kinase (SGK) is a serine/threonine kinase closely related to Akt (1). SGK is rapidly induced in response to a variety of stimuli, including serum, glucocorticoid, follicle stimulating hormone, osmotic shock, and mineralocorticoids. SGK activation can be accomplished via HGF PI3K-dependent pathways and by integrin-mediated PI3K-independent pathways (2,3). Induction and activation of SGK has been implicated in activating the modulation of anti-apoptotic and cell cycle regulation (4-6). SGK also plays an important role in activating certain potassium, sodium, and chloride channels, suggesting its involvement in the regulation of processes such as cell survival, neuronal excitability, and renal sodium excretion (2). SGK is negatively regulated by ubiquitination and proteasome degradation (7).
    The MAP kinase family member BMK1 interacts with and activates SGK by phosphorylation at serine 78 (6).

    Alternate Names

    serine/threonine protein kinase SGK; Serine/threonine-protein kinase Sgk1; serum/glucocorticoid regulated kinase 1; Serum/glucocorticoid-regulated kinase 1; SGK; SGK1; Sgk1 variant i3

    For Research Use Only. Not for Use in Diagnostic Procedures.
    Cell Signaling Technology is a trademark of Cell Signaling Technology, Inc.
    All other trademarks are the property of their respective owners. Visit our Trademark Information page.