Cell Signaling Technology Logo - Extra Large

RanGAP1 Antibody #14675

Filter:
  • WB
  • IP

Inquiry Info. # 14675

Please see our recommended alternatives.

    Product Specifications

    REACTIVITY H M R Mk
    SENSITIVITY Endogenous
    MW (kDa) 68, 82
    SOURCE Rabbit
    Application Key:
    • WB-Western Blotting 
    • IP-Immunoprecipitation 
    Species Cross-Reactivity Key:
    • H-Human 
    • M-Mouse 
    • R-Rat 
    • Mk-Monkey 

    Product Information

    Product Usage Information

    Application Dilution
    Western Blotting 1:1000
    Immunoprecipitation 1:50

    Storage

    Supplied in 10 mM sodium HEPES (pH 7.5), 150 mM NaCl, 100 µg/ml BSA and 50% glycerol. Store at –20°C. Do not aliquot the antibody.

    Protocol

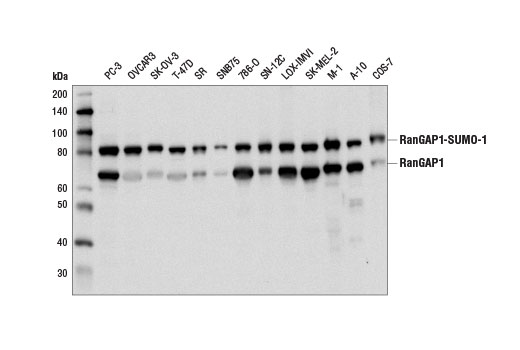
    Specificity / Sensitivity

    RanGAP1 Antibody recognizes endogenous levels of total RanGAP1 protein. This antibody detects unmodified and SUMO-1 modified RanGAP1 protein.

    Species Reactivity:

    Human, Mouse, Rat, Monkey

    The antigen sequence used to produce this antibody shares 100% sequence homology with the species listed here, but reactivity has not been tested or confirmed to work by CST. Use of this product with these species is not covered under our Product Performance Guarantee.

    Species predicted to react based on 100% sequence homology:

    Bovine, Dog, Horse

    Source / Purification

    Polyclonal antibodies are produced by immunizing animals with a synthetic peptide corresponding to residues near the amino terminus of human RanGAP1 protein. Antibodies are purified by protein A and peptide affinity chromatography.

    Background

    Ran GTPase activating protein 1 (RanGAP1) regulates GTP hydrolysis by Ran, which is required for the ability of Ran to regulate nucleocytoplasmic shuttling (1). A significant fraction of cellular RanGAP1 is covalently modified by SUMO-1, which is required for relocalization of RanGAP1from the cytoplasm to the nuclear pore complex and the mitotic spindle (2-5). Research studies demonstrate that RanGAP1 sumoylation is required for stable association of RanGAP1 with RanBP2. Together with the SUMO-conjugating enzyme UBC9/UBE2I, RanGAP1 and RanBP2 are part of a SUMO E3 ligase complex that is implicated in regulating nucleocytoplasmic protein trafficking (6-8). Phosphorylation of RanGAP1 occurs in a cell-cycle-dependent manner and may play a role in regulating RanGAP1 catalytic activity (9,10).

    Alternate Names

    Fug1; KIAA1835; MGC20266; RAGP1; Ran GTPase activating protein 1; Ran GTPase-activating protein 1; RANGAP; RANGAP1; SD; segregation distorter homolog; segregation distortion

    For Research Use Only. Not for Use in Diagnostic Procedures.
    Cell Signaling Technology is a trademark of Cell Signaling Technology, Inc.
    All other trademarks are the property of their respective owners. Visit our Trademark Information page.