S100A1 Antibody #5066
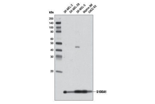
- WB
Product Specifications
| REACTIVITY | H |
| SENSITIVITY | Endogenous |
| MW (kDa) | 12 |
| SOURCE | Rabbit |
Application Key:
- WB-Western Blotting
Species Cross-Reactivity Key:
- H-Human
Product Information
Product Usage Information
| Application | Dilution |
|---|---|
| Western Blotting | 1:1000 |
Storage
Protocol
Specificity / Sensitivity
Species Reactivity:
Source / Purification
Background
Each S100 monomer bears two EF-hand motifs and can bind up to two molecules of calcium (or other divalent cations in some instances). Structural evidence shows that S100 proteins form antiparallel homo- or heterodimers that coordinate binding partner proximity in a calcium-dependent (and sometimes calcium-independent) manner. Although structurally and functionally similar, individual members show restricted tissue distribution, are localized in specific cellular compartments, and display unique protein binding partners, which suggests that each plays a specific role in various signaling pathways. In addition to an intracellular role, some S100 proteins have been shown to act as receptors for extracellular ligands or are secreted and exhibit cytokine-like activities (1-4).
S100A1 is abundantly expressed in cardiac and skeletal muscle where it plays a major role in regulating calcium-dependent contractility (5,6). S100A1 and calmodulin bind and differentially regulate ryanodine receptors (RyRs), thereby modulating skeletal and cardiac muscle function (7). In addition to RyRs (RyR1 and RyR2), S100A1 has also been shown to interact with other components of the calcium-dependent cardiac signaling cascade including SERCA2a and phospholamban (8). Studies in animal models strongly suggest that S100A1 plays a significant role in the development of heart failure (1). In non-cardiac tissues, S100A1 has been shown to regulate cytoskeletal signaling, neurotransmitter release, enzymatic activity, transcription factors, and other calcium-binding proteins via direct interaction or via regulation of scaffolding and signaling components in each pathway (4).
- Heizmann, C.W. et al. (2002) Front Biosci 7, d1356-68.
- Donato, R. (2003) Microsc Res Tech 60, 540-51.
- Marenholz, I. et al. (2004) Biochem Biophys Res Commun 322, 1111-22.
- Santamaria-Kisiel, L. et al. (2006) Biochem J 396, 201-14.
- Ritterhoff, J. and Most, P. (2012) Gene Ther , .
- Völkers, M. et al. (2010) J Biomed Biotechnol 2010, 178614.
- Prosser, B.L. et al. (2011) Cell Calcium 50, 323-31.
- Wright, N.T. et al. (2009) Curr Chem Biol 3, 138-145.
Alternate Names
Protein S100-A1; S-100 protein alpha chain; S-100 protein subunit alpha; S100; S100 alpha; S100 calcium binding protein A1; S100 calcium-binding protein A1; S100 protein; S100 protein, alpha polypeptide; S100-alpha; S100A; S100A1; S10A1
Limited Uses
Except as otherwise expressly agreed in a writing signed by a legally authorized representative of CST, the following terms apply to Products provided by CST, its affiliates or its distributors. Any Customer's terms and conditions that are in addition to, or different from, those contained herein, unless separately accepted in writing by a legally authorized representative of CST, are rejected and are of no force or effect.
Products are labeled with For Research Use Only or a similar labeling statement and have not been approved, cleared, or licensed by the FDA or other regulatory foreign or domestic entity, for any purpose. Customer shall not use any Product for any diagnostic or therapeutic purpose, or otherwise in any manner that conflicts with its labeling statement. Products sold or licensed by CST are provided for Customer as the end-user and solely for research and development uses. Any use of Product for diagnostic, prophylactic or therapeutic purposes, or any purchase of Product for resale (alone or as a component) or other commercial purpose, requires a separate license from CST. Customer shall (a) not sell, license, loan, donate or otherwise transfer or make available any Product to any third party, whether alone or in combination with other materials, or use the Products to manufacture any commercial products, (b) not copy, modify, reverse engineer, decompile, disassemble or otherwise attempt to discover the underlying structure or technology of the Products, or use the Products for the purpose of developing any products or services that would compete with CST products or services, (c) not alter or remove from the Products any trademarks, trade names, logos, patent or copyright notices or markings, (d) use the Products solely in accordance with CST Product Terms of Sale and any applicable documentation, and (e) comply with any license, terms of service or similar agreement with respect to any third party products or services used by Customer in connection with the Products.