S100A7 Antibody #36006
- WB
Product Specifications
| REACTIVITY | H |
| SENSITIVITY | Endogenous |
| MW (kDa) | 11 |
| SOURCE | Rabbit |
Application Key:
- WB-Western Blotting
Species Cross-Reactivity Key:
- H-Human
Product Information
Product Usage Information
| Application | Dilution |
|---|---|
| Western Blotting | 1:1000 |
Storage
Protocol
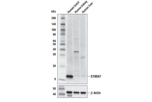
Specificity / Sensitivity
Species Reactivity:
Source / Purification
Background
Each S100 monomer bears two EF-hand motifs and can bind up to two molecules of calcium (or other divalent cations in some instances). Structural evidence shows that S100 proteins form antiparallel homo- or heterodimers that coordinate binding partner proximity in a calcium-dependent (and sometimes calcium-independent) manner. Although structurally and functionally similar, individual members show restricted tissue distribution, are localized in specific cellular compartments, and display unique protein binding partners, which suggests that each plays a specific role in various signaling pathways. In addition to an intracellular role, some S100 proteins have been shown to act as receptors for extracellular ligands or are secreted and exhibit cytokine-like activities (1-4).
S100A7, a member of the S100 family, lacks a calcium binding site in the N-terminal EF-hand domain. It is also known as Psoriasin, due to its involvement of hyperproliferative disorders of the skin (5). Several members of the S100 family have been reported to play a role in tumor progression, angiogenesis, and metastasis (6). S100A7 expression has been shown to be increased in several different types of cancer including lung, breast, skin, head and neck, stomach, ovary, and others (7-10). Overexpression correlates with poor prognosis, and in some tumors promotes metastasis (11,12). The pro-tumorigenic properties of S100 proteins, including S100A7 may make them attractive candidates for therapeutic intervention (13).
- Heizmann, C.W. et al. (2002) Front Biosci 7, d1356-68.
- Donato, R. (2003) Microsc Res Tech 60, 540-51.
- Marenholz, I. et al. (2004) Biochem Biophys Res Commun 322, 1111-22.
- Santamaria-Kisiel, L. et al. (2006) Biochem J 396, 201-14.
- Ekman, A.K. et al. (2017) Acta Derm Venereol 97, 441-8.
- Chen, H. et al. (2014) Am J Cancer Res 4, 89-115.
- Zhang, H. et al. (2007) Lung Cancer 57, 37-45.
- Al-Haddad, S. et al. (1999) Am J Pathol 155, 2057-66.
- Tripathi, S.C. et al. (2010) PLoS One 5, e11939.
- Wang, C. et al. (2019) Pathol Res Pract 215, 127-36.
- Mayama, A. et al. (2018) Cancer Sci 109, 3350-9.
- Lin, M. et al. (2018) DNA Cell Biol 37, 491-500.
- Padilla, L. et al. (2017) Oncogene 36, 6749-61.
Alternate Names
Protein S100-A7; PSOR1; Psoriasin; psoriasin 1; S100 calcium binding protein A7; S100 calcium-binding protein A7; S100 calcium-binding protein A7 (psoriasin 1); S100A7; S100A7C; S10A7
Limited Uses
Except as otherwise expressly agreed in a writing signed by a legally authorized representative of CST, the following terms apply to Products provided by CST, its affiliates or its distributors. Any Customer's terms and conditions that are in addition to, or different from, those contained herein, unless separately accepted in writing by a legally authorized representative of CST, are rejected and are of no force or effect.
Products are labeled with For Research Use Only or a similar labeling statement and have not been approved, cleared, or licensed by the FDA or other regulatory foreign or domestic entity, for any purpose. Customer shall not use any Product for any diagnostic or therapeutic purpose, or otherwise in any manner that conflicts with its labeling statement. Products sold or licensed by CST are provided for Customer as the end-user and solely for research and development uses. Any use of Product for diagnostic, prophylactic or therapeutic purposes, or any purchase of Product for resale (alone or as a component) or other commercial purpose, requires a separate license from CST. Customer shall (a) not sell, license, loan, donate or otherwise transfer or make available any Product to any third party, whether alone or in combination with other materials, or use the Products to manufacture any commercial products, (b) not copy, modify, reverse engineer, decompile, disassemble or otherwise attempt to discover the underlying structure or technology of the Products, or use the Products for the purpose of developing any products or services that would compete with CST products or services, (c) not alter or remove from the Products any trademarks, trade names, logos, patent or copyright notices or markings, (d) use the Products solely in accordance with CST Product Terms of Sale and any applicable documentation, and (e) comply with any license, terms of service or similar agreement with respect to any third party products or services used by Customer in connection with the Products.