Cell Signaling Technology Logo - Extra Large
Trial Size Available Flag
Recombinant Flag
Recombinant: Superior lot-to-lot consistency, continuous supply, and animal-free manufacturing.

Skp1 (D3J4N) Rabbit Monoclonal Antibody #12248

Filter:
  • WB
  • IP

    Product Specifications

    REACTIVITY H M R Mk
    SENSITIVITY Endogenous
    MW (kDa) 19
    Source/Isotype Rabbit IgG
    Application Key:
    • WB-Western Blotting 
    • IP-Immunoprecipitation 
    Species Cross-Reactivity Key:
    • H-Human 
    • M-Mouse 
    • R-Rat 
    • Mk-Monkey 

    Product Information

    Product Usage Information

    Application Dilution
    Western Blotting 1:1000
    Immunoprecipitation 1:100

    Storage

    Supplied in 10 mM sodium HEPES (pH 7.5), 150 mM NaCl, 100 µg/ml BSA, 50% glycerol and less than 0.02% sodium azide. Store at –20°C. Do not aliquot the antibody.

    Protocol

    Specificity / Sensitivity

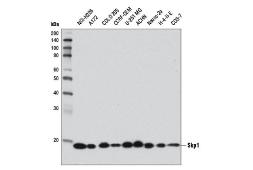
    Skp1 (D3J4N) Rabbit Monoclonal Antibody recognizes endogenous levels of total Skp1 protein.

    Species Reactivity:

    Human, Mouse, Rat, Monkey

    The antigen sequence used to produce this antibody shares 100% sequence homology with the species listed here, but reactivity has not been tested or confirmed to work by CST. Use of this product with these species is not covered under our Product Performance Guarantee.

    Species predicted to react based on 100% sequence homology:

    Zebrafish, Rabbit

    Source / Purification

    Monoclonal antibody is produced by immunizing animals with a synthetic peptide corresponding to residues near the carboxy terminus of human Skp1 protein.

    Background

    Ubiquitin can be covalently linked to many cellular proteins by the ubiquitination process, which targets proteins for degradation by the 26S proteasome. Three components are involved in the target protein-ubiquitin conjugation process. Ubiquitin is first activated by forming a thiolester complex with the activation component E1; the activated ubiquitin is subsequently transferred to the ubiquitin-carrier protein E2 and then from E2 to ubiquitin ligase E3 for final delivery to the epsilon-NH2 of the target protein lysine residue (1-3). Combinatorial interactions of different E2 and E3 proteins result in substrate specificity (4). Recent data suggests that activated E2 associates transiently with E3, and the dissociation is a critical step for ubiquitination (5). S phase kinase-associated protein 1 (Skp1) is a critical scaffold protein of the Skp1/CUL1/F-box (SCF) E3 ubiquitin ligase protein complex. Various F-box proteins (e.g., β-TrCP, Skp2) mediate an interaction with Skp1, via their defining and conserved domain of 40 amino acids, and with substrates to be ubiquitinated (e.g., β-catenin, p27) (4).

    Alternate Names

    cyclin A/CDK2-associated p19; cyclin A/CDK2-associated protein p19; Cyclin-A/CDK2-associated protein p19; EMC19; MGC34403; OCP-2; OCP-II; OCP2; Organ of Corti protein 2; Organ of Corti protein II; p19A; p19skp1; RNA polymerase II elongation factor-like protein; RNA polymerase II elongation factor-like protein OCP2; S-phase kinase associated protein 1; S-phase kinase-associated protein 1; SIII; SKP1; SKP1A; TCEB1L; Transcription elongation factor B; transcription elongation factor B (SIII), polypeptide 1-like; Transcription elongation factor B polypeptide 1-like

    For Research Use Only. Not for Use in Diagnostic Procedures.
    Cell Signaling Technology is a trademark of Cell Signaling Technology, Inc.
    All other trademarks are the property of their respective owners. Visit our Trademark Information page.