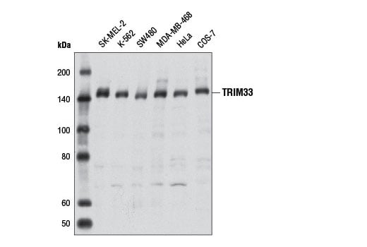
TRIM33 Antibody #8972
- WB
- IP
Inquiry Info. # 8972
Please see our recommended alternatives.
Product Specifications
| REACTIVITY | H Mk |
| SENSITIVITY | Endogenous |
| MW (kDa) | 150 |
| SOURCE | Rabbit |
Application Key:
- WB-Western Blotting
- IP-Immunoprecipitation
Species Cross-Reactivity Key:
- H-Human
- Mk-Monkey
Product Information
Product Usage Information
| Application | Dilution |
|---|---|
| Western Blotting | 1:1000 |
| Immunoprecipitation | 1:100 |
Storage
Protocol
Specificity / Sensitivity
Species Reactivity:
The antigen sequence used to produce this antibody shares 100% sequence homology with the species listed here, but reactivity has not been tested or confirmed to work by CST. Use of this product with these species is not covered under our Product Performance Guarantee.
Species predicted to react based on 100% sequence homology:
Source / Purification
Background
In contrast, the ubiquitous nuclear protein TRIM33 does not interact with either HP1 family members or chromatin-remodeling/modifying complexes. Rather, TRIM33 plays a pivotal role in signaling cascades driven by the TGF-β superfamily of ligands (7-9). A research study suggests that TRIM33 and Smad4 compete for binding to receptor phosphorylated Smad2/3 and that TRIM33-Smad2/3 and Smad4-Smad2/3 complexes complement one another in the TGF-β-dependent control of hematopoietic cell fate (9). Other studies, however, demonstrate that TRIM33 functions to repress signal relay by the TGF-β superfamily (7-8,10). Indeed, knockout of murine Trim33 results in embryonic lethality due to upregulated Nodal signaling (10). Mechanistically, TRIM33 functions as an E3-ubiquitin ligase and promotes monoubiquitination of Smad4, a modification that impairs its ability to associate with phospho-Smad2 (8). This negative regulatory mechanism is further substantiated by the discovery that TRIM33 disrupts transcriptionally competent Smad complexes on the promoter/enhancer regions of TGF-β-responsive genes by associating with specific epigenetic marks on histone H3, which is a requirement for activating TRIM33's monoubiquitin ligase activity toward Smad4 (11). In line with the ability of TRIM33 to regulate the development of different blood cell lineages, it was shown that loss of TRIM33 expression due to epigenetic silencing of its promoter contributes to the pathogenesis of chronic myelomonocytic leukemia (12).
- Meroni, G. and Diez-Roux, G. (2005) Bioessays 27, 1147-57.
- Jain, A.K. and Barton, M.C. (2009) Cell Cycle 8, 3668-74.
- Underhill, C. et al. (2000) J Biol Chem 275, 40463-70.
- Schultz, D.C. et al. (2001) Genes Dev 15, 428-43.
- Groner, A.C. et al. (2010) PLoS Genet 6, e1000869.
- Khetchoumian, K. et al. (2004) J Biol Chem 279, 48329-41.
- Dupont, S. et al. (2005) Cell 121, 87-99.
- Dupont, S. et al. (2009) Cell 136, 123-35.
- He, W. et al. (2006) Cell 125, 929-41.
- Morsut, L. et al. (2010) Development 137, 2571-8.
- Agricola, E. et al. (2011) Mol Cell 43, 85-96.
- Aucagne, R. et al. (2011) J Clin Invest 121, 2361-70.
Alternate Names
E3 ubiquitin-protein ligase TRIM33; ECTO; Ectodermin homolog; FLJ32925; KIAA1113; Protein Rfg7; PTC7; RET-fused gene 7 protein; RFG7; RING-type E3 ubiquitin transferase TRIM33; TF1G; TIF1-gamma; TIF1G; TIF1GAMMA; TIFGAMMA; Transcription intermediary factor 1-gamma; transcriptional intermediary factor 1 gamma; TRI33; TRIM33; tripartite motif containing 33; tripartite motif-containing 33; Tripartite motif-containing protein 33
Limited Uses
Except as otherwise expressly agreed in a writing signed by a legally authorized representative of CST, the following terms apply to Products provided by CST, its affiliates or its distributors. Any Customer's terms and conditions that are in addition to, or different from, those contained herein, unless separately accepted in writing by a legally authorized representative of CST, are rejected and are of no force or effect.
Products are labeled with For Research Use Only or a similar labeling statement and have not been approved, cleared, or licensed by the FDA or other regulatory foreign or domestic entity, for any purpose. Customer shall not use any Product for any diagnostic or therapeutic purpose, or otherwise in any manner that conflicts with its labeling statement. Products sold or licensed by CST are provided for Customer as the end-user and solely for research and development uses. Any use of Product for diagnostic, prophylactic or therapeutic purposes, or any purchase of Product for resale (alone or as a component) or other commercial purpose, requires a separate license from CST. Customer shall (a) not sell, license, loan, donate or otherwise transfer or make available any Product to any third party, whether alone or in combination with other materials, or use the Products to manufacture any commercial products, (b) not copy, modify, reverse engineer, decompile, disassemble or otherwise attempt to discover the underlying structure or technology of the Products, or use the Products for the purpose of developing any products or services that would compete with CST products or services, (c) not alter or remove from the Products any trademarks, trade names, logos, patent or copyright notices or markings, (d) use the Products solely in accordance with CST Product Terms of Sale and any applicable documentation, and (e) comply with any license, terms of service or similar agreement with respect to any third party products or services used by Customer in connection with the Products.