Cell Signaling Technology Logo - Extra Large

SignalSilence® PLCγ 1 siRNA II #6254

Inquiry Info. # 6254

Please see our recommended alternatives.

    Product Specifications

    REACTIVITY H
    Species Cross-Reactivity Key:
    • H-Human 

    Product Information

    Product Usage Information

    CST recommends transfection with 100 nM SignalSilence® PLCγ 1 siRNA II 48 to 72 hours prior to cell lysis. For transfection procedure, follow protocol provided by the transfection reagent manufacturer. Please feel free to contact CST with any questions on use.

    Each vial contains the equivalent of 100 transfections, which corresponds to a final siRNA concentration of 100 nM per transfection in a 24-well plate with a total volume of 300 μl per well.

    Storage

    SignalSilence® siRNA is supplied in RNAse-free water. Aliquot and store at -20ºC.

    Product Description

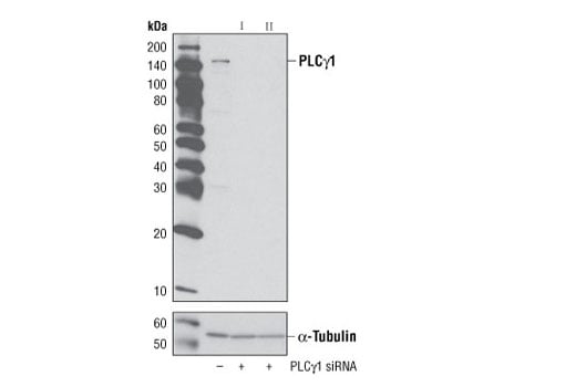
    SignalSilence® PLCγ1 siRNA II from Cell Signaling Technology (CST) allows the researcher to specifically inhibit PLCγ1 expression using RNA interference, a method whereby gene expression can be selectively silenced through the delivery of double stranded RNA molecules into the cell. All SignalSilence® siRNA products from CST are rigorously tested in-house and have been shown to reduce target protein expression by western analysis.

    Quality Control

    Oligonucleotide synthesis is monitored base by base through trityl analysis to ensure appropriate coupling efficiency. The oligo is subsequently purified by affinity-solid phase extraction. The annealed RNA duplex is further analyzed by mass spectrometry to verify the exact composition of the duplex. Each lot is compared to the previous lot by mass spectrometry to ensure maximum lot-to-lot consistency.

    Background

    Phosphoinositide-specific phospholipase C (PLC) plays a significant role in transmembrane signaling. In response to extracellular stimuli, such as hormones, growth factors, and neurotransmitters, PLC hydrolyzes phosphatidylinositol 4,5-bisphosphate (PIP2) to generate two secondary messengers: inositol 1,4,5-triphosphate (IP3) and diacylglycerol (DAG) (1). At least four families of PLCs have been identified: PLCβ, PLCγ, PLCδ, and PLCε. Phosphorylation is one of the key mechanisms that regulate the activity of PLC. PLCγ is activated by both receptor and non-receptor tyrosine kinases (2). PLCγ forms a complex with EGF and PDGF receptors, which leads to the phosphorylation of PLCγ at Tyr771, 783, and 1248 (3). Phosphorylation by Syk at Tyr783 activates the enzymatic activity of PLCγ1 (4). PLCγ2 is engaged in antigen-dependent signaling in B cells and collagen-dependent signaling in platelets. Phosphorylation by Btk or Lck at Tyr753, 759, 1197, and 1217 is correlated with PLCγ2 activity (5,6).

    Alternate Names

    plc-γ1

    For Research Use Only. Not for Use in Diagnostic Procedures.
    Cell Signaling Technology is a trademark of Cell Signaling Technology, Inc.
    SignalSilence is a registered trademark of Cell Signaling Technology, Inc.
    All other trademarks are the property of their respective owners. Visit our Trademark Information page.