Cell Signaling Technology Logo - Extra Large
Recombinant Flag
Recombinant: Superior lot-to-lot consistency, continuous supply, and animal-free manufacturing.

Phospho-Stat3 (Tyr705) (D3A7) Rabbit Monoclonal Antibody (Sepharose® Bead Conjugate) #4074

Filter:
  • IP

    Product Specifications

    REACTIVITY H M R Mk
    SENSITIVITY Endogenous
    MW (kDa) 79, 86
    Source/Isotype Rabbit IgG
    Application Key:
    • IP-Immunoprecipitation 
    Species Cross-Reactivity Key:
    • H-Human 
    • M-Mouse 
    • R-Rat 
    • Mk-Monkey 

    Product Information

    Product Description

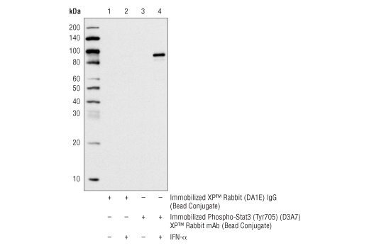
    This Cell Signaling Technology antibody is immobilized via covalent binding of primary amino groups to N-hydroxysuccinimide (NHS)-activated Sepharose® beads. Phospho-Stat3 (Tyr705) (D3A7) XP® Rabbit mAb (Sepharose® Bead Conjugate) is useful for the immunoprecipitation of phospho-Stat3 (Tyr705). This antibody was tested using human cell lysates and is expected to exhibit the same species cross-reactivity as the unconjugated antibody (Phospho-Stat3 (Tyr705) (D3A7) XP® Rabbit mAb #9145).
    MW (kDa) 79, 86

    Product Usage Information

    Application Dilution
    Immunoprecipitation 1:20

    Storage

    Supplied in 10 mM sodium HEPES (pH 7.5), 150 mM NaCl, 100 µg/ml BSA, 50% glycerol. Store at –20°C. Do not aliquot the antibodies.

    Protocol

    Specificity / Sensitivity

    Phospho-Stat3 (Tyr705) (D3A7) Rabbit Monoclonal Antibody (Sepharose® Bead Conjugate) detects endogenous levels of Stat3 only when phosphorylated at Tyr705. This antibody conjugate does not cross-react with phospho-EGFR or the corresponding phospho-tyrosines of other Stat proteins.

    Species Reactivity:

    Human, Mouse, Rat, Monkey

    The antigen sequence used to produce this antibody shares 100% sequence homology with the species listed here, but reactivity has not been tested or confirmed to work by CST. Use of this product with these species is not covered under our Product Performance Guarantee.

    Species predicted to react based on 100% sequence homology:

    Hamster, Bovine, Pig, Horse

    Source / Purification

    Monoclonal antibody is produced by immunizing animals with a synthetic phosphopeptide corresponding to residues surrounding Tyr705 of mouse Stat3 protein.

    Background

    The Stat3 transcription factor is an important signaling molecule for many cytokines and growth factor receptors (1) and is required for murine fetal development (2). Research studies have shown that Stat3 is constitutively activated in a number of human tumors (3,4) and possesses oncogenic potential (5) and anti-apoptotic activities (3). Stat3 is activated by phosphorylation at Tyr705, which induces dimerization, nuclear translocation, and DNA binding (6,7). Transcriptional activation seems to be regulated by phosphorylation at Ser727 through the MAPK or mTOR pathways (8,9). Stat3 isoform expression appears to reflect biological function as the relative expression levels of Stat3α (86 kDa) and Stat3β (79 kDa) depend on cell type, ligand exposure, or cell maturation stage (10). It is notable that Stat3β lacks the serine phosphorylation site within the carboxy-terminal transcriptional activation domain (8).

    Alternate Names

    Acute-phase response factor; ADMIO; ADMIO1; APRF; DNA-binding protein APRF; FLJ20882; HIES; MGC16063; Signal transducer and activator of transcription 3; signal transducer and activator of transcription 3 (acute-phase response factor); STAT3

    For Research Use Only. Not for Use in Diagnostic Procedures.
    Cell Signaling Technology is a trademark of Cell Signaling Technology, Inc.
    All other trademarks are the property of their respective owners. Visit our Trademark Information page.