SignalFire™ Plus ECL Reagent #12630
Product Information
Product Usage Information
Each SignalFire™ Plus ECL Reagent (A and B) is a 2X concentrate; there is no need to further dilute in water when the two reagents are combined.
1. Wash membrane-bound HRP (antibody conjugate) at least three times for 5 minutes in TBS/T: (20 mM Tris-HCl (pH 7.6),137 mM NaCl and 0.1% Tween-20). It is very important to thoroughly wash the membrane prior to substrate incubation.
2. Prepare 1X SignalFire™ Plus ECL Reagent by diluting one part 2X Reagent A and one part 2X Reagent B (e.g. for 10 ml, add 5 ml Reagent A and 5 ml Reagent B). Mix well.
3. Incubate substrate with membrane for 1 minute, remove excess solution (membrane remains wet), wrap in plastic and expose to X-ray film.
*Avoid repeated exposure to skin (see enclosed Material Safety Data Sheet or refer to our website for further information).
Storage
Product Description
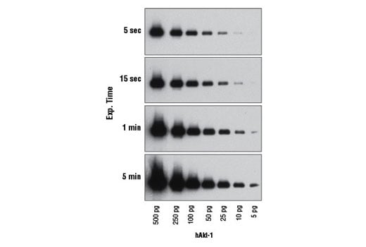
SignalFire™ Plus ECL Reagent requires approximately five-fold less Anti-rabbit IgG, HRP-linked Antibody #7074 or Anti-mouse IgG, HRP-linked Antibody #7076 than traditional ECL reagents. Limiting the amount of HRP exposed to the membrane prevents high background, oversaturation of the target protein signal, or false negative results. Other HRP-conjugated antibodies, including HRP-conjugated primary and anti-biotin-HRP antibodies, should be diluted similarly. Dilution of secondary antibody from alternative vendors may need to be optimized. Titration of lysate and primary antibody concentration is recommended to achieve optimal signal-to-noise ratio.
Light emission is maximal immediately after exposure of the substrate to HRP and continues for up to 24 hours.
Background
Alternate Names
Chemiluminescence; Duration; ECL; HRP; Lumino; Plus; Signal Fire; Substrate
Limited Uses
Except as otherwise expressly agreed in a writing signed by a legally authorized representative of CST, the following terms apply to Products provided by CST, its affiliates or its distributors. Any Customer's terms and conditions that are in addition to, or different from, those contained herein, unless separately accepted in writing by a legally authorized representative of CST, are rejected and are of no force or effect.
Products are labeled with For Research Use Only or a similar labeling statement and have not been approved, cleared, or licensed by the FDA or other regulatory foreign or domestic entity, for any purpose. Customer shall not use any Product for any diagnostic or therapeutic purpose, or otherwise in any manner that conflicts with its labeling statement. Products sold or licensed by CST are provided for Customer as the end-user and solely for research and development uses. Any use of Product for diagnostic, prophylactic or therapeutic purposes, or any purchase of Product for resale (alone or as a component) or other commercial purpose, requires a separate license from CST. Customer shall (a) not sell, license, loan, donate or otherwise transfer or make available any Product to any third party, whether alone or in combination with other materials, or use the Products to manufacture any commercial products, (b) not copy, modify, reverse engineer, decompile, disassemble or otherwise attempt to discover the underlying structure or technology of the Products, or use the Products for the purpose of developing any products or services that would compete with CST products or services, (c) not alter or remove from the Products any trademarks, trade names, logos, patent or copyright notices or markings, (d) use the Products solely in accordance with CST Product Terms of Sale and any applicable documentation, and (e) comply with any license, terms of service or similar agreement with respect to any third party products or services used by Customer in connection with the Products.