Render Target: STATIC
Render Timestamp:
5/29/2026, 6:34:53 AM EDT
5/29/2026, 10:34:53 AM UTC
Commit: 7ed46ecc04b401f23a28df741b5078df405d23e4
XML generation date: 2025-10-29 17:30:19.698
Product last modified at: 2025-12-21T22:57:40.005Z
Cell Signaling Technology Logo - Extra Large
1% for the planet logo
PDP - Template Name: Chemical Modulators
PDP - Template ID: *******c501c72

Vatalanib #12998

Inquiry Info. # 12998

Please see our recommended alternatives.

    Product Information

    Product Usage Information

    Vatalanib is supplied as a lyophilized powder. For a 10 mM stock, reconstitute the 5 mg in 1.19 ml DMSO. Working concentrations and length of treatment can vary depending on the desired effect, but it is typically used as a pretreatment at 0.5-50 μM for 0.5-2 hr prior to treating with a stimulator. It can also be used alone, with varying treatment times lasting up to 72 hr.

    Storage

    Store lyophilized or in solution at -20ºC, desiccated. Protect from light. In lyophilized form, the chemical is stable for 24 months. Once in solution, use within 3 months to prevent loss of potency. Aliquot to avoid multiple freeze/thaw cycles.

    Product Description

    Molecular Weight 419.73 g/mol
    Purity >99%
    Molecular Formula C20H15ClN4•2HCl
    CAS 212141-51-0
    Solubility Soluble in DMSO at 20mg/ml and H2O at 100mg/ml.

    Background

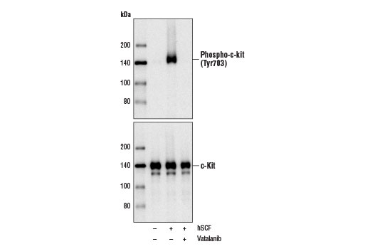
    Vatalanib is a multi-targeted tyrosine kinase inhibitor. Researchers performing in vitro kinase assays show that vatalanib inhibits VEGFR-1, -2, and -3 with IC50 values of approximately 77 nM, 37 nM, and 640 nM, respectively. Vatalanib also inhibited PDGFR and c-kit at sub micromolar concentrations, but had no activity against several other kinases, including c-Met, EGFR, c-Src, and v-Abl up to 10 μM (1). Vatalanib inhibits VEGF-induced autophosphorylation in HUVE and VEGFR-2 transfected CHO cells with an IC50 of 17 nM and 34 nM, respectively, and effectively blocks VEGF-stimulated HUVE cell proliferation (1). Research studies have demonstrated that vatalanib inhibits proliferation of multiple myeloma (MM) cells in a dose-dependant manner and blocks VEGF-induced ERK phosphorylation and cell migration in MM.1S cells (2). Dose-dependent apoptosis in chronic lymphocytic leukemia (CLL) cells by vatalanib and pazopanib has been observed (3).

    Alternate Names

    c kit; c-kit; CGP-79787; multiple myeloma cells; PDGFR; PTK-787; PTK787; SCF; vatalanib; VEGFR; ZK222584

    For Research Use Only. Not for Use in Diagnostic Procedures.
    Cell Signaling Technology is a trademark of Cell Signaling Technology, Inc.
    All other trademarks are the property of their respective owners. Visit our Trademark Information page.