Render Target: STATIC
Render Timestamp:
5/21/2026, 6:17:35 AM EDT
5/21/2026, 10:17:35 AM UTC
Commit: 7ed46ecc04b401f23a28df741b5078df405d23e4
XML generation date: 2026-01-09 03:35:16.509
Product last modified at: 2026-03-20T08:02:11.321Z
Cell Signaling Technology Logo - Extra Large
1% for the planet logo
PDP - Template Name: Monoclonal Antibody (Alexa Fluor Conjugate)
PDP - Template ID: *******c8ce56b
Trial Size Available Flag
Recombinant Flag
Recombinant: Superior lot-to-lot consistency, continuous supply, and animal-free manufacturing.

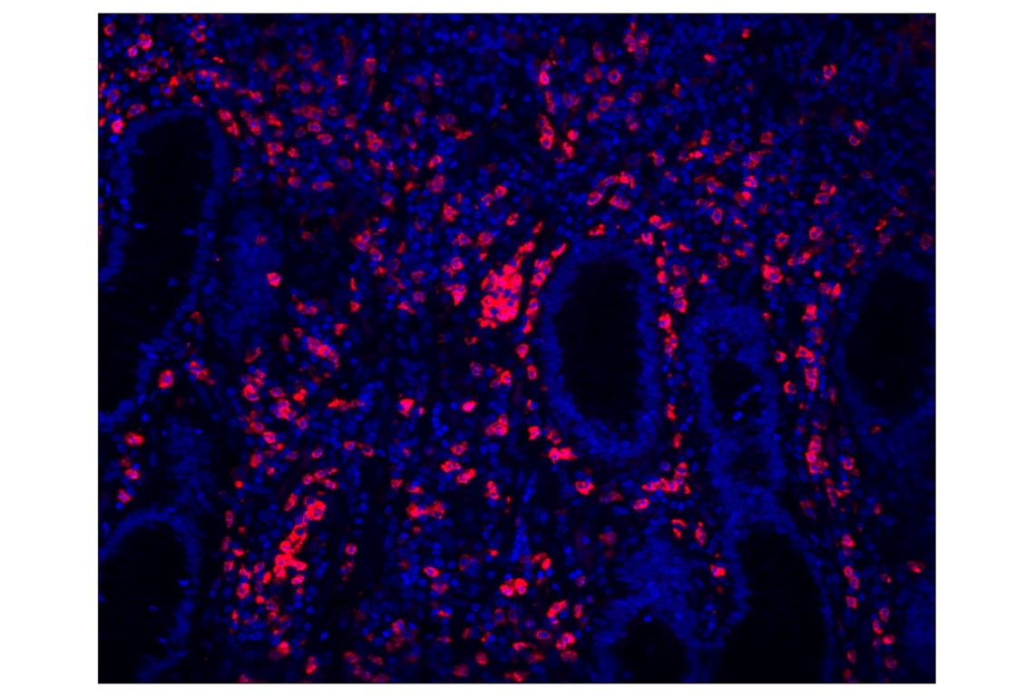
CD11b/ITGAM (D6X1N) Rabbit Monoclonal Antibody (Alexa Fluor® 647 Conjugate) #79750

Filter:
  • IHC

    Product Specifications

    REACTIVITY H Mk
    SENSITIVITY Endogenous
    MW (kDa)
    Source/Isotype Rabbit IgG
    Application Key:
    • IHC-Immunohistochemistry 
    Species Cross-Reactivity Key:
    • H-Human 
    • Mk-Monkey 

    Product Information

    Product Description

    This Cell Signaling Technology® antibody is conjugated to Alexa Fluor® 647 fluorescent dye under optimal conditions. This antibody conjugate is expected to exhibit the same species cross-reactivity as the unconjugated CD11b/ITGAM (D6X1N) Rabbit mAb #49420.

    Product Usage Information

    Application Dilution
    Immunohistochemistry (Paraffin) 1:100 - 1:400

    Storage

    Supplied in PBS (pH 7.2), less than 0.1% sodium azide, and 2 mg/mL BSA. Store at 4°C. Do not aliquot the antibody. Protect from light. Do not freeze.

    Protocol

    Specificity / Sensitivity

    CD11b/ITGAM (D6X1N) Rabbit Monoclonal Antibody (Alexa Fluor® 647 Conjugate) recognizes endogenous levels of total CD11b/ITGAM protein. Monkey cross-reactivity is determined by immunohistochemistry.

    Species Reactivity:

    Human, Monkey

    Source / Purification

    Monoclonal antibody is produced by immunizing animals with recombinant protein specific to the amino terminus of human CD11b/ITGAM protein

    Background

    Cluster of differentiation molecule 11b (CD11b)/Integrin alpha M (ITGAM) is a transmembrane protein forming heterodimers that are composed of α and β subunits (1). CD11b is expressed by, and commonly used as a marker for, myeloid lineage cells, including neutrophils, monocytes, macrophages, and microglia (2). CD11b is phosphorylated at Ser1126 (cytoplasmic tail) in neutrophils. Research has shown that this phosphorylation event plays a role for leukocytes traveling from the bloodstream to tissues (3). Furthermore, genome-wide association studies have linked CD11b to autoimmune diseases, such as systemic lupus erythematosus (SLE) (4).

    Alternate Names

    antigen CD11b (p170); CD11 antigen-like family member B; CD11B; Cell surface glycoprotein MAC-1 subunit alpha; complement component 3 receptor 3 subunit; CR-3 alpha chain; CR3A; Integrin alpha-M; integrin subunit alpha M; integrin, alpha M (complement component 3 receptor 3 subunit); ITAM; ITGAM; Leukocyte adhesion receptor MO1; MAC-1; MAC1A; macrophage antigen alpha polypeptide; MGC117044; MO1A; Neutrophil adherence receptor; neutrophil adherence receptor alpha-M subunit; SLEB6

    For Research Use Only. Not for Use in Diagnostic Procedures.
    Cell Signaling Technology is a trademark of Cell Signaling Technology, Inc.
    Alexa Fluor is a registered trademark of Life Technologies Corporation.
    This product is provided under an intellectual property license from Life Technologies Corporation. The transfer of this product is conditioned on the buyer using the purchased product solely in research conducted by the buyer, excluding contract research or any fee for service research, and the buyer must not (1) use this product or its components for (a) diagnostic, therapeutic or prophylactic purposes; (b) testing, analysis or screening services, or information in return for compensation on a per-test basis; or (c) manufacturing or quality assurance or quality control, and/or (2) sell or transfer this product or its components for resale, whether or not resold for use in research. For information on purchasing a license to this product for purposes other than as described above, contact Life Technologies Corporation, 5791 Van Allen Way, Carlsbad, CA 92008 USA or [email protected].
    All other trademarks are the property of their respective owners. Visit our Trademark Information page.