Cell Signaling Technology Logo - Extra Large
Recombinant Flag
Recombinant: Superior lot-to-lot consistency, continuous supply, and animal-free manufacturing.

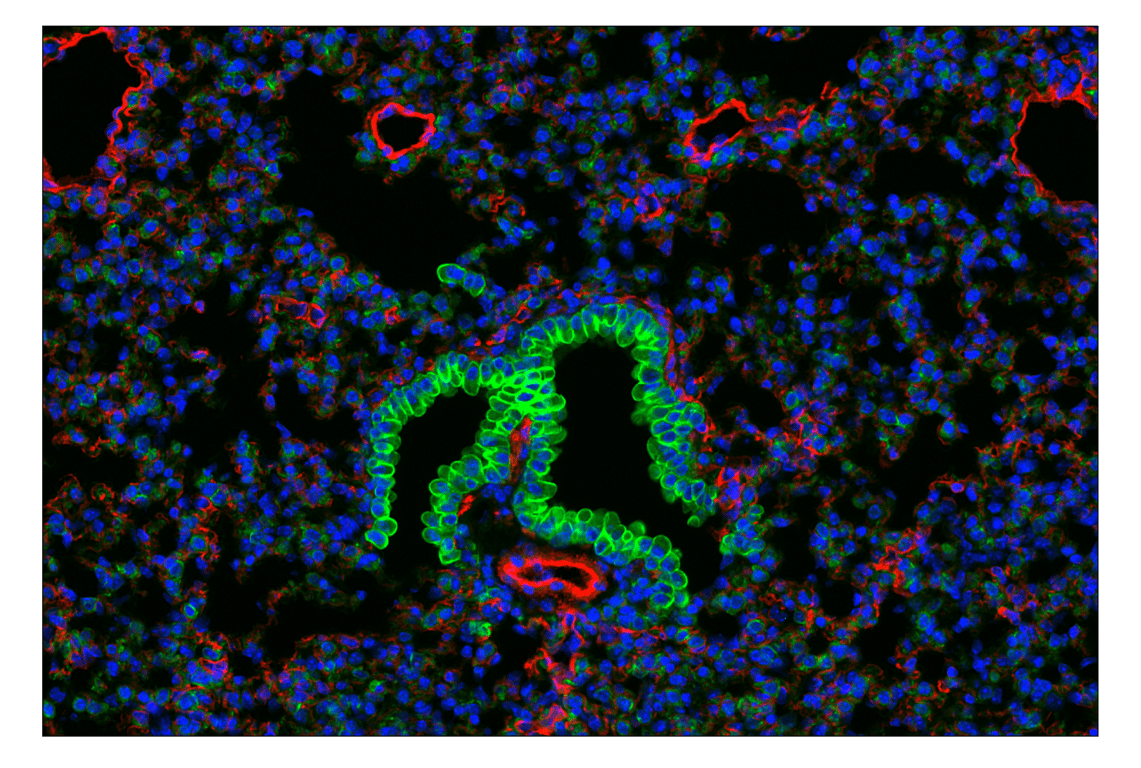
CD39/NTPDase 1 (E2X6B) Rabbit Monoclonal Antibody (Alexa Fluor® 555 Conjugate) #29631

Filter:
  • IHC

    Product Specifications

    REACTIVITY M
    SENSITIVITY Endogenous
    MW (kDa)
    Source/Isotype Rabbit IgG
    Application Key:
    • IHC-Immunohistochemistry 
    Species Cross-Reactivity Key:
    • M-Mouse 

    Product Information

    Product Description

    This Cell Signaling Technology® antibody is conjugated to Alexa Fluor® 555 fluorescent dye under optimal conditions. This antibody conjugate is expected to exhibit the same species cross-reactivity as the unconjugated CD39/NTPDase 1 (E2X6B) Rabbit Monoclonal Antibody #14481.

    Fluorescent Properties

    • ← Excitation: 555 nm ← Emission: 565 nm

    Product Usage Information

    Application Dilution
    Immunohistochemistry (Paraffin) 1:100

    Storage

    Supplied in PBS (pH 7.2), less than 0.1% sodium azide, and 2 mg/mL BSA. Store at 4°C. Do not aliquot the antibody. Protect from light. Do not freeze.

    Protocol

    Specificity / Sensitivity

    CD39/NTPDase 1 (E2X6B) Rabbit Monoclonal Antibody (Alexa Fluor® 555 Conjugate) recognizes endogenous levels of total NTPDase 1 protein.

    Species Reactivity:

    Mouse

    Source / Purification

    Monoclonal antibody is produced by immunizing animals with a synthetic peptide corresponding to residues surrounding Lys307 of mouse NTPDase 1 protein.

    Background

    Ectonucleoside triphosphate diphosphohydrolase 1 (NTPDase 1, also known as CD39) is a multi-pass membrane ectoenzyme that metabolizes adenosine-5'-triphosphate (ATP) to regulate purinergic signaling. Purinergic signaling by extracellular ATP and its metabolites regulate many biological processes, including vascular tone, digestion, neuronal function, and inflammation in both normal and diseased states (1). NTPDase 1 is expressed in endothelial cells in the vasculature to regulate local platelet purinergic signaling via metabolism of ATP to adenosine (2). Accordingly, NTPDase 1 regulates platelet activation aggregation and contributes to the antithrombotic properties of endothelial cells (3). ATP and its metabolites also finely modulate the activity of T cells and macrophages (4,5). Immunomodulation is regulated, in part, by the availability of extracellular ATP and adenosine, suggesting that NTPDase 1 (CD39) may play an immunosuppressive role in the tumor microenvironment.

    Alternate Names

    2610206B08Rik; AA408691; Cd39; CD39 antigen; E130009M23Rik; Ecto-apyrase; Ecto-ATP diphosphohydrolase 1; Ecto-ATPase 1; Ecto-ATPDase 1; ectoa; ectoapyrase; Ectonucleoside triphosphate diphosphohydrolase 1; ENTP1; Entpd1; Lymphoid cell activation antigen; NTPDa; NTPDase 1; NTPDase-1

    For Research Use Only. Not for Use in Diagnostic Procedures.
    Cell Signaling Technology is a trademark of Cell Signaling Technology, Inc.
    Alexa Fluor is a registered trademark of Life Technologies Corporation.
    This product is provided under an intellectual property license from Life Technologies Corporation. The transfer of this product is conditioned on the buyer using the purchased product solely in research conducted by the buyer, excluding contract research or any fee for service research, and the buyer must not (1) use this product or its components for (a) diagnostic, therapeutic or prophylactic purposes; (b) testing, analysis or screening services, or information in return for compensation on a per-test basis; or (c) manufacturing or quality assurance or quality control, and/or (2) sell or transfer this product or its components for resale, whether or not resold for use in research. For information on purchasing a license to this product for purposes other than as described above, contact Life Technologies Corporation, 5791 Van Allen Way, Carlsbad, CA 92008 USA or [email protected].
    All other trademarks are the property of their respective owners. Visit our Trademark Information page.