Render Target: STATIC
Render Timestamp:
5/25/2026, 7:20:10 AM EDT
5/25/2026, 11:20:10 AM UTC
Commit: 7ed46ecc04b401f23a28df741b5078df405d23e4
XML generation date: 2026-04-23 13:32:44.946
Product last modified at: 2026-04-17T08:00:10.858Z
Cell Signaling Technology Logo - Extra Large
1% for the planet logo
PDP - Template Name: Monoclonal Antibody
PDP - Template ID: *******c5e4b77
Recombinant Flag
Recombinant: Superior lot-to-lot consistency, continuous supply, and animal-free manufacturing.

MDM2 (D1V2Z) Rabbit Monoclonal Antibody (Biotinylated) #76794

Filter:
  • WB
  • ELISA+

    Product Specifications

    REACTIVITY H
    SENSITIVITY Endogenous
    MW (kDa) 90
    Source/Isotype Rabbit IgG
    Application Key:
    • WB-Western Blotting 
    • ELISA+-ELISA and/or ELISA-like Assays 
    Species Cross-Reactivity Key:
    • H-Human 

    Product Information

    Product Description

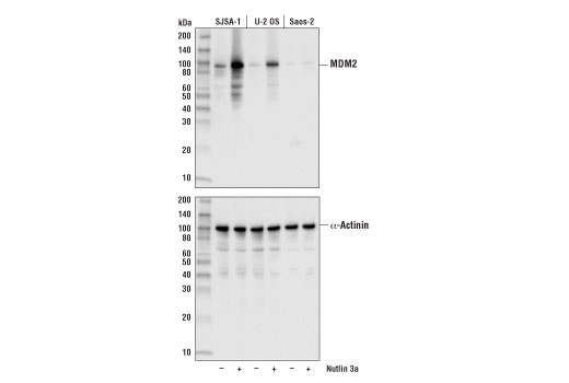
    This Cell Signaling Technology® antibody is the biotinylated version of the unconjugated MDM2 (D1V2Z) Rabbit Monoclonal Antibody #86934 and is expected to exhibit the same species cross-reactivity. The concentration of the biotinylated antibody is 500 ug/ml. Peptide ELISA data were generated using the biotinylated antibody. Western blot data were generated using the unconjugated antibody.
    MW (kDa) 90

    Product Usage Information

    Biotinylated antibodies are ideal for immunoassay technologies and high-throughput ELISA platforms that require antibody pairs where both antibodies are from the same host. Platforms utilizing biotinylated antibodies include, but are not limited to, MSD, xMAP, Quanterix Simoa, AlphaLISA, AlphaScreen, HTRF, LANCE, and TR-FRET.

    Optimal dilutions/working concentrations should be determined by the end user. Please contact us if you require the antibody clone biotinylated at a different concentration, a carrier-free formulation, or a more customized packaging solution.

    Storage

    Supplied in 140 mM NaCl, 3 mM KCl, 10 mM sodium phosphate (pH 7.4) dibasic, 2 mM potassium phosphate monobasic, 2 mg/mL BSA, and 50% glycerol. Store at –20°C. Do not aliquot the antibody.

    Protocol

    Specificity / Sensitivity

    MDM2 (D1V2Z) Rabbit Monoclonal Antibody (Biotinylated) recognizes endogenous levels of total MDM2 protein. Based on the sequence of the peptide antigen, this antibody is expected to detect full-length MDM2, as well as isoforms A, C, alpha, F, G, and 11. This antibody may detect isoform A1.

    Species Reactivity:

    Human

    Source / Purification

    Monoclonal antibody is produced by immunizing animals with a synthetic peptide corresponding to residues surrounding Val280 of human MDM2 protein.

    Background

    MDM2, a ubiquitin ligase for p53, plays a central role in regulation of the stability of p53 (1). Akt-mediated phosphorylation of MDM2 at Ser166 and Ser186 increases its interaction with p300, allowing MDM2-mediated ubiquitination and degradation of p53 (2-4). Phosphorylation of MDM2 also blocks its binding to p19ARF, increasing the degradation of p53 (3).

    Alternate Names

    ACTFS; Double minute 2 protein; double minute 2, human homolog of; E3 ubiquitin-protein ligase Mdm2; Hdm2; HDMX; LSKB; MDM2; MDM2 oncogene, E3 ubiquitin protein ligase; Mdm2 p53 binding protein homolog (mouse); MDM2 proto-oncogene; MDM2 proto-oncogene, E3 ubiquitin protein ligase; Mdm2, p53 E3 ubiquitin protein ligase homolog; Mdm2, transformed 3T3 cell double minute 2, p53 binding protein; MGC5370; MGC71221; Oncoprotein Mdm2; p53-binding protein; p53-binding protein Mdm2; RING-type E3 ubiquitin transferase Mdm2; ubiquitin-protein ligase E3 Mdm2

    For Research Use Only. Not for Use in Diagnostic Procedures.
    Cell Signaling Technology is a trademark of Cell Signaling Technology, Inc.
    All other trademarks are the property of their respective owners. Visit our Trademark Information page.