Render Target: STATIC
Render Timestamp:
5/21/2026, 5:48:55 AM EDT
5/21/2026, 9:48:55 AM UTC
Commit: 7ed46ecc04b401f23a28df741b5078df405d23e4
XML generation date: 2026-02-24 08:16:57.436
Product last modified at: 2026-03-20T08:04:17.669Z
Cell Signaling Technology Logo - Extra Large
1% for the planet logo
PDP - Template Name: Monoclonal Antibody
PDP - Template ID: *******c5e4b77
Recombinant Flag
Recombinant: Superior lot-to-lot consistency, continuous supply, and animal-free manufacturing.

Phospho-4E-BP1 (Thr37/46) (236B4) Rabbit Monoclonal Antibody (Biotinylated) #3929

Filter:
  • WB
  • ELISA+

    Product Specifications

    REACTIVITY H M R Mk Dm
    SENSITIVITY Endogenous
    MW (kDa) 15 to 20
    Source/Isotype Rabbit IgG
    Application Key:
    • WB-Western Blotting 
    • ELISA+-ELISA and/or ELISA-like Assays 
    Species Cross-Reactivity Key:
    • H-Human 
    • M-Mouse 
    • R-Rat 
    • Mk-Monkey 
    • Dm-D. melanogaster 

    Product Information

    Product Description

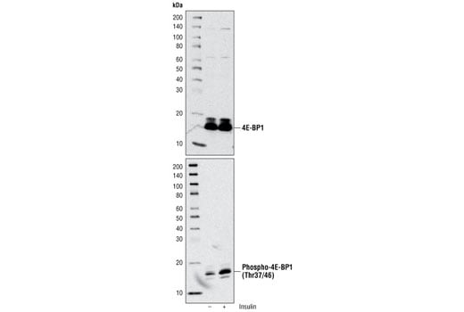
    This Cell Signaling Technology® antibody is the biotinylated version of the unconjugated Phospho-4E-BP1 (Thr37/46) (236B4) Rabbit Monoclonal Antibody #2855 and is expected to exhibit the same species cross-reactivity. The concentration of the biotinylated antibody is 500 ug/ml. Peptide ELISA data were generated using the biotinylated antibody. Western blot data were generated using the unconjugated antibody.
    MW (kDa) 15 to 20

    Product Usage Information

    Biotinylated antibodies are ideal for immunoassay technologies and high throughput ELISA platforms that require antibody pairs where both antibodies are from the same host. Platforms utilizing biotinylated antibodies include, but are not limited to, MSD, xMAP, Quanterix Simoa, AlphaLISA, AlphaScreen, HTRF, LANCE, and TR-FRET.

    Optimal dilutions/working concentrations should be determined by the end user. Please contact us if you require the antibody clone biotinylated at a different concentration, a carrier-free formulation, or a more customized packaging solution.

    Storage

    Supplied in 140 mM NaCl, 3 mM KCl, 10 mM sodium phosphate (pH 7.4) dibasic, 2 mM potassium phosphate monobasic, 2 mg/mL BSA, and 50% glycerol. Store at –20°C. Do not aliquot the antibody.

    Protocol

    Specificity / Sensitivity

    Phospho-4E-BP1 (Thr37/46) (236B4) Rabbit Monoclonal Antibody (Biotinylated) detects endogenous levels of 4E-BP1 only when phosphorylated at Thr37 and/or Thr46. This antibody may cross-react with 4E-BP2 and 4E-BP3 when phosphorylated at analagous sites.

    Species Reactivity:

    Human, Mouse, Rat, Monkey, D. melanogaster

    Source / Purification

    Monoclonal antibody is produced by immunizing animals with a synthetic phosphopeptide corresponding to residues surrounding Thr37 and Thr46 of mouse 4E-BP1.

    Background

    Translation repressor protein 4E-BP1 (also known as PHAS-1) inhibits cap-dependent translation by binding to the translation initiation factor eIF4E. Hyperphosphorylation of 4E-BP1 disrupts this interaction and results in activation of cap-dependent translation (1). Both the PI3 kinase/Akt pathway and FRAP/mTOR kinase regulate 4E-BP1 activity (2,3). Multiple 4E-BP1 residues are phosphorylated in vivo (4). While phosphorylation by FRAP/mTOR at Thr37 and Thr46 does not prevent the binding of 4E-BP1 to eIF4E, it is thought to prime 4E-BP1 for subsequent phosphorylation at Ser65 and Thr70 (5).

    Alternate Names

    4E-BP1; 4EBP1; BP-1; eIF4E-binding protein 1; EIF4EBP1; eukaryotic translation initiation factor 4E binding protein 1; Eukaryotic translation initiation factor 4E-binding protein 1; MGC4316; PHAS-I; Phosphorylated heat- and acid-stable protein regulated by insulin 1

    For Research Use Only. Not for Use in Diagnostic Procedures.
    Cell Signaling Technology is a trademark of Cell Signaling Technology, Inc.
    All other trademarks are the property of their respective owners. Visit our Trademark Information page.