Cell Signaling Technology Logo - Extra Large
Recombinant Flag
Recombinant: Superior lot-to-lot consistency, continuous supply, and animal-free manufacturing.

Phospho-AMPK alpha (Thr172) (40H9) Rabbit Monoclonal Antibody (Biotinylated) #5256

Filter:
  • WB
  • ELISA+

    Product Specifications

    REACTIVITY H M R Hm Mk Dm Sc
    SENSITIVITY Endogenous
    MW (kDa) 62
    Source/Isotype Rabbit IgG
    Application Key:
    • WB-Western Blotting 
    • ELISA+-ELISA and/or ELISA-like Assays 
    Species Cross-Reactivity Key:
    • H-Human 
    • M-Mouse 
    • R-Rat 
    • Hm-Hamster 
    • Mk-Monkey 
    • Dm-D. melanogaster 
    • Sc-S. cerevisiae 

    Product Information

    Product Description

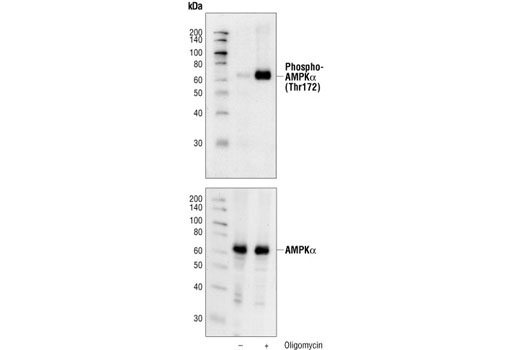
    This Cell Signaling Technology® antibody is the biotinylated version of the unconjugated Phospho-AMPKα (Thr172) (40H9) Rabbit mAb #2535 and is expected to exhibit the same species cross-reactivity. The concentration of the biotinylated antibody is 500 ug/ml. Peptide ELISA data were generated using the biotinylated antibody. Western blot data were generated using the unconjugated antibody.
    MW (kDa) 62

    Product Usage Information

    Biotinylated antibodies are ideal for immunoassay technologies and high-throughput ELISA platforms that require antibody pairs where both antibodies are from the same host. Platforms utilizing biotinylated antibodies include, but are not limited to, MSD, xMAP, Quanterix Simoa, AlphaLISA, AlphaScreen, HTRF, LANCE, and TR-FRET.

    Optimal dilutions/working concentrations should be determined by the end user. Please contact us if you require the antibody clone biotinylated at a different concentration, a carrier-free formulation, or a more customized packaging solution.

    Storage

    Supplied in 140 mM NaCl, 3 mM KCl, 10 mM sodium phosphate (pH 7.4) dibasic, 2 mM potassium phosphate monobasic, 2 mg/mL BSA, and 50% glycerol. Store at –20°C. Do not aliquot the antibody.

    Protocol

    Specificity / Sensitivity

    Phospho-AMPK alpha (Thr172) (40H9) Rabbit Monoclonal Antibody (Biotinylated) detects endogenous AMPKα only when phosphorylated at Thr172. This antibody detects both α1 and α2 isoforms of the catalytic subunit, but does not detect the regulatory β or γ subunits.

    Species Reactivity:

    Human, Mouse, Rat, Hamster, Monkey, D. melanogaster, S. cerevisiae

    The antigen sequence used to produce this antibody shares 100% sequence homology with the species listed here, but reactivity has not been tested or confirmed to work by CST. Use of this product with these species is not covered under our Product Performance Guarantee.

    Species predicted to react based on 100% sequence homology:

    Chicken, Zebrafish, Bovine, Pig

    Source / Purification

    Monoclonal antibody is produced by immunizing animals with a synthetic peptide corresponding to residues surrounding Thr172 of human AMPKα protein.

    Background

    AMP-activated protein kinase (AMPK) is highly conserved from yeast to plants and animals and plays a key role in the regulation of energy homeostasis (1). AMPK is a heterotrimeric complex composed of a catalytic α subunit and regulatory β and γ subunits, each of which is encoded by two or three distinct genes (α1, 2; β1, 2; γ1, 2, 3) (2). The kinase is activated by an elevated AMP/ATP ratio due to cellular and environmental stress, such as heat shock, hypoxia, and ischemia (1). The tumor suppressor LKB1, in association with accessory proteins STRAD and MO25, phosphorylates AMPKα at Thr172 in the activation loop, and this phosphorylation is required for AMPK activation (3-5). AMPKα is also phosphorylated at Thr258 and Ser485 (for α1; Ser491 for α2). The upstream kinase and the biological significance of these phosphorylation events have yet to be elucidated (6). The β1 subunit is post-translationally modified by myristoylation and multi-site phosphorylation including Ser24/25, Ser96, Ser101, Ser108, and Ser182 (6,7). Phosphorylation at Ser108 of the β1 subunit seems to be required for AMPK activation, while phosphorylation at Ser24/25 and Ser182 affects AMPK localization (7). Several mutations in AMPKγ subunits have been identified, most of which are located in the putative AMP/ATP binding sites (CBS or Bateman domains). Mutations at these sites lead to reduction of AMPK activity and cause glycogen accumulation in heart or skeletal muscle (1,2). Accumulating evidence indicates that AMPK not only regulates the metabolism of fatty acids and glycogen, but also modulates protein synthesis and cell growth through EF2 and TSC2/mTOR pathways, as well as blood flow via eNOS/nNOS (1).

    Alternate Names

    5'-AMP-activated protein kinase catalytic subunit alpha-1; 5'-AMP-activated protein kinase catalytic subunit alpha-2; 5'-AMP-activated protein kinase, catalytic alpha-1 chain; 5'-AMP-activated protein kinase, catalytic alpha-2 chain; AAPK1; AAPK2; ACACA kinase; Acetyl-CoA carboxylase kinase; AMP -activate kinase alpha 1 subunit; AMP-activated protein kinase; AMP-activated protein kinase alpha-2 subunit variant 2; AMP-activated protein kinase alpha-2 subunit variant 3; AMP-activated protein kinase, catalytic, alpha-1; AMPK; AMPK alpha 1; AMPK alpha 2; AMPK subunit alpha-1; AMPK subunit alpha-2; AMPK-alpha-2 chain; AMPK1; AMPK2; AMPKa1; AMPKA2; HMGCR kinase; Hydroxymethylglutaryl-CoA reductase kinase; MGC33776; MGC57364; PRKAA; PRKAA1; PRKAA2; protein kinase AMP-activated catalytic subunit alpha 1; protein kinase AMP-activated catalytic subunit alpha 2; protein kinase, AMP-activated, alpha 1 catalytic subunit; protein kinase, AMP-activated, alpha 2 catalytic subunit; Tau-protein kinase PRKAA1

    For Research Use Only. Not for Use in Diagnostic Procedures.
    Cell Signaling Technology is a trademark of Cell Signaling Technology, Inc.
    All other trademarks are the property of their respective owners. Visit our Trademark Information page.