Render Target: STATIC
Render Timestamp:
5/28/2026, 6:11:23 AM EDT
5/28/2026, 10:11:23 AM UTC
Commit: 7ed46ecc04b401f23a28df741b5078df405d23e4
XML generation date: 2026-03-18 14:29:31.138
Product last modified at: 2026-03-20T08:06:30.127Z
Cell Signaling Technology Logo - Extra Large
1% for the planet logo
PDP - Template Name: Monoclonal Antibody
PDP - Template ID: *******c5e4b77
Recombinant Flag
Recombinant: Superior lot-to-lot consistency, continuous supply, and animal-free manufacturing.

Phospho-IGF-I Receptor beta (Tyr1135/1136)/Insulin Receptor beta (Tyr1150/1151) (19H7) Rabbit Monoclonal Antibody (Biotinylated) #2969

Filter:
  • WB
  • ELISA+

    Product Specifications

    REACTIVITY H M R
    SENSITIVITY Endogenous
    MW (kDa) 95
    Source/Isotype Rabbit IgG
    Application Key:
    • WB-Western Blotting 
    • ELISA+-ELISA and/or ELISA-like Assays 
    Species Cross-Reactivity Key:
    • H-Human 
    • M-Mouse 
    • R-Rat 

    Product Information

    Product Description

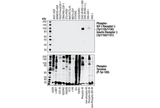
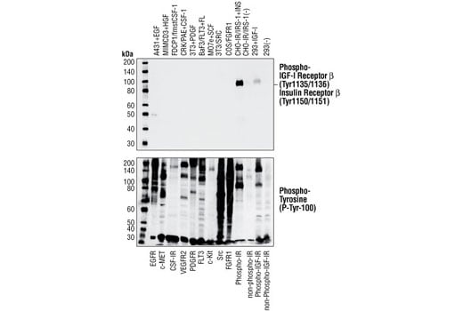
    This Cell Signaling Technology® antibody is the biotinylated version of the unconjugated Phospho-IGF-I Receptor beta (Tyr1135/1136)/Insulin Receptor beta (Tyr1150/1151) (19H7) Rabbit Monoclonal Antibody #3024 and is expected to exhibit the same species cross-reactivity. The concentration of the biotinylated antibody is 500 ug/ml. Peptide ELISA data were generated using the biotinylated antibody. Western blot data were generated using the unconjugated antibody.
    MW (kDa) 95

    Product Usage Information

    Biotinylated antibodies are ideal for immunoassay technologies and high-throughput ELISA platforms that require antibody pairs where both antibodies are from the same host. Platforms utilizing biotinylated antibodies include, but are not limited to, MSD, xMAP, Quanterix Simoa, AlphaLISA, AlphaScreen, HTRF, LANCE, and TR-FRET.

    Optimal dilutions/working concentrations should be determined by the end user. Please contact us if you require the antibody clone biotinylated at a different concentration, a carrier-free formulation, or a more customized packaging solution.

    Storage

    Supplied in 140 mM NaCl, 3 mM KCI, 10 mM sodium phosphate (pH 7.4) dibasic, 2 mM potassium phosphate monobasic, 2 mg/mL BSA, and 50% glycerol. Store at –20°C. Do not aliquot the antibody.

    Protocol

    Specificity / Sensitivity

    Phospho-IGF-I Receptor beta (Tyr1135/1136)/Insulin Receptor beta (Tyr1150/1151) (19H7) Rabbit Monoclonal Antibody (Biotinylated) recognizes endogenous levels of IGF-I receptor and insulin receptor only when phosphorylated at Tyr1135/1136 or Tyr1150/1151, respectively. This antibody does not cross-react with other related tyrosine-phosphorylated tyrosine kinases.

    Species Reactivity:

    Human, Mouse, Rat

    The antigen sequence used to produce this antibody shares 100% sequence homology with the species listed here, but reactivity has not been tested or confirmed to work by CST. Use of this product with these species is not covered under our Product Performance Guarantee.

    Species predicted to react based on 100% sequence homology:

    Bovine, Dog

    Source / Purification

    Monoclonal antibody is produced by immunizing animals with a synthetic phosphopeptide corresponding to residues surrounding Tyr1135/1136 of human IGF-I receptor β protein.

    Background

    Type I insulin-like growth factor receptor (IGF-IR) is a transmembrane receptor tyrosine kinase that is widely expressed in many cell lines and cell types within fetal and postnatal tissues (1-3). Receptor autophosphorylation follows binding of the IGF-I and IGF-II ligands. Three tyrosine residues within the kinase domain (Tyr1131, Tyr1135, and Tyr1136) are the earliest major autophosphorylation sites (4). Phosphorylation of these three tyrosine residues is necessary for kinase activation (5,6). Insulin receptors (IRs) share significant structural and functional similarity with IGF-I receptors, including the presence of an equivalent tyrosine cluster (Tyr1146/1150/1151) within the kinase domain activation loop. Tyrosine autophosphorylation of IRs is one of the earliest cellular responses to insulin stimulation (7). Autophosphorylation begins with phosphorylation at Tyr1146 and either Tyr1150 or Tyr1151, while full kinase activation requires triple tyrosine phosphorylation (8).

    Alternate Names

    CD220; CD221; HHF5; IGF-I receptor; IGF1R; IGFIR; IGFR; INSR; insulin like growth factor 1 receptor; Insulin receptor; Insulin receptor subunit alpha; Insulin receptor subunit beta; Insulin-like growth factor 1 receptor; Insulin-like growth factor 1 receptor alpha chain; Insulin-like growth factor 1 receptor beta chain; Insulin-like growth factor I receptor; IR; JTK13; MGC142170; MGC142172; MGC18216; soluble IGF1R variant 1; soluble IGF1R variant 2

    For Research Use Only. Not for Use in Diagnostic Procedures.
    Cell Signaling Technology is a trademark of Cell Signaling Technology, Inc.
    All other trademarks are the property of their respective owners. Visit our Trademark Information page.