Render Target: STATIC
Render Timestamp:
5/20/2026, 6:44:05 AM EDT
5/20/2026, 10:44:05 AM UTC
Commit: 7ed46ecc04b401f23a28df741b5078df405d23e4
XML generation date: 2026-05-01 20:20:30.843
Product last modified at: 2026-05-02T07:00:55.403Z
Cell Signaling Technology Logo - Extra Large
1% for the planet logo
PDP - Template Name: Monoclonal Antibody
PDP - Template ID: *******c5e4b77
Recombinant Flag
Recombinant: Superior lot-to-lot consistency, continuous supply, and animal-free manufacturing.

Phospho-Tau (Thr181) (D9F4G) Rabbit Monoclonal Antibody (Biotinylated) #62672

Filter:
  • WB
  • ELISA+

    Product Specifications

    REACTIVITY H M R
    SENSITIVITY Endogenous
    MW (kDa) 50-80
    Source/Isotype Rabbit IgG
    Application Key:
    • WB-Western Blotting 
    • ELISA+-ELISA and/or ELISA-like Assays 
    Species Cross-Reactivity Key:
    • H-Human 
    • M-Mouse 
    • R-Rat 

    Product Information

    Product Description

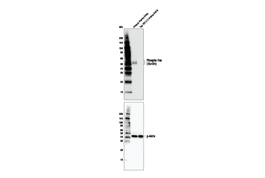
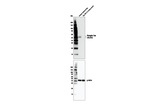
    This Cell Signaling Technology® antibody is the biotinylated version of the unconjugated Phospho-Tau (Thr181) (D9F4G) Rabbit Monoclonal Antibody #12885 and is expected to exhibit the same species cross-reactivity. The concentration of the biotinylated antibody is 500 ug/ml. Peptide ELISA data were generated using the biotinylated antibody. Western blot data were generated using the unconjugated antibody.
    MW (kDa) 50-80

    Product Usage Information

    Biotinylated antibodies are ideal for immunoassay technologies and high-throughput ELISA platforms that require antibody pairs where both antibodies are from the same host. Platforms utilizing biotinylated antibodies include, but are not limited to, MSD, xMAP, Quanterix Simoa, AlphaLISA, AlphaScreen, HTRF, LANCE, and TR-FRET.

    Optimal dilutions/working concentrations should be determined by the end user. Please contact us if you require the antibody clone biotinylated at a different concentration, a carrier-free formulation, or a more customized packaging solution.

    Storage

    Supplied in 140 mM NaCl, 3 mM KCl, 10 mM sodium phosphate (pH 7.4) dibasic, 2 mM potassium phosphate monobasic, 2 mg/mL BSA, and 50% glycerol. Store at –20°C. Do not aliquot the antibody.

    Protocol

    Specificity / Sensitivity

    Phospho-Tau (Thr181) (D9F4G) Rabbit Monoclonal Antibody (Biotinylated) recognizes endogenous levels of Tau protein only when phosphorylated at Thr181.

    Species Reactivity:

    Human, Mouse, Rat

    Source / Purification

    Monoclonal antibody is produced by immunizing animals with a synthetic phosphopeptide corresponding to residues surrounding Thr181 of isoform 8 human Tau protein.

    Background

    Tau is a heterogeneous microtubule-associated protein that promotes and stabilizes microtubule assembly, especially in axons. Six isoforms with different amino-terminal inserts and different numbers of tandem repeats near the carboxy terminus have been identified, and tau is hyperphosphorylated at approximately 25 sites by Erk, glycogen synthase kinase-3 (GSK-3), and CDK5 (1,2). Phosphorylation decreases the ability of tau to bind to microtubules. Neurofibrillary tangles are a major hallmark of Alzheimer's disease (AD); these tangles are bundles of paired helical filaments (PHFs) composed of hyperphosphorylated tau. In particular, phosphorylation at Ser396 by GSK-3 or CDK5 destabilizes microtubules. Furthermore, research studies have shown that inclusions of tau are found in a number of other neurodegenerative diseases, collectively known as tauopathies (1,3).

    The cerebrospinal fluid concentration of Tau phosphorylated at Thr181 has been proposed to be a biomarker for the study of neurodegenerative disorders (4).

    Alternate Names

    DDPAC; FLJ31424; FTDP-17; G protein beta1/gamma2 subunit-interacting factor 1; MAPT; MAPTL; MGC138549; microtubule associated protein tau; Microtubule-associated protein tau; MSTD; MTBT1; MTBT2; Neurofibrillary tangle protein; Paired helical filament-tau; PHF-tau; PPND; PPP1R103; protein phosphatase 1, regulatory subunit 103; TAU; Tau iso8

    For Research Use Only. Not for Use in Diagnostic Procedures.
    Cell Signaling Technology is a trademark of Cell Signaling Technology, Inc.
    All other trademarks are the property of their respective owners. Visit our Trademark Information page.