Cell Signaling Technology Logo - Extra Large
Recombinant Flag
Recombinant: Superior lot-to-lot consistency, continuous supply, and animal-free manufacturing.

PLC gamma1 (D9H10) Rabbit Monoclonal Antibody (Biotinylated) #5385

Filter:
  • WB

    Product Specifications

    REACTIVITY H M R Mk
    SENSITIVITY Endogenous
    MW (kDa) 150
    Source/Isotype Rabbit IgG
    Application Key:
    • WB-Western Blotting 
    Species Cross-Reactivity Key:
    • H-Human 
    • M-Mouse 
    • R-Rat 
    • Mk-Monkey 

    Product Information

    Product Description

    This Cell Signaling Technology antibody is conjugated to biotin under optimal conditions. The biotinylated antibody is expected to exhibit the same species cross-reactivity as the unconjugated PLCc1 (D9H10) XP® Rabbit mAb #5690.
    MW (kDa) 150

    Product Usage Information

    Application Dilution
    Western Blotting 1:1000

    Storage

    Supplied in 140 mM NaCl, 3 mM KCI, 10 mM sodium phosphate (pH 7.4) dibasic, 2 mM potassium phosphate monobasic, 2 mg/mL BSA, and 50% glycerol. Store at –20°C. Do not aliquot the antibody.

    Protocol

    Specificity / Sensitivity

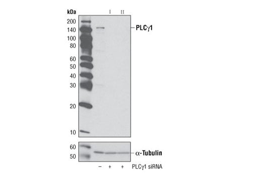
    PLC gamma1 (D9H10) Rabbit Monoclonal Antibody (Biotinylated) recognizes endogenous levels of total PLCγ1 protein.

    Species Reactivity:

    Human, Mouse, Rat, Monkey

    Source / Purification

    Monoclonal antibody is produced by immunizing animals with a synthetic peptide corresponding to residues surrounding Leu1220 of human PLCγ1 protein.

    Background

    Phosphoinositide-specific phospholipase C (PLC) plays a significant role in transmembrane signaling. In response to extracellular stimuli, such as hormones, growth factors, and neurotransmitters, PLC hydrolyzes phosphatidylinositol 4,5-bisphosphate (PIP2) to generate two secondary messengers: inositol 1,4,5-triphosphate (IP3) and diacylglycerol (DAG) (1). At least four families of PLCs have been identified: PLCβ, PLCγ, PLCδ, and PLCε. Phosphorylation is one of the key mechanisms that regulate the activity of PLC. PLCγ is activated by both receptor and non-receptor tyrosine kinases (2). PLCγ forms a complex with EGF and PDGF receptors, which leads to the phosphorylation of PLCγ at Tyr771, 783, and 1248 (3). Phosphorylation by Syk at Tyr783 activates the enzymatic activity of PLCγ1 (4). PLCγ2 is engaged in antigen-dependent signaling in B cells and collagen-dependent signaling in platelets. Phosphorylation by Btk or Lck at Tyr753, 759, 1197, and 1217 is correlated with PLCγ2 activity (5,6).

    Alternate Names

    1-phosphatidyl-D-myo-inositol-4,5-bisphosphate; 1-phosphatidylinositol 4,5-bisphosphate phosphodiesterase gamma-1; 1-phosphatidylinositol-4,5-bisphosphate phosphodiesterase gamma 1; 1-phosphatidylinositol-4,5-bisphosphate phosphodiesterase gamma-1; inositoltrisphosphohydrolase; monophosphatidylinositol phosphodiesterase; NCKAP3; phosphatidylinositol phospholipase C; phosphoinositidase C; phosphoinositide phospholipase C; Phosphoinositide phospholipase C-gamma-1; phospholipase C gamma 1; phospholipase C-148; Phospholipase C-gamma-1; Phospholipase C-II; phospholipase C, gamma 1; phospholipase C, gamma 1 (formerly subtype 148); PLC-148; PLC-gamma-1; PLC-II; PLC1; PLC148; PLCG1; PLCgamma1; triphosphoinositide phosphodiesterase

    For Research Use Only. Not for Use in Diagnostic Procedures.
    Cell Signaling Technology is a trademark of Cell Signaling Technology, Inc.
    All other trademarks are the property of their respective owners. Visit our Trademark Information page.