Cell Signaling Technology Logo - Extra Large
Recombinant Flag
Recombinant: Superior lot-to-lot consistency, continuous supply, and animal-free manufacturing.

SLP-76 (D1R1A) Rabbit Monoclonal Antibody (Biotinylated) #80554

Filter:
  • WB
  • ELISA+

    Product Specifications

    REACTIVITY H
    SENSITIVITY Endogenous
    MW (kDa) 76
    Source/Isotype Rabbit IgG
    Application Key:
    • WB-Western Blotting 
    • ELISA+-ELISA and/or ELISA-like Assays 
    Species Cross-Reactivity Key:
    • H-Human 

    Product Information

    Product Description

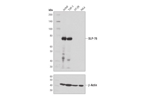
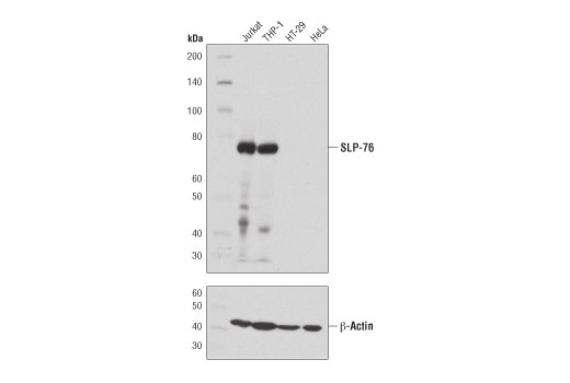
    This Cell Signaling Technology® antibody is the biotinylated version of the unconjugated SLP-76 (D1R1A) Rabbit Monoclonal Antibody #70896 and is expected to exhibit the same species cross-reactivity. The concentration of the biotinylated antibody is 500 ug/ml. Peptide ELISA data were generated using the biotinylated antibody. Western blot data were generated using the unconjugated antibody.
    MW (kDa) 76

    Product Usage Information

    Biotinylated antibodies are ideal for immunoassay technologies and high-throughput ELISA platforms that require antibody pairs where both antibodies are from the same host. Platforms utilizing biotinylated antibodies include, but are not limited to, MSD, xMAP, Quanterix Simoa, AlphaLISA, AlphaScreen, HTRF, LANCE, and TR-FRET.

    Optimal dilutions/working concentrations should be determined by the end user. Please contact us if you require the antibody clone biotinylated at a different concentration, a carrier-free formulation, or a more customized packaging solution.

    Storage

    Supplied in 140 mM NaCl, 3 mM KCl, 10 mM sodium phosphate (pH 7.4) dibasic, 2 mM potassium phosphate monobasic, 2 mg/mL BSA, and 50% glycerol. Store at –20°C. Do not aliquot the antibody.

    Protocol

    Specificity / Sensitivity

    SLP-76 (D1R1A) Rabbit Monoclonal Antibody (Biotinylated) recognizes endogenous levels of total SLP-76 protein.

    Species Reactivity:

    Human

    Source / Purification

    Monoclonal antibody is produced by immunizing animals with a synthetic peptide corresponding to residues surrounding Pro390 of human SLP-76 protein.

    Background

    SH2 domain-containing leukocyte protein of 76 kDa (SLP-76) is a hematopoietic adaptor protein that is important in multiple biochemical signaling pathways and necessary for T cell development and activation (1). ZAP-70 phosphorylates SLP-76 and LAT as a result of TCR ligation. SLP-76 has amino-terminal tyrosine residues followed by a proline-rich domain and a carboxy-terminal SH2 domain. Phosphorylation of Tyr113 and Tyr128 result in recruitment of the GEF Vav and the adaptor protein Nck (2). TCR ligation also leads to phosphorylation of Tyr145, which mediates an association between SLP-76 and Itk, which is accomplished in part via the proline-rich domain of SLP-76 and the SH3 domain of Itk (3). Furthermore, the proline-rich domain of SLP-76 binds to the SH3 domains of Grb2-like adaptor Gads (3,4). In resting cells, SLP-76 is predominantly in the cytosol. Upon TCR ligation, SLP-76 translocates to the plasma membrane and promotes the assembly of a multi-protein signaling complex that includes Vav, Nck, Itk, and PLCγ1 (1). The expression of SLP-76 is tightly regulated; the protein is detected at very early stages of thymocyte development, increases as thymocyte maturation progresses, and is reduced as cells mature to CD4+ CD8+ double-positive thymocytes (5).

    Alternate Names

    76 kDa tyrosine phosphoprotein; LCP2; Lymphocyte cytosolic protein 2; lymphocyte cytosolic protein 2 (SH2 domain containing leukocyte protein of 76kDa); SH2 domain-containing leukocyte protein of 76 kDa; SH2 domain-containing leukocyte protein of 76kD; SLP-76; SLP-76 tyrosine phosphoprotein; SLP76

    For Research Use Only. Not for Use in Diagnostic Procedures.
    Cell Signaling Technology is a trademark of Cell Signaling Technology, Inc.
    All other trademarks are the property of their respective owners. Visit our Trademark Information page.