Cell Signaling Technology Logo - Extra Large
Recombinant Flag
Recombinant: Superior lot-to-lot consistency, continuous supply, and animal-free manufacturing.

STING (D2P2F) Rabbit Monoclonal Antibody (Biotinylated) #80231

Filter:
  • WB
  • ELISA+

    Product Specifications

    REACTIVITY H M Hm
    SENSITIVITY Endogenous
    MW (kDa) 33, 35
    Source/Isotype Rabbit IgG
    Application Key:
    • WB-Western Blotting 
    • ELISA+-ELISA and/or ELISA-like Assays 
    Species Cross-Reactivity Key:
    • H-Human 
    • M-Mouse 
    • Hm-Hamster 

    Product Information

    Product Description

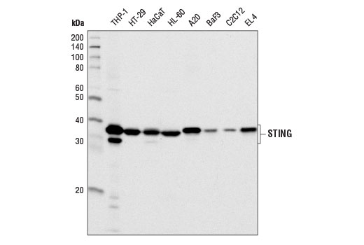
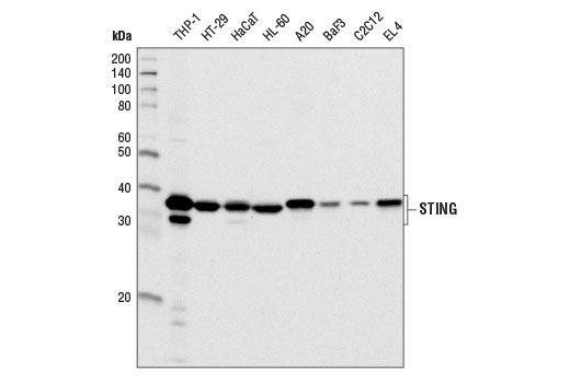
    This Cell Signaling Technology® antibody is the biotinylated version of the unconjugated STING (D2P2F) Rabbit mAb #13647 and is expected to exhibit the same species cross-reactivity. The concentration of the biotinylated antibody is 500 ug/ml. Peptide ELISA data were generated using the biotinylated antibody. Western blot data were generated using the unconjugated antibody.
    MW (kDa) 33, 35

    Product Usage Information

    Biotinylated antibodies are ideal for immunoassay technologies and high-throughput ELISA platforms that require antibody pairs where both antibodies are from the same host. Platforms utilizing biotinylated antibodies include, but are not limited to, MSD, xMAP, Quanterix Simoa, AlphaLISA, AlphaScreen, HTRF, LANCE, and TR-FRET.

    Optimal dilutions/working concentrations should be determined by the end user. Please contact us if you require the antibody clone biotinylated at a different concentration, a carrier-free formulation, or a more customized packaging solution.

    Storage

    Supplied in 140 mM NaCl, 3 mM KCl, 10 mM sodium phosphate (pH 7.4) dibasic, 2 mM potassium phosphate monobasic, 2 mg/mL BSA, and 50% glycerol. Store at –20°C. Do not aliquot the antibody.

    Protocol

    Specificity / Sensitivity

    STING (D2P2F) Rabbit Monoclonal Antibody (Biotinylated) recognizes endogenous levels of total STING protein.

    Species Reactivity:

    Human, Mouse, Hamster

    Source / Purification

    Monoclonal antibody is produced by immunizing animals with a synthetic peptide corresponding to residues surrounding Glu328 of human STING protein.

    Background

    Stimulator of interferon genes (STING, TMEM173, MITA) is a transmembrane adaptor protein that is a critical component of the cellular innate immune response to pathogenic cytoplasmic DNA (1,2). STING is a ubiquitously expressed protein found predominantly in the ER (1). The enzyme cGAMP synthase (cGAS) produces the second messenger cyclic-GMP-AMP (cGAMP) in response to cytoplasmic DNA (3,4). cGAMP binds and activates STING (3,4). In addition, detection of cytoplasmic DNA by nucleic acid sensors, including DDX41 or IFI16, results in STING activation (5,6). Following activation, STING translocates with TBK1 to perinuclear endosomes (7). The TBK1 kinase phosphorylates and activates interferon regulatory factors (IRFs) and NF-κB, which leads to the induction of type I interferon and other immune response genes (1,2,7).

    Alternate Names

    endoplasmic reticulum IFN stimulator; Endoplasmic reticulum interferon stimulator; ERIS; FLJ38577; hMITA; hSTING; Mediator of IRF3 activation; MITA; mitochondrial mediator of IRF3 activation; MPYS; N-terminal methionine-proline-tyrosine-serine plasma membrane tetraspanner; NET23; SAVI; Stimulator of interferon genes protein; stimulator of interferon protein; stimulator of interferon response cGAMP interactor 1; STING; STING-beta; STING1; TM173; TMEM173; Transmembrane protein 173

    For Research Use Only. Not for Use in Diagnostic Procedures.
    Cell Signaling Technology is a trademark of Cell Signaling Technology, Inc.
    KARPAS cell line source: Dr. Abraham Karpas at the University of Cambridge.
    All other trademarks are the property of their respective owners. Visit our Trademark Information page.