Cell Signaling Technology Logo - Extra Large
Recombinant Flag
Recombinant: Superior lot-to-lot consistency, continuous supply, and animal-free manufacturing.

TAZ (D3I6D) Rabbit Monoclonal Antibody (Biotinylated) #78817

Filter:
  • WB

Inquiry Info. # 78817

Please see our recommended alternatives.

    Product Specifications

    REACTIVITY H M
    SENSITIVITY Endogenous
    MW (kDa) 50
    Source/Isotype Rabbit IgG
    Application Key:
    • WB-Western Blotting 
    Species Cross-Reactivity Key:
    • H-Human 
    • M-Mouse 

    Product Information

    Product Description

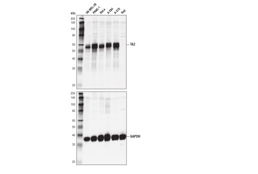
    This Cell Signaling Technology antibody is conjugated to biotin under optimal conditions. The biotinylated antibody is expected to exhibit the same species cross-reactivity as the unconjugated TAZ (D3I6D) Rabbit mAb #70148.
    MW (kDa) 50

    Product Usage Information

    Application Dilution
    Western Blotting 1:1000

    Storage

    Supplied in 140 mM NaCl, 3 mM KCI, 10 mM sodium phosphate (pH 7.4) dibasic, 2 mM potassium phosphate monobasic, 2 mg/mL BSA, and 50% glycerol. Store at –20°C. Do not aliquot the antibody.

    Protocol

    Specificity / Sensitivity

    TAZ (D3I6D) Rabbit Monoclonal Antibody (Biotinylated) recognizes endogenous levels of total TAZ protein. This antibody does not cross-react with YAP protein.

    Species Reactivity:

    Human, Mouse

    Source / Purification

    Monoclonal antibody is produced by immunizing animals with a synthetic peptide corresponding to residues surrounding Ala200 of Mouse TAZ protein.

    Background

    TAZ is a transcriptional co-activator with a PDZ-binding motif that is regulated by its interaction with 14-3-3 proteins (1). TAZ shares homology with the WW domain of Yes-associated protein (YAP) (1). TAZ is proposed to modulate the switch between proliferation and differentiation of mesenchymal stem cells (MSC) via interaction with transcription factors Runx2 and PPARγ. This process is critical to normal tissue development and the prevention of tumor formation. Due to its role in determination of MSC fate, TAZ may have clinical relevance to several human diseases caused by an imbalance of MSC differentiation (2,3). TAZ is negatively regulated via phosphorylation by LATS1/2, core kinases in the Hippo signaling pathway that controls stem cell development, tissue growth and tumor development (4).

    Alternate Names

    DKFZp586I1419; FLJ27004; FLJ45718; TAZ; transcriptional co-activator with PDZ-binding motif; Transcriptional coactivator with PDZ-binding motif; WW domain containing transcription regulator 1; WW domain-containing transcription regulator protein 1; WWTR1

    For Research Use Only. Not for Use in Diagnostic Procedures.
    Cell Signaling Technology is a trademark of Cell Signaling Technology, Inc.
    All other trademarks are the property of their respective owners. Visit our Trademark Information page.